Magna Concursos

Foram encontradas 40 questões.

3654504 Ano: 2025
Disciplina: Medicina
Banca: VUNESP
Orgão: UNIFESP
Provas:
Observe as imagens:

Enunciado 4377375-1
(Arquivo pessoal; imagem usada com autorização)

Assinale a alternativa que corresponde à técnica operatória apresentada nas imag
 

Provas

Questão presente nas seguintes provas
3654503 Ano: 2025
Disciplina: Medicina
Banca: VUNESP
Orgão: UNIFESP
Provas:
Assinale a alternativa correta em relação a angioplastia de artéria carótida.
 

Provas

Questão presente nas seguintes provas
3654502 Ano: 2025
Disciplina: Medicina
Banca: VUNESP
Orgão: UNIFESP
Provas:
Uma paciente de 65 anos, hipertensa e tabagista ativa, apresenta quadro súbito de monoparesia braquial direita, associada a dislalia. Diante do quadro, vem ao pronto atendimento, sendo que, na admissão, seus sintomas desapareceram completamente. Uma ressonância magnética é realizada em caráter de emergência, sendo identificada área correspondente a infarto cerebral fronto-parietal esquerdo. Uma ultrassonografia Doppler carotídea adicional demonstra estenose > 70% em carótida interna esquerda, associada a úlcera local. No dia seguinte à admissão, a paciente apresenta evento súbito de afasia, seguido, 30 minutos após, de monoparesia e posteriormente hemiparesia direita. Assinale a alternativa que apresenta a conduta recomendada ao caso.
 

Provas

Questão presente nas seguintes provas
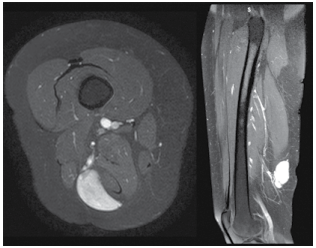
3654501 Ano: 2025
Disciplina: Medicina
Banca: VUNESP
Orgão: UNIFESP
Provas:
Uma paciente de 36 anos vem ao ambulatório de cirurgia vascular por apresentar nodulação em face posterior de coxa, depressível, pouco dolorosa e relacionada a ortostase. Como propedêutica complementar, a paciente já traz uma angioressonância com imagens de interesse apresentadas na figura a seguir:

Enunciado 4377372-1
(Arquivo pessoal; imagem usada com autorização)

A partir da análise das imagens, assinale a alternativa que corresponde ao diagnóstico em questão.
 

Provas

Questão presente nas seguintes provas
3654500 Ano: 2025
Disciplina: Medicina
Banca: VUNESP
Orgão: UNIFESP
Provas:
Assinale a alternativa que apresenta o anticoagulante oral com menor ocorrência de sangramento gastrointestinal.
 

Provas

Questão presente nas seguintes provas
3654499 Ano: 2025
Disciplina: Medicina
Banca: VUNESP
Orgão: UNIFESP
Provas:
Assinale a alternativa que apresenta exemplos de cateteres de reentrada utilizados no tratamento endovascular da oclusão fêmoro-poplítea.
 

Provas

Questão presente nas seguintes provas
3654498 Ano: 2025
Disciplina: Medicina
Banca: VUNESP
Orgão: UNIFESP
Provas:
Assinale a alternativa que apresenta a relação de materiais que são frequentemente utilizados em uma angioplastia ostial de artéria renal por doença aterosclerótica.
 

Provas

Questão presente nas seguintes provas
3654497 Ano: 2025
Disciplina: Medicina
Banca: VUNESP
Orgão: UNIFESP
Provas:
Um paciente de 60 anos, hipertenso, portador de diabetes mellitus e tabagista ativo, vem ao pronto atendimento com relato de piora de claudicação para curtas distâncias, seguida de dor em repouso no membro inferior direito com início ao longo dos últimos 10 dias. Seu exame físico revela a presença de pulso apenas nas artérias femorais bilateralmente 3+/3+. Há discreto gradiente térmico em pododáctilos direitos, associado a ausência de déficit motor ou sensitivo.

Diante desse quadro, assinale a alternativa que corresponde ao provável diagnóstico.
 

Provas

Questão presente nas seguintes provas
3654496 Ano: 2025
Disciplina: Medicina
Banca: VUNESP
Orgão: UNIFESP
Provas:
Um paciente de 55 anos, hipertenso mal controlado, tabagista ativo, apresenta uma lesão em membro inferior esquerdo, em região maleolar externa, com bordos bem definidos, fundo pálido e áreas de necrose pontual em bordos. A úlcera é extremamente dolorosa e nota-se que na região perimaleolar, há uma segunda úlcera em processo de eclosão. O exame físico revela presença de pulsos amplos 3+/3+, incluindo pulsos distais. Assinale a alternativa que apresenta o provável diagnóstico dessa úlcera.
 

Provas

Questão presente nas seguintes provas
3654495 Ano: 2025
Disciplina: Medicina
Banca: VUNESP
Orgão: UNIFESP
Provas:
Sobre a escleroterapia como tratamento de varizes de membros inferiores, assinale a alternativa correta.
 

Provas

Questão presente nas seguintes provas