Foram encontradas 212 questões.
Os planos Axial e Coronal dividem o corpo, respectivamente, nas partes:
Provas
Questão presente nas seguintes provas
Qual das alternativas a seguir apresenta um meio de contraste utilizado em exames de
Ressonância Magnética?
Provas
Questão presente nas seguintes provas
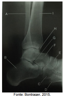
Analise a figura a seguir, que apresenta uma imagem de uma radiografia em perfil do
tornozelo.

Assinale a alternativa que apresenta a correta correlação entre a indicação e a estrutura na imagem tomográfica.

Assinale a alternativa que apresenta a correta correlação entre a indicação e a estrutura na imagem tomográfica.
Provas
Questão presente nas seguintes provas
Analise as afirmativas a seguir, acerca do posicionamento técnico para obtenção de
imagens radiológicas convencionais do úmero em incidência ântero posterior.
I. O úmero deve ser alinhado com o eixo longitudinal do raio incidente, a não ser que seja
necessário um posicionamento diagonal para incluir ambas as articulações do ombro e
cotovelo.
II. Abduzir de modo leve o braço e pronar gentilmente a mão de forma que os epicôndilos
fiquem equidistantes do raio incidente.
III. A mão e o antebraço devem ser estendidos até o ponto em que o paciente possa
tolerar.
Assinale a alternativa correta.
Provas
Questão presente nas seguintes provas
Sobre o posicionamento técnico para obtenção de imagens radiológicas convencionais
da coluna lombar em incidência ântero posterior, analise as afirmativas a seguir.
I. Em caso de utilização de receptor de imagem de 35 cm X 43 cm, centralizá-lo no nível
da crista ilíaca (espaço L4-L5). Esse receptor de imagem incluirá as vértebras lombares,
o sacro e possivelmente o cóccix.
II. Em caso de utilização de receptor de imagem de 30 cm X 35 cm, centralizá-lo no nível
de L3, que pode ser localizado pela palpação da margem costal inferior (4 cm acima da
crista ilíaca). Esse receptor de imagem incluirá as vértebras lombares, o sacro e
possivelmente o cóccix..
III. Em caso de utilização de receptor de imagem de 30 cm X 35 cm, serão incluídas na
imagem, primariamente, as cinco vértebras lombares.
Assinale a alternativa correta.
Provas
Questão presente nas seguintes provas
Sobre o posicionamento técnico para obtenção de imagens radiológicas convencionais
de ombro sem traumatismo em incidência ântero posterior com rotação interna, analise as
afirmativas a seguir.
I. A radiografia deve ser realizada com o paciente em uma posição ereta ou supina.
II. O raio central deve ser direcionado perpendicularmente ao receptor de imagem,
direcionado 2 polegadas (5 centímetros) abaixo do processo coracoide.
III. A distância entre o ponto focal do tubo de raios X e o receptor de imagem deve ser de
100 centímetros para a realização desse exame.
Assinale a alternativa correta.
Provas
Questão presente nas seguintes provas
Qual o procedimento radiográfico alternativo, que envolve exames fluoroscópicos e
radiológicos do canal espinal para avaliação de lesões no próprio canal espinal, discos
intervertebrais ou raízes nervosas?
Provas
Questão presente nas seguintes provas
Sobre o posicionamento técnico para obtenção de imagens radiológicas contrastadas do
esôfago (esofagograma) em incidência lateral ou perfil, analise as afirmativas a seguir
I. O paciente deve ser posicionado com os braços sobre a cabeça, com os cotovelos
flexionados e superpostos.
II. Deve ser alinhado o plano coronal médio com a linha média do receptor de imagem
e/ou mesa. Os ombros e os quadris devem ser colocados em uma posição em perfil
verdadeiro.
III. O topo do receptor de imagem deve ser posicionado 2 polegadas (5 centímetros) abaixo
do nível dos ombros, para situar o centro do receptor de imagem no raio central.
Assinale a alternativa correta.
Provas
Questão presente nas seguintes provas
Determinados dispositivos implantados em um paciente são contraindicados para
aquisição de imagens por Ressonância Magnética, por serem ativados elétrica, magnética ou
mecanicamente. São dispositivos que devem ser avaliados caso a caso, EXCETO:
Provas
Questão presente nas seguintes provas
Em relação à aquisição de imagens por volume em ressonância magnética, analise as
afirmativas a seguir.
I. Aumentar o número de cortes diminui a razão sinal ruído, porém aumenta o tempo de
exame.
II. Voxels isotrópicos fornecem resolução igual em cada plano de imagem.
III. A aquisição de imagens por volume permite a reformatação em qualquer plano.
Assinale a alternativa correta.
Provas
Questão presente nas seguintes provas
Cadernos
Caderno Container