Foram encontradas 212 questões.
Sobre as técnicas para obtenção de imagens em tomografias computadorizadas de
cabeça, analise as afirmativas a seguir.
I. Os princípios básicos do posicionamento do crânio na radiografia convencional também
se aplicam à tomografia computadorizada.
II. Antes de o procedimento começar, é preciso obter um escanograma (ou scout) a fim de
que o técnico possa determinar o intervalo da varredura.
III. Para as tomografias computadorizadas de cabeça de rotina, o procedimento de
varredura inclui a área que se estende da base do crânio até seu vértice, em cortes de 5
a 10 mm de espessura.
Assinale a alternativa correta
Provas
Questão presente nas seguintes provas
Analise a figura abaixo que apresenta uma imagem de um corte axial proveniente de um
exame de tomografia computadorizada, através da porção inferior do manúbrio.

Assinale a alternativa que apresenta a correta correlação entre a indicação e a estrutura na imagem tomográfica.

Assinale a alternativa que apresenta a correta correlação entre a indicação e a estrutura na imagem tomográfica.
Provas
Questão presente nas seguintes provas
Qual é o procedimento radiográfico em que é usado o écran (tela intensificadora) nos
dois lados do chassi?
Provas
Questão presente nas seguintes provas
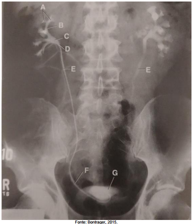
Analise a figura a seguir, que apresenta uma imagem de uma pielografia retrógrada
(cateter no ureter direito).

Assinale a alternativa que apresenta a correta correlação entre a indicação e a estrutura na imagem tomográfica.

Assinale a alternativa que apresenta a correta correlação entre a indicação e a estrutura na imagem tomográfica.
Provas
Questão presente nas seguintes provas
Analise a figura a seguir, que apresenta uma imagem de uma radiografia do tórax em
incidência póstero anterior.

Assinale a alternativa que apresenta a correta correlação entre a indicação e a estrutura na imagem tomográfica.

Assinale a alternativa que apresenta a correta correlação entre a indicação e a estrutura na imagem tomográfica.
Provas
Questão presente nas seguintes provas
Analise a figura abaixo, que apresenta a figura de um crânio vista em perfil.

Assinale a alternativa que apresenta a correta correlação entre a indicação e a estrutura óssea na figura.

Assinale a alternativa que apresenta a correta correlação entre a indicação e a estrutura óssea na figura.
Provas
Questão presente nas seguintes provas
Sobre as imagens digitais bidimensionais em radiodiagnóstico, assinale a alternativa
INCORRETA.
Provas
Questão presente nas seguintes provas
Analise as afirmativas a seguir, acerca das técnicas para obtenção de imagens em
tomografias computadorizadas de tórax.
I. A tomografia computadorizada de tórax de rotina inclui uma varredura que se estende
dos ápices até as bases dos pulmões, geralmente em cortes de 5 mm de espessura.
II. Na tomografia computadorizada de tórax de alta resolução, são realizados cortes com
espessura de 10 mm em locais específicos.
III. Se a principal preocupação médica for uma lesão pulmonar maligna, a varredura
prossegue até as glândulas suprarrenais.
Assinale a alternativa correta.
Provas
Questão presente nas seguintes provas
Em situações de obtenção de imagens com aplicação de contraste iodado em pacientes
com a função renal debilitada, deve-se interromper o uso de qual substância?
Provas
Questão presente nas seguintes provas
Em um exame radiográfico de tórax, em incidência póstero-anterior, realizado em
ortostatismo, todas as opções a seguir podem ser demonstradas, EXCETO:
Provas
Questão presente nas seguintes provas
Cadernos
Caderno Container