Magna Concursos

Foram encontradas 50 questões.

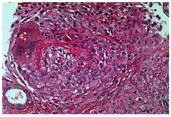
353592 Ano: 2019
Disciplina: Medicina
Banca: UFTM
Orgão: UFTM
Provas:
Aproximadamente 60 % dos glomérulos observados em uma biópsia renal estão afetados pela lesão ilustrada abaixo.


enunciado 353592-1

Este achado é mais compatível com qual contexto clínico?
 

Provas

Questão presente nas seguintes provas
353591 Ano: 2019
Disciplina: Medicina
Banca: UFTM
Orgão: UFTM
Provas:
Devido aos elevados índices de sucesso nas últimas décadas, o transplante renal se tornou uma forma de terapia substitutiva renal amplamente utilizada. No entanto, o enxerto renal pode ser alvo de uma série de injúrias aloimunes e não-aloimunes. De acordo com as recomendações do Banff (2017), é CORRETO afirmar que:
 

Provas

Questão presente nas seguintes provas
353590 Ano: 2019
Disciplina: Medicina
Banca: UFTM
Orgão: UFTM
Provas:
Qual a afirmativa que melhor caracteriza a Nefropatia Membranosa?
 

Provas

Questão presente nas seguintes provas
353587 Ano: 2019
Disciplina: Medicina
Banca: UFTM
Orgão: UFTM
Provas:
O médico assistente de um Hospital Universitário deverá emitir uma Declaração de Óbito nas seguintes situações, EXCETO:
 

Provas

Questão presente nas seguintes provas
353586 Ano: 2019
Disciplina: Medicina
Banca: UFTM
Orgão: UFTM
Provas:
São considerados marcadores moleculares úteis na tentativa de diferenciação entre a Glomeruloesclerose Focal e Segmentar Não Amostrada e Doença por Lesões Mínimas, EXCETO:
 

Provas

Questão presente nas seguintes provas
353585 Ano: 2019
Disciplina: Medicina
Banca: UFTM
Orgão: UFTM
Provas:
FLLA mutação comumente encontrada na Púrpura Trobocitopênica idiopática é no gene:
 

Provas

Questão presente nas seguintes provas
353584 Ano: 2019
Disciplina: Medicina
Banca: UFTM
Orgão: UFTM
Provas:
Não encontramos na cardiopatia chagásica:
 

Provas

Questão presente nas seguintes provas
353583 Ano: 2019
Disciplina: Medicina
Banca: UFTM
Orgão: UFTM
Provas:
As Microangiopatias Trombóticas são caraterizadas por lesão endotelial podendo estar associada a obliteração da luz vascular por trombos de fibrina. A etiologia e patogenia pode ser diversa. A identificação dos trombos por vezes é focal ou incipiente. Técnicas por Imuno-histoquímica podem auxiliar na melhor identificação e diagnóstico. Qual dos seguintes marcadores, atualmente, é considerado o mais específico e sensível para esse diagnóstico?
 

Provas

Questão presente nas seguintes provas
353582 Ano: 2019
Disciplina: Medicina
Banca: UFTM
Orgão: UFTM
Provas:
À necropsia, são encontrados rins contraídos (63 g Rim D e 72g Rim E) em paciente do sexo feminino, de 63 anos de idade. A superfície externa de ambos os rins é grosseiramente granular. À microscopia, há glomérulos esclerosados, fibrose do interstício, atrofia tubular, espessamento arterial hialino e infiltrado inflamatório linfocitário esparso. Exames laboratoriais ante-mortem mostraram elevação da ureia e creatinina séricas (115 mg/dL e 9,5 mg/dL, respectivamente). Qual achado clínico você esperaria ter encontrado nesta paciente?
 

Provas

Questão presente nas seguintes provas
353581 Ano: 2019
Disciplina: Medicina
Banca: UFTM
Orgão: UFTM
Provas:
Sobre as malformações congênitas do sistema urinário é correto, EXCETO:
 

Provas

Questão presente nas seguintes provas