Foram encontradas 150 questões.
Criança com 9 anos de idade, previamente hígida, desenvolveu quadro de astenia há dois dias. Há seis horas, passou a apresentar alguns episódios de vômito, dor abdominal, poliúria e polidipsia. Foi levada pela mãe ao Pronto-Socorro, onde chegou com quadro de desidratação e confusão mental. O plantonista solicitou gasometria arterial, que apresentou o seguinte resultado: pH = 7,2; pO2 = 75 mmHg; pCO2 = 30 mmHg; HCO3- = 12 mEq/L e Excesso de base (BE) = -18 mEq/L. Com base no quadro clínico e exames laboratoriais, o diagnóstico mais provável e a conduta imediata são, respectivamente:
Provas
Uma mãe de lactente do sexo feminino com 45 dias de vida, em aleitamento materno exclusivo, relata que a filha começou a ficar "amarela" (sic) com cerca de três semanas de vida e que, agora, ela está muito assustada, pois a criança "está mais amarela, a urina está escura e as fezes estão esbranquiçadas" (sic). Ao exame físico, o fígado é palpável a 3 cm do rebordo costal direito. Exame solicitado por outro médico mostra bilirrubina direta muito aumentada: 21 mg/dL (valor de referência: inferior a 12 mg/dL). O quadro clínico descrito é fortemente sugestivo de:
Provas
Um prematuro de trinta e três semanas e peso de nascimento de 1450 gramas teve alta hospitalar aos vinte e oito dias de vida, em aleitamento materno exclusivo. Na ocasião da alta hospitalar, apresentava peso, comprimento e perímetro cefálico no percentil 10 da curva de Fenton. Foi amamentado exclusivamente com leite materno até o sexto mês de idade cronológica, apresentando, nesse momento, peso, comprimento e perímetro cefálico entre os percentis três e 15 da curva da Organização Mundial de Saúde (OMS). Com um ano de idade corrigida, o perímetro cefálico encontra-se no percentil 15, enquanto o peso e o comprimento mantiveram-se entre os percentis três e 15. Em relação a essa criança, verifica-se o seguinte:
Provas
Um lactente de dez meses de vida vem apresentando febre de 39 ºC há 48 horas. O estado geral é bom e não há nenhum outro sintoma. O lactente é levado ao prontosocorro pediátrico e, após atendimento médico, não é constatada nenhuma alteração. A mãe da criança é orientada a manter o antitérmico e retornar de 24 a 48 horas para reavaliação ou antes, caso apresente outro sintoma. Após 24 horas, o lactente é levado novamente ao pronto-socorro e, apesar de não ter apresentado mais febre nas últimas seis horas, iniciou subitamente erupção cutânea eritematosa, maculopapular, que desaparece à compressão e que vem progredindo no sentido cefalocaudal. O diagnóstico clínico é:
Provas
De acordo com o Ministério da Saúde, que lançou em 2012 as Diretrizes de Atenção à Pessoa com Síndrome de Down, quais medidas devem ser tomadas em relação um criança de 0 a 2 anos recém diagnosticada?
Provas
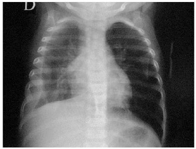
Uma criança de dois anos apresenta há três dias tosse, coriza e febre alta. Nas últimas 24 horas, passou a ficar mais prostrada e taquidispneica. Foi solicitada uma radiografia de tórax, que apresentou o seguinte resultado:

Com base no resultado do exame, deve-se proceder da seguinte forma:
Provas
A exsanguineotransfusão é um procedimento realizado em recém-nascidos com hiperbilirrubinemia, e consiste no tratamento padrão da doença hemolítica. A condição que indica formalmente a exsanguineotransfusão é quando a mãe apresenta:
Provas
O parâmetro mais prático e importante no acompanhamento e avaliação de uma criança com baixa estatura é:
Provas
A mãe de uma escolar de seis anos, ao levá-la ao pediatra, queixa-se de que sua filha está apresentando diversos caroços no corpo. Há uma semana apresentou também quadro de dores nos joelhos e tornozelos, tendo procurado o atendimento médico, sendo-lhe prescrito anti-inflamatório, o que melhorou as dores. No exame físico, a criança apresenta nódulos indolores em grandes articulações. Os exames laboratoriais mostraram velocidade de hemossedimentação (VHS) de 100, ASLO de 1350 U Tood e hemograma normal. Com base na história, o próximo exame complementar a ser solicitado é:
Provas
Um recém-nascido de muito baixo peso ao nascimento, quando recebe alta hospitalar, deve ser encaminhado a um ambulatório diferenciado para um melhor seguimento. Os exames laboratoriais que devem ser solicitados antes da alta para serem apresentados na primeira consulta ambulatorial são:
Provas
Caderno Container