Foram encontradas 910 questões.
A existência de genes foi, originalmente, deduzida ao observar as exatas proporções matemáticas nos descendentes de dois indivíduos parentais geneticamente diferentes. A figura abaixo representa o padrão de uma determinada herança genética dentro de uma família.

Considerando a mesma característica fenotípica presente em um casal, um macho homozigótico dominante e uma fêmea homozigótica recessiva, poderá haver, em
Provas
Os estudos de Gregor Mendel são considerados um marco na genética e um exemplo da perfeita técnica científica. Ao trabalhar com a ervilha da espécie Pisum sativum, ele escolheu sete fenótipos diferentes para estudar e obteve linhagens puras dessas plantas. A partir da obtenção dessas linhagens, observou os resultados provenientes de diferentes fecundações entre os espécimes. Em relação à genética mendeliana, avalie as afirmativas abaixo.
I Linhagem pura é aquela que apresenta variação de uma única característica ou fenótipo como resultado da autofecundação.
II Alelo dominante é aquele que codifica uma proteína funcional.
III Genótipo é o nome dado na genética mendeliana à forma como uma característica é apresentada.
IV Alelo recessivo é aquele que não codifica nenhuma proteína ou codifica uma proteína não funcional.
Nesse contexto, estão corretas as afirmativas
Provas
As arboviroses são doenças virais causadas pelos arbovírus, cujos vetores são artrópodes. O mosquito Aedes aegypt é um desses vetores, podendo disseminar diversas patologias, como zika, dengue, febre Chikungunya e febre amarela. O zika, por exemplo, é um vírus de
Provas
Para responder à questão, considere o texto abaixo.
|
Um pesquisador deseja investigar o papel de uma proteína no processo de consolidação da memória e do aprendizado. Para isso, o estudo utiliza roedores que serão expostos a uma tarefa comportamental de reconhecimento de objetos. Após avaliação comportamental, o tecido cerebral do animal será processado para avaliar a expressão da proteína de interesse. |
A confecção de lâminas histológicas, a partir do encéfalo dos roedores utilizados no experimento comportamental, possibilita, por meio da técnica de imuno-histoquímica, a detecção de proteínas alvo, a partir de marcadores específicos. Para isso, são utilizados anticorpos que irão se ligar à região de interesse da proteína, permitindo sua detecção na amostra, durante a análise morfológica experimental. Em relação à imunohistoquímica, avalie as afirmativas abaixo.
I É possível utilizar um anticorpo monoclonal para detectar uma proteína nuclear expressa apenas em neurônios maduros.
II Um mesmo anticorpo primário pode detectar uma proteína alvo em amostras de diferentes espécies.
III Os anticorpos secundários utilizam o mesmo epítopo de ligação que o anticorpo primário se utiliza para se ligar à proteína.
IV É necessário permeabilizar bastante a membrana da célula para permitir a ligação de um anticorpo primário a um receptor de proteína de membrana.
Das afirmativas, estão corretas
Provas
Para responder à questão, considere o texto abaixo.
|
Um pesquisador deseja investigar o papel de uma proteína no processo de consolidação da memória e do aprendizado. Para isso, o estudo utiliza roedores que serão expostos a uma tarefa comportamental de reconhecimento de objetos. Após avaliação comportamental, o tecido cerebral do animal será processado para avaliar a expressão da proteína de interesse. |
A preparação da amostra tecidual para análise do extrato proteico requer cuidados importantes para que não ocorra a desnaturação das proteínas. O procedimento que deverá ser realizado com o objetivo de preservar a estrutura da proteína durante o processamento da amostra é
Provas
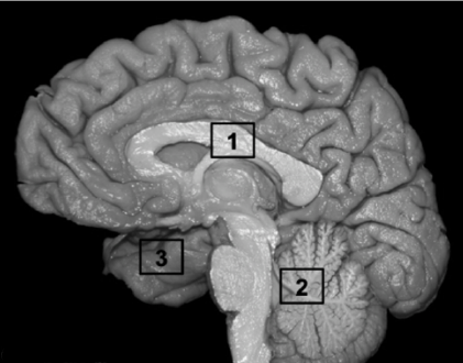
Para responder à questão, considere abaixo a imagem de um cérebro humano.

Disponível em: https://asociacioneducar.com/ilustraciones.
A orientação do corte histológico apresentado na imagem é
Provas
Para responder à questão, considere abaixo a imagem de um cérebro humano.

Disponível em: https://asociacioneducar.com/ilustraciones.
As áreas indicadas pelos números 1, 2 e 3 referem-se, respectivamente, a
Provas
Uma das primeiras técnicas histológicas que revolucionou os estudos na área de neurociências foi descrita, no século XIX, por Camillo Golgi (1873). Como forma de reconhecimento, o seu sobrenome foi utilizado para nomear a nova metodologia proposta. Na técnica de coloração histológica de Golgi,
Provas
O ácido gama-aminobutírico (GABA) é um dos principais tipos de neurotransmissores presente no encéfalo e desempenha importante papel nas sinapses inibitórias. Sobre a função do GABA nas sinapses, avalie as afirmativas abaixo.
I O GABA atua nas sinapses excitando os receptores das células-alvo durante o neurodesenvolvimento.
II A presença do GABA na sinapse é critério determinante para classificá-la como sinapse excitatória ou inibitória.
III O GABA atua, essencialmente, em receptores sinápticos metabotrópicos que estão distribuídos de forma mais restrita ao hipocampo.
IV A disfunção da atividade sináptica GABAérgica está envolvida em transtornos psiquiátricos, como ansiedade, depressão e, até mesmo, epilepsia.
Das afirmativas, estão corretas:
Provas
O termo plasticidade sináptica refere-se à capacidade de adaptação do sistema nervoso (SN) em resposta a mudanças ambientais às quais o ser humano é submetido diariamente. Essas mudanças podem ocorrer devido à exposição de um trauma ou durante o processo de aprendizagem. Em relação à plasticidade sináptica, avalie as afirmativas abaixo.
I É um processo neuronal no qual as sinapses podem sofrer mudanças que reforcem ou enfraqueçam uma resposta neuronal a determinado estímulo.
II A ocorrência de plasticidade sináptica de longo prazo ocorre, principalmente, em regiões cerebrais envolvidas com funções viscerais.
III É possível identificar mudanças morfológicas nos neurônios que estão envolvidos em eventos de plasticidade sináptica.
IV Há pouca variação na concentração de neurotransmissores que são liberados durante a ocorrência de potenciação ou depressão sináptica de curto e longo prazo.
Das afirmativas, estão corretas:
Provas
Caderno Container