Foram encontradas 1.793 questões.
Homem de 65 anos, hipertenso, portador de fibrilação atrial permanente, apresentou infarto agudo do
miocárdio sem supra de ST, sendo submetido a angioplastia coronariana com implante de dois stents farmacológicos. Em relação à terapia antitrombótica recomendada imediatamente após o procedimento, assinale
a alternativa INCORRETA.
Provas
Questão presente nas seguintes provas
Muitos conhecimentos utilizados na medicina atual, especialmente dentro da cardiologia, são retirados de
ensaios clínicos. Neste contexto, assinale a opção correta em relação à interpretação deste tipo de estudo.
Provas
Questão presente nas seguintes provas
Em relação ao manejo de pacientes com embolia pulmonar, assinale a alternativa correta.
Provas
Questão presente nas seguintes provas
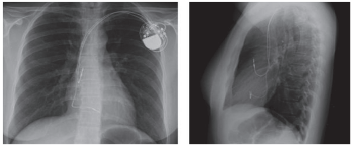
Uma paciente de 68 anos com doença do nódulo sinusal e síncope foi submetida a implante de marcapasso definitivo. De acordo com a sua radiografia de tórax, assinale a opção que representa o tipo de
dispositivo implantado.


Provas
Questão presente nas seguintes provas
Sobre as cardiopatias congênitas, assinale a
alternativa correta.
Provas
Questão presente nas seguintes provas
A respeito da Febre Reumática (FR), é correto
afirmar:
Provas
Questão presente nas seguintes provas
Homem de 50 anos, portador de espondilite
anquilosante, evoluiu com quadro de cansaço e
dispneia aos esforços, com piora progressiva. Ao
exame físico apresentava ictus cordis palpável
no 6º espaço intercostal esquerdo (EIE) na linha
axilar anterior, ocupando 3 polpas digitais. Ritmo
cardíaco regular em 3T (B3), sopro diastólico aspirativo +4/+6 melhor audível no 3º EIE. Sobre esta
patologia valvar, assinale a alternativa correta.
Provas
Questão presente nas seguintes provas
Considere o caso abaixo para responder à questão:
Um homem de 70 anos, portador de hipertensão
arterial e doença de Alzheimer recém-diagnosticada, foi levado à emergência por familiares após
um primeiro episódio de síncope. A família relata
que, após o café da manhã, o paciente apresentou perda súbita da consciência enquanto ainda
estava sentado, com recuperação após cerca de
2 minutos. Não houve liberação esfincteriana ou
outros sintomas associados. A família nega também qualquer história de cardiopatia ou episódios
semelhantes. O paciente faz uso de enalapril há
cerca de 10 anos e donepezila há 10 dias, após
o diagnóstico de demência. Ao exame: acordado,
eupneico em ar ambiente, referindo leve tonteira,
corado, hidratado. Frequência cardíaca 45 bpm;
pressão arterial: 100x60 mmHg; ritmo cardíaco
regularmente irregular em 2 tempos, bulhas
normofonéticas, sem sopros. O restante do exame físico foi normal. O eletrocardiograma de admissão encontra-se abaixo.

Provas
Questão presente nas seguintes provas
Considere o caso abaixo para responder à questão:
Um homem de 70 anos, portador de hipertensão
arterial e doença de Alzheimer recém-diagnosticada, foi levado à emergência por familiares após
um primeiro episódio de síncope. A família relata
que, após o café da manhã, o paciente apresentou perda súbita da consciência enquanto ainda
estava sentado, com recuperação após cerca de
2 minutos. Não houve liberação esfincteriana ou
outros sintomas associados. A família nega também qualquer história de cardiopatia ou episódios
semelhantes. O paciente faz uso de enalapril há
cerca de 10 anos e donepezila há 10 dias, após
o diagnóstico de demência. Ao exame: acordado,
eupneico em ar ambiente, referindo leve tonteira,
corado, hidratado. Frequência cardíaca 45 bpm;
pressão arterial: 100x60 mmHg; ritmo cardíaco
regularmente irregular em 2 tempos, bulhas
normofonéticas, sem sopros. O restante do exame físico foi normal. O eletrocardiograma de admissão encontra-se abaixo.

Provas
Questão presente nas seguintes provas
No contexto da farmacologia cardiovascular,
assinale a opção que demonstra uma associação
FALSA entre o medicamento e o potencial efeito
adverso.
Provas
Questão presente nas seguintes provas
Cadernos
Caderno Container