Foram encontradas 1.810 questões.
Assinale a opção que contém o tumor intracraniano de origem não glial mais comum na população pediátrica.
Provas
Questão presente nas seguintes provas
paciente de 7 anos, com náuseas, vômitos e febre de início agudo, evoluindo com queda do nível de consciência, foi submetido à ressonância magnética. Analise as imagens a seguir:

Assinale a alternativa que contém o diagnóstico provável.
Provas
Questão presente nas seguintes provas
Um paciente de 22 anos, com estado de imunodepressão, foi internado com febre, crises convulsivas e quadro respiratório a esclarecer. É submetido a exame de ressonância magnética que revelou as alterações a seguir (Figuras A a D). No estudo laboratorial do líquor, houve o isolamento de um fungo.

Baseado nas imagens de ressonância magnética, assinale a provável doença fúngica do paciente.
Provas
Questão presente nas seguintes provas
Um paciente de 55 anos apresentou início de lombalgia em 04/2004, quando realizou exame de RM que revelou alterações degenerativas (Figura A). Ele relata que, no final de 2005, a dor mudou de características e passou a irradiar para o MIE, tendo realizado novo exame de RM (Figuras B, C, D).

Após a análise das imagens de RM acima, o diagnóstico da causa da dor do paciente é:
Provas
Questão presente nas seguintes provas
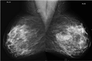
Paciente de 40 anos realizou esta mamografia para rastreio, sendo assintomática. A ultrassonografia realizada em outro serviço, 6 meses antes da mamografia, demonstrou pequeno nódulo hipoecoico de 1,5 cm no QSE da mama direita e nenhuma lesão na mama esquerda. Assinale a alternativa correspondente à hipótese diagnóstica da imagem nodular da mama esquerda observada na mamografia.

Provas
Questão presente nas seguintes provas
Assinale a alternativa que apresenta corretamente o que observa-se na análise das imagens da mamografia.

Provas
Questão presente nas seguintes provas
Uma paciente de 46 anos realizou esta mamografia.


Assinale a alternativa que contém a descrição e a classificação BIRADS correspondente.
Provas
Questão presente nas seguintes provas
Uma paciente de 60 anos realizou radiografia de seios da face com queixa de cefaleia. Frente às imagens, considera-se que há:



Provas
Questão presente nas seguintes provas
A ultrassonografia abdominal de um paciente de 35 anos, com queda do estado geral, demonstrou inúmeros pequenos focos ecogênicos no baço, que estava levemente aumentado de volume. Dentre as causas mais prováveis, pode-se indicar:
Provas
Questão presente nas seguintes provas
Em relação ao exame ultrassonográfico das mamas, assinale a alternativa que apresenta a descrição de nódulo com menor risco de malignidade que corresponde a nódulo hipoecoico.
Provas
Questão presente nas seguintes provas
Cadernos
Caderno Container