Foram encontradas 377 questões.
Na Doença Respiratória Bovina (DRB), a ultrassonografia
torácica é considerada um método sensível para a
identificação de lesões pulmonares em diferentes estágios
de comprometimento, presumindo o prognóstico do impacto
das doenças sobre o desempenho dos animais de
produção. As alterações ultrassonográficas compatíveis
com DRB são:
Provas
Questão presente nas seguintes provas
Leia o texto a seguir.
Considere uma alteração ultrassonográfica que descreve uma vesícula biliar distendida por conteúdo anecogênico homogêneo, com parede espessada (>1mm), apresentando halo hipoecogênico entre margens hiperecogênicas.
O tipo de lesão descrita no texto acima é compatível com qual possível diagnóstico?
Considere uma alteração ultrassonográfica que descreve uma vesícula biliar distendida por conteúdo anecogênico homogêneo, com parede espessada (>1mm), apresentando halo hipoecogênico entre margens hiperecogênicas.
O tipo de lesão descrita no texto acima é compatível com qual possível diagnóstico?
Provas
Questão presente nas seguintes provas
Considerando os diagnósticos descritos abaixo, quais deles
são categorizados como diagnósticos diferenciais para
alterações de hiperecogenicidade difusa do parênquima
hepático?
Provas
Questão presente nas seguintes provas
Na ultrassonografia gestacional, os seguintes achados
ultrassonográficos “presença de uma camada anecogênica
de espessura variável separando a pele do tecido
subjacente, localizado sobre o dorso, pescoço e crânio do
feto; moderada quantidade de conteúdo anecogênico em
cavidade pleural, associado a pulmões ecogênicos
retraídos” são indicativos de
Provas
Questão presente nas seguintes provas
As hemivértebras são o resultado de uma falha do
desenvolvimento e eventual ossificação de parte de uma
vértebra, geralmente o corpo. A radiografia é uma técnica de
imagem utilizada para avaliar malformações da coluna
vertebral, incluindo as hemivértebras. Os achados
radiográficos encontrados nessa enfermidade incluem
Provas
Questão presente nas seguintes provas
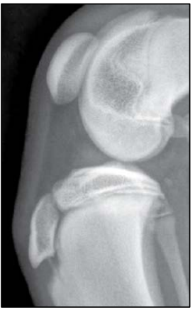
Observe a imagem a seguir.

Thrall, 2014.
A imagem acima representa uma radiografia em projeção mediolateral do joelho de um Labrador de 5 meses de idade. De acordo com a interpretação da imagem, as fises ósseas abertas podem indicar que
Provas
Questão presente nas seguintes provas
As radiopacidades, em um exame radiográfico, referem-se
a diferentes resoluções de contraste e permitem que as
estruturas sejam discriminadas uma das outras. Entre os
exemplos de tecidos e substâncias, de acordo com a
radiopacidade produzida, podemos considerar que
Provas
Questão presente nas seguintes provas
As reações periosteais são mecanismos ósseos comumente
encontrados em lesões ósseas agressivas de diferentes
enfermidades. O exame radiográfico desempenha um papel
crucial na avaliação dessas reações, evidenciando a
localização da lesão em um ou mais ossos envolvidos, além
de características agressivas e não agressivas. Com base
nas alterações radiográficas, qual a localização correta das
reações periosteais das enfermidades citadas?
Provas
Questão presente nas seguintes provas
Leia o texto a seguir.
Esse artefato promove áreas de ecogenicidade diminuída distais às estruturas de alta refletividade. Nessas situações, o feixe sonoro primário é quase completamente refletido ou absorvido. Uma quantidade insuficiente de ecos retornados dessa localização distal ao forte refletor faz com que essas regiões pareçam anecogênicas.
O texto se refere a qual artefato de imagem?
Esse artefato promove áreas de ecogenicidade diminuída distais às estruturas de alta refletividade. Nessas situações, o feixe sonoro primário é quase completamente refletido ou absorvido. Uma quantidade insuficiente de ecos retornados dessa localização distal ao forte refletor faz com que essas regiões pareçam anecogênicas.
O texto se refere a qual artefato de imagem?
Provas
Questão presente nas seguintes provas
Na formação da imagem ultrassonográfica, as estruturas
podem ser reconhecidas e diferenciadas pela ecogenicidade
tecidual, sendo que
Provas
Questão presente nas seguintes provas
Cadernos
Caderno Container