Foram encontradas 407 questões.
Analise a imagem a seguir.

Na exposição radiográfica dorsopalmar da extremidade distal de um bovino, qual é a alteração observada?
Provas
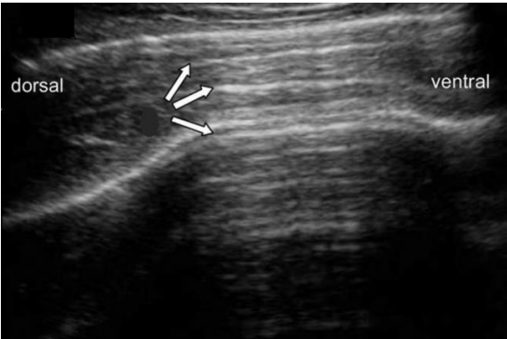
Analise a imagem a seguir.

Nessa imagem de um exame ultrassonográfico, qual é o artefato de imagem indicado pelas setas?
Provas
No exame ultrassonográfico, o sombreamento acústico é causado pela presença de quais compostos?
Provas
Considerando os fatores de produção de imagem: kilovoltagem, miliamperagem e tempo, como controlar o artefato de movimento produzido pela respiração durante a radiografia torácica?
Provas
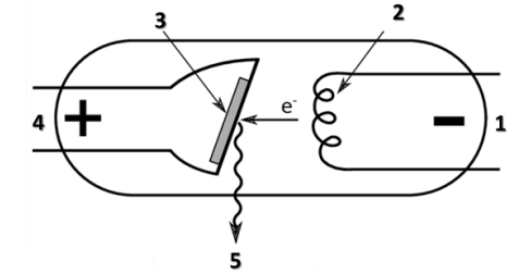
Observe o esquema a seguir representando uma ampola radiográfica.

No esquema, quais são as áreas indicadas pelos números 1, 2, 3, 4 e 5 respectivamente?
Provas
Em um confinamento de bovinos de um ano de idade, para os quais a ração oferecida é preparada na propriedade, foi constatada falha na sua mistura, gerando acúmulo de componentes em porções do alimento. Subsequentemente, houve mortalidade de alguns animais. Os bovinos não tinham acesso a pastagem natural e os componentes da ração não estavam contaminados por plantas invasoras, segundo foi observado na visita ao estabelecimento. O protocolo de vacinação estava completo para a categoria. Alguns bovinos acometidos apresentavam debilidade, assumiam decúbito esternal ou lateral e evoluíam à morte em alguns dias. À necropsia, diferentes grupos musculares e o coração de alguns bovinos exibiam áreas de coloração pálida. À histologia, havia necrose muscular monofásica em cortes dos músculos esquelético e cardíaco. Diante do quadro clínico-patológico e dos antecedentes do rebanho, a mortalidade se justifica em decorrência de
Provas
Um equino adulto, mantido a pasto e recebendo ração à base de milho, apresentou cegueira, andar a esmo, cambaleios e andar em círculos, com o quadro evoluindo à morte após alguns dias. À necropsia, havia tumefação acentuada de um dos hemisférios cerebrais, com malácia dos lobos frontal e parietal do hemisfério correspondente. À histologia, havia extensa necrose da substância branca no hemisfério acometido. Na medula espinhal, não havia alterações macro ou microscópicas. Diante do quadro clínico e dos achados anatomopatológicos, o equino apresentava
Provas
Metástases são definidas como a disseminação de tumores em diferentes partes do organismo a partir do seu foco de proliferação inicial. As principais vias de metástase para sarcomas, carcinomas e tumores originados da superfície de órgãos abdominais ou torácicos são, respectivamente:
Provas
Um suíno em fase de engorda, em bom estado corporal, apresenta quadro clínico respiratório, com dispneia, tosse e evolução rápida à morte. À necropsia, os pulmões apresentam áreas bem delimitadas, de consistência firme, associadas a hemorragia acentuada nos lobos diafragmáticos, as quais são compatíveis com infarto, além de deposição multifocal de fibrina sobre a pleura. Esses sinais clínicos e achados macroscópicos são compatíveis com
Provas
Nas micoses sistêmicas causadas por Blastomyces dermatidis e Histoplasma capsulatum, e nas doenças bacterianas causadas por bactérias intracelulares, como Mycobacterium, Nocardia e Brucella, o infiltrado inflamatório que se forma é do tipo
Provas
Caderno Container