Foram encontradas 138 questões.
Homem de 65 anos, residente em Fortaleza, sem comorbidades e sem uso de medicação, comparece à consulta de rotina – relata que sua única intercorrência foi episódio de herpes zoster em tronco há 6 meses, sem sequelas. Quando questionado, relata que desde criança só tomou vacina contra hepatite B há 10 anos e dose de reforço contra tétano há 5 anos.
Qual esquema vacinal deve ser prescrito ao paciente?
Provas
Mulher de 35 anos, admitida na emergência com quadro de icterícia e lentificação psicomotora, após ingesta de 30 comprimidos de paracetamol 750mg em tentativa de suicídio. Exames mostram: TGO: 10.000 U/L (VR: 0-35) TGP: 12.200 U/L (VR: 0,35) Bilirrubinas totais: 3,5mg/dl (VR: 0,3-1,2) TAP/INR: normal
Qual o antídoto indicado para a paciente?
Provas
Paciente masculino, 55 anos, comparece à consulta de avaliação após realizar exames ‘’alterados’. Tem diagnóstico de HAS e DM de longa data, com tratamento irregular. Traz os seguintes exames: Cr: 2,5mg/dL (VR: 0,8-1,3) Ur: 70mg/dl (VR: 20-40) Ca: 9,2mg/dL (VR: 8,5-10,6) Na+: 134mEq/L (VR: 132-145) Potássio K+: 5,4mEq/L (VR: 3,5-5,5) Mg++: 2,4mg/dL (1,5-2,4) Fósforo: 6,2mg/dL (VR: 3-4,5) PTH: 100pg/ml (10-65) vit D: 28UI unidade? (VR: 20-30)
Qual o tratamento baseado nas alterações laboratoriais evidenciadas?
LEGENDA: HAS: hipertensão arterial sistêmica; DM: diabetes mellitus; Cr: creatinina; Ur: ureia; Ca: cálcio; Na+: sódio; K+: potássio; Mg++: magnésio; vit D: vitamina D; PTH: paratormônio; VR: valor de referência
Provas
Mulher, 50 anos, comparece à consulta relatando que de longa data apresenta rigidez em mãos ao acordar, que melhora após cerca de 10 minutos, além de dores frequentes em mãos. Nega sinais flogísticos. Exames mostram marcadores inflamatórios negativos. Ao exame, ausência de flogose. Foto abaixo

Qual a opção de terapêutica farmacológica preferencial para a paciente?
(LEGENDA: AINE: antiinflamatório não esteroidal)
Provas
Paciente masculino, 35 anos, comparece à consulta relatando que há 1 semana apresentou episódio de dor de forte intensidade em flanco esquerdo, com irradiação para região genital, associada a náuseas e sem posição de alívio. Na ocasião foi para UPA onde recebeu analgesia, evoluindo com melhora, e foi orientado a buscar acompanhamento ambulatorial. Qual exame de imagem é melhor indicado para o diagnóstico?
LEGENDA: UPA: unidade de pronto-atendimento; TC: tomografia computadorizada
Provas
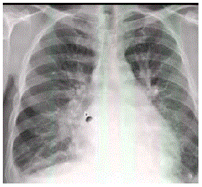
Homem, 56 anos, admitido na emergência por quadro de dispneia há 5 dias, com piora progressiva, evoluindo com tosse seca e ortopneia. Na admissão, se apresenta dispneico, com estertores em 2/3 inferiores de tórax e extremidades frias. PA: 150 x 70mmHg FC: 100. Nega febre ou expectoração. Sem histórico prévio de doença cardíaca. Não faz uso de medicações. Radiografia de tórax abaixo.

Qual a conduta inicial?
LEGENDA: PA: pressão arterial; FC: frequência cardíaca
Provas
Homem, 40 anos, comparece à emergência na madrugada relatando cefaleia excruciante de forte intensidade (10 em 10), periorbitária esquerda, associada à coriza e intenso mal estar. Ao exame, nota-se ptose palpebral, lacrimejamento excessivo e hiperemia conjuntival ipsilateralmente à dor. Fez uso de dihidroergotamina em casa sem melhora do quadro. Relata que a cefaleia vem se apresentando há 1 semana em crises de intensidade crescente. Qual a melhor opção terapêutica?
Provas
Paciente masculino, 74 anos, comparece em consulta porque decidiu que queria se cuidar melhor. Tem diagnóstico de HAS, sem outras comorbidades, funcionalmente independente. Em uso de indapamida 1,5mg/dia. Fumou dos 20 aos 65 anos, 20 cigarros/dia. Nega sintomas atualmente. Qual a conduta indicada em relação ao rastreio de neoplasias para o paciente?
LEGENDA: PSA: antígeno prostático; USG: ultrassonografia; PSO: pesquisa de sangue oculto nas fezes; TC: tomografia computadorizada
Provas
Mulher, 65 anos, comparece para consulta de reavaliação após início de tratamento anti-hipertensivo. Há 3 meses recebeu prescrição de anlodipina 5mg/dia e desde então vem com queixa de tontura ‘’quase o tempo todo’’, relatando um episódio de queda ao levantar-se da cama devido ao sintoma; além disso, relata edema de membros inferiores. No momento da consulta PA: 150 x 80mmHg. Qual a conduta mais adequada?
Provas
Fosfoetanolamina, a "pílula do câncer", começa a ser testada em humanos pela UFC. O Núcleo de Pesquisa e Desenvolvimento de Medicamentos (NPDM) da Universidade Federal do Ceará iniciou, nesta segunda-feira (17), os testes em seres humanos com a fosfoetanolamina, a chamada "pílula do câncer".
Fonte: Portal UFC notícias: http://www.ufc.br/noticias/13120-fosfoetanolamina-a-pilula-do-cancer-comeca-a-ser-testada-em-humanos-pela-ufc. Acesso em 18/06/2019.
Sobre os estudos clínicos e suas fases, assinale a alternativa incorreta.
Provas
Caderno Container