Foram encontradas 473 questões.
Provas
Dadas as afirmativas sobre a fisiopatologia, manifestações clínicas e diagnóstico da erliquiose monocítica canina,
I. Na fase aguda, pode-se observar sinais como apatia, febre, anorexia, petéquias na pele e/ou mucosa. Entretanto, há uma variação na intensidade dos sinais, podendo passar despercebidos ou apresentar sinais mais intensos e graves.
II. Após a fase aguda, os cães não tratados ou tratados inadequadamente podem recuperar-se clinicamente e passar para a fase subclínica ou assintomática, em que há poucos sinais clínicos e pode durar semanas a meses.
III. O diagnóstico é realizado com mais frequência na fase crônica, na qual, os sinais clínicos são mais evidentes e a detecção da mórula no esfregaço é mais comum.
IV. Trombocitopenia e pancitopenia, decorrente da depressão da medula óssea, é um achado nas fases aguda e crônica, mas não na fase subclínica.
verifica-se que está(ão) correta(s)
Provas
Provas
- Clínica MédicaClínica Médica para Pequenos Animais
- Clínica Cirúrgica e AnestesiologiaClínica Cirúrgica para Pequenos Animais
Provas
Provas
- Clínica MédicaClínica Médica para Pequenos Animais
- Clínica Cirúrgica e AnestesiologiaClínica Cirúrgica para Pequenos Animais
A acidose em pequenos animais pode ser respiratória, quando houver algum problema com a ventilação pulmonar, ou metabólica, nos casos de acúmulo de catabólitos ácidos decorrentes do metabolismo tecidual anaeróbico.
Sobre a reposição intravenosa do bicarbonato de sódio, em cães que se encontrem em acidose metabólica, assinale a alternativa correta.
Provas
Sabe-se que o choque em pequenos animais pode ser definido por uma severa insuficiência da perfusão capilar, incapaz de manter a função normal das células. Dessa hipoperfusão sobrevém várias alterações funcionais que, quando somadas e não corrigidas, conduzem a irreversibilidade da síndrome.
Em relação à terapia do choque em pequenos animais assinale a alternativa correta.
Provas

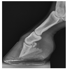
Dadas as afirmativas sobre esse caso,
I. Uma das alternativas terapêuticas é a tenotomia do flexor digital superficial.
II. Rotações de falange distal entre 15 a 20º, se bem cuidadas, têm prognóstico bom e retorno do equino à carreira atlética.
III. Se houver perfuração de sola, uma das alternativas para combater a osteomielite é o fresamento da terceira falange.
verifica-se que está(ão) correta(s) apenas
Provas
A laparoscopia em pequenos animais vem ganhando destaque nos últimos anos em clínicas e hospitais veterinários. As vantagens da sua utilização incluem: possibilidade de realizar procedimentos diagnóstico e terapêutico em uma única intervenção, realização de incisões menores provocando um menor traumatismo tecidual, menor manipulação das vísceras abdominais, redução da dor no pós-operatório e períodos reduzidos de convalescença hospitalar, quando comparado com os métodos cirúrgicos tradicionais.
Em relação ao acesso laparoscópico à cavidade peritoneal de cães e gatos, assinale a alternativa correta.
Provas
- Clínica MédicaClínica Médica para Equinos
- Clínica Cirúrgica e AnestesiologiaClínica Cirúrgica para Grandes Animais
Provas
Caderno Container