Foram encontradas 70 questões.
A medialização das apófises pterigoides é característica da seguinte afecção:
Provas
Um paciente sofre trauma por arma branca na região supraclavicular esquerda, 1 cm abaixo da linha correspondente à cartilagem cricoide. No pescoço, essa região está localizada na zona:
Provas
A inervação sensitiva da membrana timpânica surge dos nervos:
Provas
Os osteomas das cavidades paranasais são mais comuns no seio:
Provas
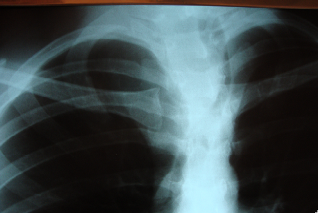
Devido ao crescimento rápido de lesão cervical que, atualmente, apresenta o tamanho de 10 cm x 6 cm, associada à perda ponderal de seis kg, nos últimos quatro meses, um homem de 30 anos de idade procurou o ambulatório de cirurgia geral. Relata nódulo tireoidiano, descoberto há quatro anos, em lobo direito, que era assintomático. Realizou punção biópsia com agulha fina guiada por US que revelou tumor folicular. No momento, a dosagem hormonal é normal e nega sintomas compressivos. O paciente realizou radiografia de tórax que pode ser visualizada abaixo.

Para prevenir complicações durante a cirurgia, é prioritário realizar:
Provas
A radioterapia não tem bom resultado em tumor maligno da laringe quando localizado em:
Provas
Em pacientes portadores da síndrome da apneia obstrutiva do sono, o sítio anatômico possível de tratamento cirúrgico que pode ser indicado, independentemente de sua gravidade, é:
Provas
Constitui indicação de adeno-amigdalectomia:
Provas
O higromacístico é uma má formação linfática que ocorre como resultado de desenvolvimento inadequado, que falha na drenagem para o sistema venoso. Na maioria dos casos, ele se localiza na seguinte região:
Provas
O principal local para a disseminação metastática do carcinoma papilífero da tireoide é o:
Provas
Caderno Container