Magna Concursos

Foram encontradas 374 questões.

A cirurgia é uma opção terapêutica reservada para casos específicos de abscesso pulmonar. A situação clínica abaixo que indica a necessidade de tratamento cirúrgico é:
 

Provas

Questão presente nas seguintes provas
O rastreamento para detecção precoce de câncer de pulmão utilizando Tomografia Computadorizada (TC) helicoidal de baixa dose é recomendado para populações específicas com base no risco relacionado ao tabagismo e outros fatores. A alternativa que representa um paciente que preenche os critérios para o rastreamento segundo as recomendações da National Comprehensive Cancer Network (NCCN) é:
 

Provas

Questão presente nas seguintes provas
O protocolo ERAS (Enhanced Recovery After Surgery) é uma abordagem multimodal baseada em evidências que busca melhorar os resultados cirúrgicos, reduzindo o tempo de internação hospitalar e acelerando a recuperação do paciente. Entre os pilares que compõem o protocolo ERAS, assinale a alternativa correta.
 

Provas

Questão presente nas seguintes provas
Um paciente será submetido a uma colecistectomia videolaparoscópica sob anestesia geral. Durante a verificação de cirurgia segura, ele informa que ingeriu os seguintes alimentos: suco de maçã 2 horas antes do horário previsto para a cirurgia e uma refeição leve 5 horas antes. Com base nos tempos mínimos de jejum recomendados, a conduta mais apropriada para esse paciente é:
 

Provas

Questão presente nas seguintes provas
A cirurgia robótica tem se tornado uma alternativa cada vez mais utilizada em procedimentos minimamente invasivos. Com base nas vantagens tecnológicas oferecidas pela plataforma robótica em comparação à videolaparoscopia convencional, a característica abaixo que NÃO representa um benefício exclusivo da cirurgia robótica é:
 

Provas

Questão presente nas seguintes provas
Paciente masculino, 28 anos, vítima de acidente automobilístico em colisão frontal, é admitido no pronto-socorro hemodinamicamente estável. Na avaliação inicial, apresenta dor abdominal difusa, sem sinais de irritação peritoneal. A Tomografia Computadorizada (TC) de abdome revelou lesão esplênica grau III com pequeno hematoma subcapsular, sem extravasamento de contraste e mínimo líquido livre na cavidade peritoneal. Foi iniciado Tratamento Não Operatório (TNO), com monitorização rigorosa em Unidade de Terapia Intensiva (UTI). Após 12 horas, o paciente evolui com aumento da dor abdominal, taquicardia (FC 120 bpm), hipotensão (PA 85/55 mmHg) e queda de 3 pontos nos níveis de hemoglobina. A reavaliação por ultrassonografia FAST evidenciou líquido livre na cavidade peritoneal nas três janelas abdominais. A conduta indicada neste caso é:
 

Provas

Questão presente nas seguintes provas
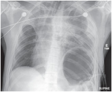
Paciente masculino, 35 anos, vítima de politraumatismo após acidente automobilístico, é admitido no pronto-socorro. Ao exame inicial, apresenta-se intubado e com dreno torácico inserido no hemitórax esquerdo devido a suspeita de pneumotórax. Os sinais vitais incluem pressão arterial de 90/60 mmHg, frequência cardíaca de 120 bpm, frequência respiratória de 30 irpm e saturação de oxigênio de 88% em ventilação mecânica. Foi realizada a seguinte radiografia de tórax:
Enunciado 4376187-1 Fonte: Sabiston Tratado de Cirurgia / Courtney M. Townsend et al. 20° edição - Rio de Janeiro: Elsevier, 2019.
Com base no caso clínico acima e nos achados da imagem, o diagnóstico mais provável é:
 

Provas

Questão presente nas seguintes provas
Paciente masculino, 40 anos, vítima de colisão veicular em alta velocidade, é admitido hemodinamicamente estável. A radiografia inicial de tórax evidenciou mediastino alargado. Foi realizada angiotomografia de tórax, que revelou: pseudoaneurisma na aorta descendente, localizado após o istmo aórtico, sem sinais de ruptura completa ou hemorragia significativa. De acordo com a classificação de Lesões Traumáticas da Aorta (LTCA), o grau correspondente à lesão apresentada é:
 

Provas

Questão presente nas seguintes provas
Paciente masculino, 30 anos, vítima de ferimento penetrante por arma branca no hemitórax esquerdo, chega ao pronto-socorro apresentando hipotensão (PA 80/50 mmHg) e taquicardia (FC 130 bpm). Na avaliação inicial, foi identificada ausência de murmúrio vesicular no lado esquerdo. Realizou-se drenagem torácica com dreno 32F com saída imediata de 1.200 mL de conteúdo hemático e nas últimas 2 horas houve débito de 600ml pelo dreno. Após 1000ml de Ringer lactato o paciente mantém os mesmos parâmetros citados acima. A conduta prioritária para o tratamento deste paciente é:
 

Provas

Questão presente nas seguintes provas
Paciente masculino, 35 anos, apresenta ferimento penetrante por arma branca na região cervical anterior, zona 2. O paciente chega ao pronto-socorro consciente, com dispneia e hematoma expansivo na região do pescoço, associado a estridor respiratório. Sinais vitais revelam: FC 120 bpm; PA 89x62mmHg; FR 32 irpm; e saturação de oxigênio de 83% em ar ambiente. A prioridade na conduta inicial no atendimento desse paciente é:
 

Provas

Questão presente nas seguintes provas