Foram encontradas 374 questões.
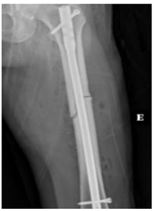
Você é residente da Clínica Médica e foi
acionado/a para realizar interconsulta de uma
paciente de 68 anos na Enfermaria de
Ortopedia, após fixação de fratura de fêmur.
Durante avaliação, paciente relata diagnóstico
de osteoporose, e está fazendo uso regular de
carbonato de cálcio, Vitamina D3 2000 UI/d e
alendronato há 11 anos. Quando inquirida, ela
nega quedas. Refere que estava realizando sua
caminhada matinal no Parque do Utinga,
quando sentiu uma dor intensa na face lateral
da perna esquerda, momento em que procurou
o Pronto Atendimento. Na avaliação bioquímica
complementar, ela apresenta 25OHD de 42
ng/dL, níveis de eletrólitos, albumina, PTH e
eletroforese de proteínas séricas normais. Após
procedimento ortopédico, apresenta a seguinte
radiografia:
Neste momento, a conduta prioritária é:
Neste momento, a conduta prioritária é:
Provas
Questão presente nas seguintes provas
Você atende uma criança de 5 anos de idade em
primeira consulta de puericultura. A mãe traz
alguns exames solicitados durante um quadro
febril pregresso: anti HAV IgG positivo e IgM
negativo, Anti HCV IgG e IgM negativos, Anti HBs
negativo, HBsAg negativo. Caderneta de vacina
sem atrasos vacinais. A conduta mais adequada
neste caso é:
Provas
Questão presente nas seguintes provas
Paciente de 10 anos de idade, apresenta febre
há 5 dias, associada a exantema micropapular e
pruriginoso, odinofagia e mialgia. Exame de
orofaringe: placa esbranquiçada em base da
língua, hiperemia e petéquias em palato.
Exantema micropapular com leve descamação
furfurácea em tronco e membros. Nesse
contexto, o tratamento indicado para o paciente
é:
Provas
Questão presente nas seguintes provas
Criança de 8 anos de idade, previamente hígida,
comparece a consulta com o pediatra com queixa
de duas Infecções do Trato Urinário (ITU) nos
últimos seis meses. Mãe nega episódios
anteriores. Realizou tratamento tópico para
fimose com dexametasona durante 8 semanas,
há 1 ano, sem melhora. Ao exame, prepúcio com
áreas de fibrose, aderido a glande, sem
hiperemia. A conduta correta neste caso é:
Provas
Questão presente nas seguintes provas
Menino, 12 anos de idade, apresenta dor na
região anterior do joelho esquerdo, que piora
após práticas de exercícios e melhora com
repouso. Iniciou aula de futebol 3 vezes por
semana há 60 dias devido sobrepeso. Ao exame,
dor e edema em tuberosidade da tíbia. O
diagnóstico mais provável neste caso é:
Provas
Questão presente nas seguintes provas
Adolescente, 11 anos de idade, sexo feminino é
portadora de prótese valvar e será submetida à
cirurgia odontológica envolvendo a região
periapical do dente. Alérgica a amoxicilina.
Nesse caso, está indicada a profilaxia por via oral
do procedimento com o seguinte antibiótico:
Provas
Questão presente nas seguintes provas
Criança de 7 anos de idade, apresenta
dificuldade em ganhar peso apesar da
alimentação balanceada. Mãe relata constipação
crônica associada a dor abdominal recorrente
desde o primeiro ano de vida, tendo realizado
inúmeros tratamentos empíricos para
parasitose. Antecedente de fratura de clavícula
ao cair da própria altura. A principal hipótese
diagnóstica e seu (s) exame (s) de triagem são:
Provas
Questão presente nas seguintes provas
Criança de 4 anos de idade, ribeirinha, é levada
ao médico pela genitora queixando de palidez e
cansaço fácil. Não realizou teste do pezinho,
recebeu aleitamento materno exclusivo até 8
meses de vida, atualmente alimentação à base
de peixes e açaí com farinha. Exame físico: Peso
e altura no percentil 50, palidez cutânea e
mucosa, eupneia. Ausculta cardíaca com sopro
aórtico, sem irradiação. Abdômen sem
visceromegalias. Exames complementares:
hemograma: Hb: 7,0 g/dL (11-14,5); Ht: 21%
(33-43); VCM: 60 fL (74-89); HCM: 20 p. (24-
32); CHCM: 27 g/dL (32-37); RDW: 19% (12-
14). Leucócitos: 5.500/mm3 (diferencial dentro
dos limites da normalidade). Plaquetas:
350.000/mm3 (150.000-400.000 /mm3).
Capacidade total de ligação do ferro: 550 μg/dL
(250-425 μg/dL), ferritina sérica: 24 (60-140
micg/dL). Neste contexto, assinale a alternativa
correta.
Provas
Questão presente nas seguintes provas
A Glomerulonefrite Pós Estreptocócica (GNPE) é
o protótipo de síndrome nefrítica, que acomete
crianças e adolescentes entre 5-12 anos de idade
e costuma ter evolução favorável. Em relação a
GNPE é correto afirmar que:
Provas
Questão presente nas seguintes provas
Criança de 4 anos de idade é levado ao pediatra
devido episódios de sudorese intensa e
irritabilidade. Ao exame físico, criança
emagrecida, FC 120 bpm, pressão arterial acima
do P95, massa palpável em flanco direito.
Pensando em confirmar a principal hipótese
diagnóstica, o pediatra deve solicitar:
Provas
Questão presente nas seguintes provas
Cadernos
Caderno Container