Foram encontradas 40 questões.
Ainda baseado no Consenso Brasileiro de Ventilação Mecânica, qual seria o modo e a pressão de ventilação não invasiva no edema pulmonar cardiogênico com recomendação grau A?
Provas
Baseado no Consenso Brasileiro de Ventilação Mecânica, assinale a alternativa em que o uso da ventilação não invasiva com pressão positiva NÃO é uma contraindicação.
Provas
Com relação ao dreno de tórax, assinale a alternativa incorreta.
Provas
Com base na espirometria, quando encontramos uma relação VEF1/CVF<70% e VEF1≥ 30% <50%, o provável diagnóstico é
Provas
Na avaliação da DPOC grave pelo estudo radiológico simples (RX), podemos observar:
Provas
Broncograma aéreo é
Provas
São sinais radiológicos encontrados em uma radiografia simples de tórax, na presença de atelectasia em um lobo pulmonar:
Provas
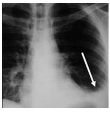
No raio X abaixo, verificamos opacificação do seio costofrênico esquerdo desenhando uma curva com a forma de uma parábola com a concavidade voltada para cima (seta). O nome deste sinal (curva) e o provável diagnóstico, respectivamente, são

Provas
- Psicologia Jurídica e ForenseCrianças e Adolescentes - Menores Infratores
- Psicologia da SaúdePsicologia e SaúdePolíticas PúblicasPolíticas Públicas no ECA
Provas
Provas
Caderno Container