Foram encontradas 640 questões.
O direito social que possui caráter contributivo que visa assegurar aos seus beneficiários meios indispensáveis de manutenção por motivo de incapacidade e idade avançada, dentre outros, chama-se:
Provas
“[…] o período pós-1970 marca o avanço dos ideais neoliberais que começam a ganhar terreno a partir da crise capitalista de 1969-1973” (BEHRING e BOSCHETTI, 2011). Esses ideais têm levado os neoliberais a acreditarem que
Provas
O valor ético-político central do Código de Ética é a
Provas
Disciplina: Legislação Específica das Agências Reguladoras
Banca: UEG
Orgão: UEG
Os produtos fitossanitários, utilizados no setor agrícola, contêm em seus rótulos uma faixa de cores que indica o grau de toxicidade a partir de protocolos de testes realizados. De acordo com a ANVISA-Agência de Vigilância Sanitária, na indicação das cores tem-se o seguinte:
Provas
De acordo com a fisiologia articular do tronco e coluna vertebral, durante a inflexão lateral da coluna torácica, constata-se que
Provas
De acordo com os dados apresentados na gasometria arterial, indique o distúrbio que está ocorrendo com o paciente com quadro de DPOC apresentando os seguintes parâmetros gasométricos:
Parâmetros gasométricos: . Ph: 7,48 PaCO2: 50 mmHg; PaO2: 70 mmHg; HCO3-: 34 BE: +6 |
Provas
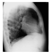
A radiografia é o método mais comum de diagnóstico por imagem na atualidade. Para que esse exame possa proporcionar boas imagens diagnósticas, é necessário respeitar incidências específicas em determinados segmentos do corpo que será radiografado. A imagem a seguir mostra uma radiografia de tórax, cuja a incidência utilizada foi

Fonte: https://www.researchgate.net/figure/Radiografia-de-torax-perfil-revelahipotransparencia-do-lobo-inferior-desse-lado-como_fig11_260010003. Acesso em: 15 set. 2022.
Provas
A saúde do trabalhador é um dos ramos de atuação da fisioterapia, sobretudo em casos de LER e DORT. Sobre uma dessas siglas, constata-se:
Provas
A síndrome de compressão é causada por compressão prolongada de estruturas da articulação do ombro, gerando inflamação ou degeneração da região. Nesse caso, verifica-se que
Provas
As órteses usualmente utilizadas por pessoas com paralisia de membro inferior, proveniente de lesões de coluna lombar ou decorrente de doenças como poliomelite, são as do tipo
Provas
Caderno Container