Foram encontradas 400 questões.
Provas
Provas
Provas
Uma mulher de 62 anos em tratamento de diabetes tipo 2 e hipertensão arterial, com acompanhamento ambulatorial por presença de insuficiência renal não dialítica, após 3 dias de diarreia intensa é levada ao pronto-socorro por torpor na última hora. Deu entrada desacordada, sem pulso palpável, PA audível e o monitor mostrando:

Inicialmente, recebe ventilação adequada e reposição de volume com cristaloide.
A conduta imediata recomendada a seguir é
Provas
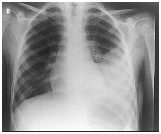
Um homem de 37 anos é internado com febre, calafrios, tosse produtiva e falta de ar de início há 1 dia. Está hemodinamicamente estável, saturando 94% com cateter nasal de oxigênio 2 L/min.
A sua radiografia de tórax mostra:

O tratamento é iniciado com ceftriaxona e claritromicina. Após 24 horas, são identificadas duas hemoculturas positivas para Streptococcus pyogenes. Nesse caso, o tratamento de escolha é
Provas
Provas
Três pacientes com doenças endocrinológicas e manifestações gastrointestinais apresentam:
Paciente I. Náuseas, vômitos, anorexia e diarreia.
Paciente II. Aparecimento progressivo de pólipos colônicos.
Paciente III. Obstipação, dor abdominal e pancreatite aguda.
Hiperparatireoidismo, acromegalia e doença de Addison correspondem, respectivamente, aos pacientes
Provas
Considere quatro situações clínicas.
I. Hemorragia aguda severa.
II. Crise hemolítica.
III. Alcoolismo intenso.
IV. Intoxicação por anticonvulsivantes.
Reação leucoeritroblástica será encontrada com maior probabilidade em
Provas
Provas
Provas
Caderno Container