Magna Concursos

Foram encontradas 675 questões.

2671033 Ano: 2022
Disciplina: Medicina
Banca: FGV
Orgão: TRT-13
Na avaliação de um indivíduo com um quadro compatível com anemia hemolítica autoimune, assinale a opção que indica o achado laboratorial que corrobora a presença de hemólise.
 

Provas

Questão presente nas seguintes provas
2671032 Ano: 2022
Disciplina: Medicina
Banca: FGV
Orgão: TRT-13
Nos portadores de anemia hemolítica a suplementação com ácido fólico é recomendada pelo aumento da eritropoiese. O ácido fólico é uma das vitaminas do complexo B.
Ele representa a
 

Provas

Questão presente nas seguintes provas
2671031 Ano: 2022
Disciplina: Medicina
Banca: FGV
Orgão: TRT-13
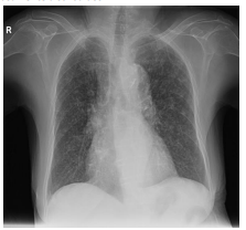
Uma mulher de 40 anos, com sintomas respiratórios e emagrrecimento apresenta alterações em radiografia de tórax,em posição póstero-anterior, compatíveis com padrão miliar (imagem). Em relação a este padrão, considere os itens a seguir.
I. Representam tênues opacidades nodulares agrupadas, de difícil visualização, localizadas nas regiões apicais e axilares
II. Representam opacidade lobar associada a linhas que convergem para o hilo (convergência hilar)
III. Representam micronódulos entre 2 e 3mm de diâmetro difusamente distribuídos

Enunciado 3565667-1


"https://radiopaedia.org/?lang=us">Radiopaedia.org. From the case <ahttps://radiopaedia.org/cases/31375?lang=us">rID: 31375</a>

Está correto o que se afirma em
 

Provas

Questão presente nas seguintes provas
2671030 Ano: 2022
Disciplina: Medicina
Banca: FGV
Orgão: TRT-13
Uma magistrada de 45 anos apresenta pirose e regurgitação, há pelo menos quatro meses. Ela apresenta estes sintomas três vezes por semana. Nas últimas quatro semanas ela observou perda de peso e do apetite. Ontem ela apresentou um episódio de náuseas e vômitos, isolados. Os sintomas já não respondem ao uso de medicamentos antissecretores e as medidas comportamentais. Antecedentes mórbidos: hipertensão arterial e diabetes mellitus.
Destacamos no caso os seguintes sinais e sintomas de alarme
 

Provas

Questão presente nas seguintes provas
2671029 Ano: 2022
Disciplina: Medicina
Banca: FGV
Orgão: TRT-13
Um servidor de 50 anos apresenta há 2 semanas sintomas dispépticos. História patológica pregressa e familiar: sem particularidades. Ele desconhece alergia a medicamentos. Nesta manhã, ele foi submetido a uma endoscopia digestiva alta: lesão ulcerada gástrica, sem estigmas de sangramento recente. O teste de urease revelou-se positivo. A análise histopatológica está em curso.
A conduta inicial mais adequada, seguindo as recomendações do IV Consenso Brasileiro sobre a infecção por Helicobacter pylori (HP) é
 

Provas

Questão presente nas seguintes provas
2671028 Ano: 2022
Disciplina: Medicina
Banca: FGV
Orgão: TRT-13
Campina Grande polo industrial e tecnológico do estado da Paraíba, notável por seu centro universitário, apresenta uma população adulta com altas taxas de infecção pelo Helicobacter pylori (HP).
[Helicobacter pylori em indivíduos procedentes de Campina Grande ... (Tese de Doutorado: Basilio, ILD - 2017)].
No Brasil, os principais fatores de risco para aquisição do HP são
 

Provas

Questão presente nas seguintes provas
2671027 Ano: 2022
Disciplina: Medicina
Banca: FGV
Orgão: TRT-13
Inflamação e corrimento uretral caracterizam clinicamente as uretrites. Os agentes microbianos envolvidos podem ser transmitidos por relação sexual vaginal, anal e oral.
Os germes mais frequentemente envolvidos são
 

Provas

Questão presente nas seguintes provas
2671026 Ano: 2022
Disciplina: Medicina
Banca: FGV
Orgão: TRT-13
Em relação ao antígeno prostático específico (PSA), assinale a afirmativa correta.
 

Provas

Questão presente nas seguintes provas
2671025 Ano: 2022
Disciplina: Medicina
Banca: FGV
Orgão: TRT-13
O Instituto Nacional de Câncer (Inca), em sua estimativa ano 2020, aponta que na Paraíba, o câncer de próstata é o que mais incide na população masculina.
A neoplasia de próstata tem como fator de risco mais bem estabelecido:
 

Provas

Questão presente nas seguintes provas
2671024 Ano: 2022
Disciplina: Medicina
Banca: FGV
Orgão: TRT-13
De acordo com a Diretriz Oficial da Sociedade Brasileiras de Diabetes/2022, em um paciente adulto, recém diagnosticado com diabetes mellitus tipo 2 (DM2) o primeiro rastreamento da doença renal do diabetes é recomendado
 

Provas

Questão presente nas seguintes provas