Foram encontradas 1.104 questões.
Um paciente com 60 anos de idade, aposentado, retornou
a um consultório médico para mostrar exames previamente
solicitados. A revisão de sua ficha médica informa que se trata de
pessoa sedentária, apresentando sobrepeso, sem história de
transfusão sanguínea, hepatite, uso de álcool, cigarro, drogas ilícitas
ou medicamentos de uso contínuo. A análise dos exames mostrou
taxa de TGO de 160 UI/L (normal até 40 UI/L) e de TGP de 70
UI/L (normal até 40 UI/L). Gama GT e fosfatase alcalina estavam
normais.
Com relação ao caso clínico apresentado acima e às providências
a serem tomadas, julgue os itens que se subseguem.
O valor das transaminases encontrado é coerente com a afirmativa do paciente de que não faz uso de bebida alcoólica.a um consultório médico para mostrar exames previamente
solicitados. A revisão de sua ficha médica informa que se trata de
pessoa sedentária, apresentando sobrepeso, sem história de
transfusão sanguínea, hepatite, uso de álcool, cigarro, drogas ilícitas
ou medicamentos de uso contínuo. A análise dos exames mostrou
taxa de TGO de 160 UI/L (normal até 40 UI/L) e de TGP de 70
UI/L (normal até 40 UI/L). Gama GT e fosfatase alcalina estavam
normais.
Com relação ao caso clínico apresentado acima e às providências
a serem tomadas, julgue os itens que se subseguem.
Provas
Questão presente nas seguintes provas
O Dr. João, médico contratado por uma empresa
administradora de um plano de saúde privado, realizou uma
auditoria sobre as circunstâncias que levaram o Sr. Armando a
permanecer por mais de dez dias em uma enfermaria de clínica
médica. Tratava-se de internação hospitalar motivada por quadro
clínico constituído por pneumonia associada a derrame pleural.
Durante a entrevista com o paciente e seus familiares, o Dr. João
manifestou claramente sua discordância acerca do emprego dos
antimicrobianos prescritos, disse-se contrário à realização de uma
toracocentese indicada pela equipe assistente e, por considerar que
o paciente corria risco de morte, solicitou a imediata remoção deste
para uma rede hospitalar pertencente ao plano de saúde para o qual
presta serviço, fornecendo laudo médico circunstanciado sobre
dados clínicos para possibilitar a continuidade do tratamento. Na
oportunidade, ele disse não ser necessário contato com a equipe de
médicos que assistiam ao Sr. Armando, uma vez que, na condição
de contratado pelo plano de saúde, tinha plena autoridade para fazer
o que julgasse ser melhor para o paciente. Para provar o acerto de
sua decisão, permitiu aos familiares o manuseio e a obtenção de
cópia do prontuário do Sr. Armando. Por fim, informou que a
transferência deveria ser feita com o prontuário, pois esse
documento pertencia ao paciente.
Considerando a situação hipotética apresentada acima, julgue os
itens a seguir com base no Código de Ética Médica de 2009.
O Dr. João, como auditor médico, tinha o dever ético de não permitir aos familiares do Sr. Armando o manuseio e a obtenção de cópia do prontuário deste.administradora de um plano de saúde privado, realizou uma
auditoria sobre as circunstâncias que levaram o Sr. Armando a
permanecer por mais de dez dias em uma enfermaria de clínica
médica. Tratava-se de internação hospitalar motivada por quadro
clínico constituído por pneumonia associada a derrame pleural.
Durante a entrevista com o paciente e seus familiares, o Dr. João
manifestou claramente sua discordância acerca do emprego dos
antimicrobianos prescritos, disse-se contrário à realização de uma
toracocentese indicada pela equipe assistente e, por considerar que
o paciente corria risco de morte, solicitou a imediata remoção deste
para uma rede hospitalar pertencente ao plano de saúde para o qual
presta serviço, fornecendo laudo médico circunstanciado sobre
dados clínicos para possibilitar a continuidade do tratamento. Na
oportunidade, ele disse não ser necessário contato com a equipe de
médicos que assistiam ao Sr. Armando, uma vez que, na condição
de contratado pelo plano de saúde, tinha plena autoridade para fazer
o que julgasse ser melhor para o paciente. Para provar o acerto de
sua decisão, permitiu aos familiares o manuseio e a obtenção de
cópia do prontuário do Sr. Armando. Por fim, informou que a
transferência deveria ser feita com o prontuário, pois esse
documento pertencia ao paciente.
Considerando a situação hipotética apresentada acima, julgue os
itens a seguir com base no Código de Ética Médica de 2009.
Provas
Questão presente nas seguintes provas
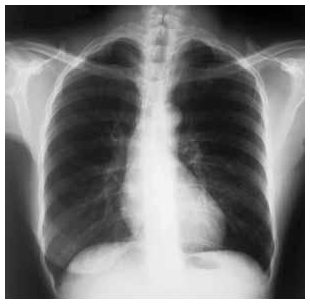
Caso clínico para os itens de 50 a 60
Uma mulher com 68 anos de idade foi atendida no ambulatório de um posto de saúde, com relato de tosse produtiva com
expectoração mucoide, que vem ocorrendo há mais de três anos. Informou ser tabagista (45 maços/ano) e que, nos últimos seis meses,
passou a ter dispneia progressiva aos esforços físicos. O exame físico mostrou: paciente dispneica leve, acianótica, pressão arterial de
120 mmHg × 80 mmHg, frequência cardíaca de 80 bpm, frequência respiratória de 22 irpm, com ritmo cardíaco regular em 2 tempos,
bulhas cardíacas hipofonéticas e ausência de sopros à ausculta cardíaca, diâmetro anteroposterior da caixa torácica aumentado, presença
de hipersonoridade à percussão do tórax e murmúrio vesicular reduzido de forma difusa, com roncos esparsos à ausculta pulmonar; o
restante do exame não apresentou anormalidades. Abaixo é reproduzida a radiografia do tórax em projeção posteroanterior realizada para
essa paciente.

Tendo por base as informações clínicas e a radiografia de tórax apresentadas, julgue os itens a seguir.
Nessa paciente, a hipofonese de bulhas cardíacas à ausculta cardíaca e a hipersonoridade à percussão do tórax compartilham a mesma base fisiopatológica.Uma mulher com 68 anos de idade foi atendida no ambulatório de um posto de saúde, com relato de tosse produtiva com
expectoração mucoide, que vem ocorrendo há mais de três anos. Informou ser tabagista (45 maços/ano) e que, nos últimos seis meses,
passou a ter dispneia progressiva aos esforços físicos. O exame físico mostrou: paciente dispneica leve, acianótica, pressão arterial de
120 mmHg × 80 mmHg, frequência cardíaca de 80 bpm, frequência respiratória de 22 irpm, com ritmo cardíaco regular em 2 tempos,
bulhas cardíacas hipofonéticas e ausência de sopros à ausculta cardíaca, diâmetro anteroposterior da caixa torácica aumentado, presença
de hipersonoridade à percussão do tórax e murmúrio vesicular reduzido de forma difusa, com roncos esparsos à ausculta pulmonar; o
restante do exame não apresentou anormalidades. Abaixo é reproduzida a radiografia do tórax em projeção posteroanterior realizada para
essa paciente.

Tendo por base as informações clínicas e a radiografia de tórax apresentadas, julgue os itens a seguir.
Provas
Questão presente nas seguintes provas
Caso clínico para os itens de 50 a 60
Uma mulher com 68 anos de idade foi atendida no ambulatório de um posto de saúde, com relato de tosse produtiva com
expectoração mucoide, que vem ocorrendo há mais de três anos. Informou ser tabagista (45 maços/ano) e que, nos últimos seis meses,
passou a ter dispneia progressiva aos esforços físicos. O exame físico mostrou: paciente dispneica leve, acianótica, pressão arterial de
120 mmHg × 80 mmHg, frequência cardíaca de 80 bpm, frequência respiratória de 22 irpm, com ritmo cardíaco regular em 2 tempos,
bulhas cardíacas hipofonéticas e ausência de sopros à ausculta cardíaca, diâmetro anteroposterior da caixa torácica aumentado, presença
de hipersonoridade à percussão do tórax e murmúrio vesicular reduzido de forma difusa, com roncos esparsos à ausculta pulmonar; o
restante do exame não apresentou anormalidades. Abaixo é reproduzida a radiografia do tórax em projeção posteroanterior realizada para
essa paciente.

Tendo por base as informações clínicas e a radiografia de tórax apresentadas, julgue os itens a seguir.
Nesse caso, o processo inflamatório da árvore brônquica está associado a linfócitos T do tipo CD4+ , a eosinófilos e ao aumento de interleucinas 4 e 5.Uma mulher com 68 anos de idade foi atendida no ambulatório de um posto de saúde, com relato de tosse produtiva com
expectoração mucoide, que vem ocorrendo há mais de três anos. Informou ser tabagista (45 maços/ano) e que, nos últimos seis meses,
passou a ter dispneia progressiva aos esforços físicos. O exame físico mostrou: paciente dispneica leve, acianótica, pressão arterial de
120 mmHg × 80 mmHg, frequência cardíaca de 80 bpm, frequência respiratória de 22 irpm, com ritmo cardíaco regular em 2 tempos,
bulhas cardíacas hipofonéticas e ausência de sopros à ausculta cardíaca, diâmetro anteroposterior da caixa torácica aumentado, presença
de hipersonoridade à percussão do tórax e murmúrio vesicular reduzido de forma difusa, com roncos esparsos à ausculta pulmonar; o
restante do exame não apresentou anormalidades. Abaixo é reproduzida a radiografia do tórax em projeção posteroanterior realizada para
essa paciente.

Tendo por base as informações clínicas e a radiografia de tórax apresentadas, julgue os itens a seguir.
Provas
Questão presente nas seguintes provas
Um homem com 35 anos de idade, autônomo, apresenta
cefaleia há dez anos. O sintoma tem as características de ser pulsátil
e unilateral, durar o dia inteiro e melhorar com o repouso e o
afastamento das atividades diárias. Os episódios tiveram início na
frequência de duas vezes ao mês, tendo-se tornado mais constantes
há um ano. No último mês, o quadro clínico passou a ser diário e a
só melhorar com o emprego de analgésicos.
Acerca desse caso clínico, julgue os itens que se seguem.
O uso de betabloqueador deve ser evitado nesse caso, devido ao fato de não possuir a atividade simpaticomimética necessária para o controle da dor.cefaleia há dez anos. O sintoma tem as características de ser pulsátil
e unilateral, durar o dia inteiro e melhorar com o repouso e o
afastamento das atividades diárias. Os episódios tiveram início na
frequência de duas vezes ao mês, tendo-se tornado mais constantes
há um ano. No último mês, o quadro clínico passou a ser diário e a
só melhorar com o emprego de analgésicos.
Acerca desse caso clínico, julgue os itens que se seguem.
Provas
Questão presente nas seguintes provas
O Dr. João, médico contratado por uma empresa
administradora de um plano de saúde privado, realizou uma
auditoria sobre as circunstâncias que levaram o Sr. Armando a
permanecer por mais de dez dias em uma enfermaria de clínica
médica. Tratava-se de internação hospitalar motivada por quadro
clínico constituído por pneumonia associada a derrame pleural.
Durante a entrevista com o paciente e seus familiares, o Dr. João
manifestou claramente sua discordância acerca do emprego dos
antimicrobianos prescritos, disse-se contrário à realização de uma
toracocentese indicada pela equipe assistente e, por considerar que
o paciente corria risco de morte, solicitou a imediata remoção deste
para uma rede hospitalar pertencente ao plano de saúde para o qual
presta serviço, fornecendo laudo médico circunstanciado sobre
dados clínicos para possibilitar a continuidade do tratamento. Na
oportunidade, ele disse não ser necessário contato com a equipe de
médicos que assistiam ao Sr. Armando, uma vez que, na condição
de contratado pelo plano de saúde, tinha plena autoridade para fazer
o que julgasse ser melhor para o paciente. Para provar o acerto de
sua decisão, permitiu aos familiares o manuseio e a obtenção de
cópia do prontuário do Sr. Armando. Por fim, informou que a
transferência deveria ser feita com o prontuário, pois esse
documento pertencia ao paciente.
Considerando a situação hipotética apresentada acima, julgue os
itens a seguir com base no Código de Ética Médica de 2009.
Na situação descrita, o Dr. João agiu de modo acertado ao decidir-se pela remoção do Sr. Armando acompanhado de seu prontuário, pois é direito do paciente solicitar a guarda de seu prontuário, uma vez que se trata de documento que versa sobre sua vida e, portanto, lhe pertence.administradora de um plano de saúde privado, realizou uma
auditoria sobre as circunstâncias que levaram o Sr. Armando a
permanecer por mais de dez dias em uma enfermaria de clínica
médica. Tratava-se de internação hospitalar motivada por quadro
clínico constituído por pneumonia associada a derrame pleural.
Durante a entrevista com o paciente e seus familiares, o Dr. João
manifestou claramente sua discordância acerca do emprego dos
antimicrobianos prescritos, disse-se contrário à realização de uma
toracocentese indicada pela equipe assistente e, por considerar que
o paciente corria risco de morte, solicitou a imediata remoção deste
para uma rede hospitalar pertencente ao plano de saúde para o qual
presta serviço, fornecendo laudo médico circunstanciado sobre
dados clínicos para possibilitar a continuidade do tratamento. Na
oportunidade, ele disse não ser necessário contato com a equipe de
médicos que assistiam ao Sr. Armando, uma vez que, na condição
de contratado pelo plano de saúde, tinha plena autoridade para fazer
o que julgasse ser melhor para o paciente. Para provar o acerto de
sua decisão, permitiu aos familiares o manuseio e a obtenção de
cópia do prontuário do Sr. Armando. Por fim, informou que a
transferência deveria ser feita com o prontuário, pois esse
documento pertencia ao paciente.
Considerando a situação hipotética apresentada acima, julgue os
itens a seguir com base no Código de Ética Médica de 2009.
Provas
Questão presente nas seguintes provas
O Dr. João, médico contratado por uma empresa
administradora de um plano de saúde privado, realizou uma
auditoria sobre as circunstâncias que levaram o Sr. Armando a
permanecer por mais de dez dias em uma enfermaria de clínica
médica. Tratava-se de internação hospitalar motivada por quadro
clínico constituído por pneumonia associada a derrame pleural.
Durante a entrevista com o paciente e seus familiares, o Dr. João
manifestou claramente sua discordância acerca do emprego dos
antimicrobianos prescritos, disse-se contrário à realização de uma
toracocentese indicada pela equipe assistente e, por considerar que
o paciente corria risco de morte, solicitou a imediata remoção deste
para uma rede hospitalar pertencente ao plano de saúde para o qual
presta serviço, fornecendo laudo médico circunstanciado sobre
dados clínicos para possibilitar a continuidade do tratamento. Na
oportunidade, ele disse não ser necessário contato com a equipe de
médicos que assistiam ao Sr. Armando, uma vez que, na condição
de contratado pelo plano de saúde, tinha plena autoridade para fazer
o que julgasse ser melhor para o paciente. Para provar o acerto de
sua decisão, permitiu aos familiares o manuseio e a obtenção de
cópia do prontuário do Sr. Armando. Por fim, informou que a
transferência deveria ser feita com o prontuário, pois esse
documento pertencia ao paciente.
Considerando a situação hipotética apresentada acima, julgue os
itens a seguir com base no Código de Ética Médica de 2009.
O médico assistente deve fornecer laudo médico pormenorizado caso o paciente seja transferido para continuação de tratamento em outra unidade hospitalar.administradora de um plano de saúde privado, realizou uma
auditoria sobre as circunstâncias que levaram o Sr. Armando a
permanecer por mais de dez dias em uma enfermaria de clínica
médica. Tratava-se de internação hospitalar motivada por quadro
clínico constituído por pneumonia associada a derrame pleural.
Durante a entrevista com o paciente e seus familiares, o Dr. João
manifestou claramente sua discordância acerca do emprego dos
antimicrobianos prescritos, disse-se contrário à realização de uma
toracocentese indicada pela equipe assistente e, por considerar que
o paciente corria risco de morte, solicitou a imediata remoção deste
para uma rede hospitalar pertencente ao plano de saúde para o qual
presta serviço, fornecendo laudo médico circunstanciado sobre
dados clínicos para possibilitar a continuidade do tratamento. Na
oportunidade, ele disse não ser necessário contato com a equipe de
médicos que assistiam ao Sr. Armando, uma vez que, na condição
de contratado pelo plano de saúde, tinha plena autoridade para fazer
o que julgasse ser melhor para o paciente. Para provar o acerto de
sua decisão, permitiu aos familiares o manuseio e a obtenção de
cópia do prontuário do Sr. Armando. Por fim, informou que a
transferência deveria ser feita com o prontuário, pois esse
documento pertencia ao paciente.
Considerando a situação hipotética apresentada acima, julgue os
itens a seguir com base no Código de Ética Médica de 2009.
Provas
Questão presente nas seguintes provas
Uma mulher com 68 anos de idade foi atendida no ambulatório de um posto de saúde, com relato de tosse produtiva com
expectoração mucoide, que vem ocorrendo há mais de três anos. Informou ser tabagista (45 maços/ano) e que, nos últimos seis meses,
passou a ter dispneia progressiva aos esforços físicos. O exame físico mostrou: paciente dispneica leve, acianótica, pressão arterial de
120 mmHg × 80 mmHg, frequência cardíaca de 80 bpm, frequência respiratória de 22 irpm, com ritmo cardíaco regular em 2 tempos,
bulhas cardíacas hipofonéticas e ausência de sopros à ausculta cardíaca, diâmetro anteroposterior da caixa torácica aumentado, presença
de hipersonoridade à percussão do tórax e murmúrio vesicular reduzido de forma difusa, com roncos esparsos à ausculta pulmonar; o
restante do exame não apresentou anormalidades. Abaixo é reproduzida a radiografia do tórax em projeção posteroanterior realizada para
essa paciente.

Em adição ao quadro clínico em apreço, considere que a paciente tenha procurado um pronto-socorro, duas semanas após o
primeiro atendimento, com queixas de palpitações taquicárdicas, sem sensação de escurecimento visual ou perda de consciência associadas,
e que o exame físico do atendimento atual tenha mostrado: paciente dispneica moderada, com acrocianose leve, pressão arterial de
118 mmHg × 78 mmHg, frequência cardíaca de 110 bpm, frequência respiratória de 23 irpm, com ritmo cardíaco irregular em 2 tempos,
bulhas cardíacas hipofonéticas e ausência de sopros à ausculta cardíaca; sem outras alterações em relação ao exame físico anterior.
Considere, ainda, que a paciente tenha sido submetida à monitorização eletrocardiográfica, cuja tira de eletrocardiograma (ECG) está
mostrada a seguir, na qual podem ser vistas as derivações MC1 (traçado superior), MC2 (traçado intermediário) e D2 modificada (traçado
inferior) — registros feitos com velocidade do papel = 25 mm/s e calibração de 1 cm = 1 mV.

Com base nessa nova condição clínica, julgue os itens seguintes.
O traçado eletrocardiográfico permite o diagnóstico de fibrilação atrial.expectoração mucoide, que vem ocorrendo há mais de três anos. Informou ser tabagista (45 maços/ano) e que, nos últimos seis meses,
passou a ter dispneia progressiva aos esforços físicos. O exame físico mostrou: paciente dispneica leve, acianótica, pressão arterial de
120 mmHg × 80 mmHg, frequência cardíaca de 80 bpm, frequência respiratória de 22 irpm, com ritmo cardíaco regular em 2 tempos,
bulhas cardíacas hipofonéticas e ausência de sopros à ausculta cardíaca, diâmetro anteroposterior da caixa torácica aumentado, presença
de hipersonoridade à percussão do tórax e murmúrio vesicular reduzido de forma difusa, com roncos esparsos à ausculta pulmonar; o
restante do exame não apresentou anormalidades. Abaixo é reproduzida a radiografia do tórax em projeção posteroanterior realizada para
essa paciente.

Em adição ao quadro clínico em apreço, considere que a paciente tenha procurado um pronto-socorro, duas semanas após o
primeiro atendimento, com queixas de palpitações taquicárdicas, sem sensação de escurecimento visual ou perda de consciência associadas,
e que o exame físico do atendimento atual tenha mostrado: paciente dispneica moderada, com acrocianose leve, pressão arterial de
118 mmHg × 78 mmHg, frequência cardíaca de 110 bpm, frequência respiratória de 23 irpm, com ritmo cardíaco irregular em 2 tempos,
bulhas cardíacas hipofonéticas e ausência de sopros à ausculta cardíaca; sem outras alterações em relação ao exame físico anterior.
Considere, ainda, que a paciente tenha sido submetida à monitorização eletrocardiográfica, cuja tira de eletrocardiograma (ECG) está
mostrada a seguir, na qual podem ser vistas as derivações MC1 (traçado superior), MC2 (traçado intermediário) e D2 modificada (traçado
inferior) — registros feitos com velocidade do papel = 25 mm/s e calibração de 1 cm = 1 mV.

Com base nessa nova condição clínica, julgue os itens seguintes.
Provas
Questão presente nas seguintes provas
As doenças reumáticas caracterizam-se como um grupo de afecções
e alterações funcionais do sistema musculoesquelético de causa não
traumática. Acerca dessas doenças, julgue os itens subsequentes.
Os nódulos reumatoides apresentam tamanhos variados, localizam-se no tecido subcutâneo — onde estão fortemente aderidos ao osso adjacente — , são geralmente muito dolorosos à palpação e não se correlacionam com a positividade do fator reumatoide sérico em pacientes com artrite reumatoide.e alterações funcionais do sistema musculoesquelético de causa não
traumática. Acerca dessas doenças, julgue os itens subsequentes.
Provas
Questão presente nas seguintes provas
Caso clínico para os itens de 50 a 60
Uma mulher com 68 anos de idade foi atendida no ambulatório de um posto de saúde, com relato de tosse produtiva com
expectoração mucoide, que vem ocorrendo há mais de três anos. Informou ser tabagista (45 maços/ano) e que, nos últimos seis meses,
passou a ter dispneia progressiva aos esforços físicos. O exame físico mostrou: paciente dispneica leve, acianótica, pressão arterial de
120 mmHg × 80 mmHg, frequência cardíaca de 80 bpm, frequência respiratória de 22 irpm, com ritmo cardíaco regular em 2 tempos,
bulhas cardíacas hipofonéticas e ausência de sopros à ausculta cardíaca, diâmetro anteroposterior da caixa torácica aumentado, presença
de hipersonoridade à percussão do tórax e murmúrio vesicular reduzido de forma difusa, com roncos esparsos à ausculta pulmonar; o
restante do exame não apresentou anormalidades. Abaixo é reproduzida a radiografia do tórax em projeção posteroanterior realizada para
essa paciente.

Tendo por base as informações clínicas e a radiografia de tórax apresentadas, julgue os itens a seguir.
Os achados clínicos apresentados pela paciente em tela, em associação com a radiografia de tórax mostrada, são suficientes para confirmação da principal hipótese diagnóstica.Uma mulher com 68 anos de idade foi atendida no ambulatório de um posto de saúde, com relato de tosse produtiva com
expectoração mucoide, que vem ocorrendo há mais de três anos. Informou ser tabagista (45 maços/ano) e que, nos últimos seis meses,
passou a ter dispneia progressiva aos esforços físicos. O exame físico mostrou: paciente dispneica leve, acianótica, pressão arterial de
120 mmHg × 80 mmHg, frequência cardíaca de 80 bpm, frequência respiratória de 22 irpm, com ritmo cardíaco regular em 2 tempos,
bulhas cardíacas hipofonéticas e ausência de sopros à ausculta cardíaca, diâmetro anteroposterior da caixa torácica aumentado, presença
de hipersonoridade à percussão do tórax e murmúrio vesicular reduzido de forma difusa, com roncos esparsos à ausculta pulmonar; o
restante do exame não apresentou anormalidades. Abaixo é reproduzida a radiografia do tórax em projeção posteroanterior realizada para
essa paciente.

Tendo por base as informações clínicas e a radiografia de tórax apresentadas, julgue os itens a seguir.
Provas
Questão presente nas seguintes provas
Cadernos
Caderno Container