Magna Concursos

Foram encontradas 90 questões.

934250 Ano: 2013
Disciplina: Medicina
Banca: VUNESP
Orgão: TJ-SP
enunciado 934250-1
Assinale a alternativa que contém os exames que certamente acrescentarão informações decisivas para o correto diagnóstico da anemia dessa paciente.
 

Provas

Questão presente nas seguintes provas
934249 Ano: 2013
Disciplina: Medicina
Banca: VUNESP
Orgão: TJ-SP
enunciado 934249-1
O tratamento empírico direcionado à etiologia do quadro descrito deverá ser iniciado com
 

Provas

Questão presente nas seguintes provas
934248 Ano: 2013
Disciplina: Medicina
Banca: VUNESP
Orgão: TJ-SP
enunciado 934248-1
A etiologia do quadro clínico atual desse paciente é
 

Provas

Questão presente nas seguintes provas
934247 Ano: 2013
Disciplina: Medicina
Banca: VUNESP
Orgão: TJ-SP
enunciado 934247-1
A terapêutica inicial, além da hidratação, e antes de qualquer outra medida, visando à proteção miocárdica, deverá, obrigatoriamente, incluir
 

Provas

Questão presente nas seguintes provas
934246 Ano: 2013
Disciplina: Medicina
Banca: VUNESP
Orgão: TJ-SP
enunciado 934246-1
A avaliação laboratorial desse paciente, provavelmente, mostrará (FeNa = fração de excreção do sódio):
 

Provas

Questão presente nas seguintes provas
934245 Ano: 2013
Disciplina: Medicina
Banca: VUNESP
Orgão: TJ-SP
enunciado 934245-1
O tratamento ideal se dará com
 

Provas

Questão presente nas seguintes provas
934244 Ano: 2013
Disciplina: Medicina
Banca: VUNESP
Orgão: TJ-SP
enunciado 934244-1
O diagnóstico definitivo se dará por meio de
 

Provas

Questão presente nas seguintes provas
934243 Ano: 2013
Disciplina: Medicina
Banca: VUNESP
Orgão: TJ-SP
Paciente do sexo feminino, 68 anos, obesa, tabagista, refere queixa de pirose retroesternal, principalmente associada ao decúbito após alimentações. Além disso, relata quadro de tosse seca, muitas vezes também associada ao decúbito dorsal. Nega sudorese, náuseas ou outros sintomas associados ao quadro clínico atual. Nega perda ponderal ou alteração do hábito intestinal. Solicitada endoscopia digestiva e a porção distal do esôfago encontra-se ilustrada a seguir.

enunciado 934243-1

É correto afirmar, em relação ao caso clínico exposto, que
 

Provas

Questão presente nas seguintes provas
934242 Ano: 2013
Disciplina: Medicina
Banca: VUNESP
Orgão: TJ-SP
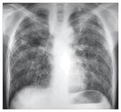
Paciente do sexo masculino, 34 anos, procedente do Ceará, refere dispneia que se intensificou há dois anos. Refere que há 20 anos trabalha no interior do Ceará cavando cacimbas (poço de água potável). Realizado exame radiológico (ilustrado a seguir), que evidenciou infiltrado reticulonodular e pequenos nódulos difusos que poupam os seios costofrênicos.

enunciado 934242-1

A hipótese diagnóstica mais provável é a
 

Provas

Questão presente nas seguintes provas
934241 Ano: 2013
Disciplina: Medicina
Banca: VUNESP
Orgão: TJ-SP
enunciado 934241-1
O achado eletrocardiográfico mais frequente na principal hipótese diagnóstica no caso em questão é
 

Provas

Questão presente nas seguintes provas