Magna Concursos

Foram encontradas 1.318 questões.

606277 Ano: 2015
Disciplina: Medicina
Banca: CESPE / CEBRASPE
Orgão: STJ

Enunciado 606277-1

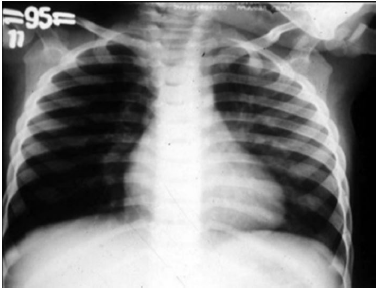
Um lactente de quatro meses de idade cronológica, nascido prematuro de vinte e nove semanas gestacionais, apresentou, durante o inverno, febre, tosse e dificuldade respiratória nos últimos três dias antes de ser levado por sua mãe à emergência pediátrica. A mãe relatou que a criança nunca havia apresentado um episódio semelhante a esse. O calendário vacinal mostrou que a criança recebeu duas doses da vacina antipneumocócica decavalente, porém não recebeu palivizumabe. O exame físico da criança mostrou desidratação, taquipnéia, retração intercostal e sibilos inspiratórios e expiratórios. O resultado do hemograma solicitado pelo médico revelou hematócrito de 40%, concentração de hemoglobina de 13 g/dL, 9.000 leucócitos/mm3, 55% de linfócitos, 34% de neutrófilos, 2% de eosinófilos, 1% de basófilos, 8% de monócitos, 340.000 plaquetas/mm3. O médico solicitou radiografia de tórax da criança, cuja imagem é apresentada na figura.

Com relação a esse caso clínico, julgue o item subsequente.

Nesse caso, a pneumonia bacteriana não configura um diagnóstico diferencial, pois se trata do primeiro episódio de dificuldade respiratória com broncoespasmo. Além disso, a radiografia do tórax não mostra áreas de atelectasia ou condensação.
 

Provas

Questão presente nas seguintes provas
606276 Ano: 2015
Disciplina: Medicina
Banca: CESPE / CEBRASPE
Orgão: STJ
Julgue o seguinte item, relativo ao uso de antibióticos na infância.
A amoxicilina, antibiótico de espectro de ação microbiológico administrado contra S. pneumoniae por via oral, apresenta biodisponibilidade de, aproximadamente, 50%; excreção predominantemente hepática; e boa penetração em meninges inflamadas.
 

Provas

Questão presente nas seguintes provas
606275 Ano: 2015
Disciplina: Medicina
Banca: CESPE / CEBRASPE
Orgão: STJ
Uma criança de quatro anos de idade, residente na zona periurbana de uma cidade com graves problemas de saneamento básico, deu entrada na emergência de um pronto-socorro. Durante o atendimento, a mãe relatou que a filha vinha apresentando, havia um mês, febre intermitente, e que, nesse período, a menina havia emagrecido e estava apática. No exame físico, o médico observou que a criança estava desnutrida e apresentava anemia, sopro cardíaco e hepatoesplenomegalia.

Considerando esse caso clínico, julgue os itens a seguir.


No caso em consideração, diagnósticos diferenciais que devem ser investigados são esquistossomose, endocardite bacteriana e doença linfoproliferativa.
 

Provas

Questão presente nas seguintes provas
606274 Ano: 2015
Disciplina: Medicina
Banca: CESPE / CEBRASPE
Orgão: STJ
Um recém-nascido, cuja mãe fazia uso apenas de polivitamínicos e sulfato ferroso, nasceu a termo após uma gestação sem intercorrências. O resultado do teste do pezinho, realizado no 4.º dia de vida, apresentou os seguintes resultados: TSH 15 μUI/mL; T4 livre 1,5 μg/dL; e fenilalanina 6 mg/dL.
Com referência a essa situação hipotética, julgue o item a seguir.
Nesse caso, é necessário avaliar o resultado de uma segunda coleta de sangue do paciente para a determinação de fenilalanina antes de se suspender o aleitamento materno e oferecer um leite sem o referido aminoácido.
 

Provas

Questão presente nas seguintes provas
606273 Ano: 2015
Disciplina: Medicina
Banca: CESPE / CEBRASPE
Orgão: STJ
Com relação aos marcos do desenvolvimento esperado para uma criança na faixa etária de dois meses de vida, julgue o item a seguir.
Com dois meses de idade, a criança deve conseguir fixar o olhar nas próprias mãos.
 

Provas

Questão presente nas seguintes provas
606272 Ano: 2015
Disciplina: Medicina
Banca: CESPE / CEBRASPE
Orgão: STJ
Um pré-escolar do sexo masculino com dois anos de idade apresentava febre, polaciúria e disúria havia três dias. Sua mãe relatou ser a primeira vez que ele apresentava quadro como esse. O exame físico, exceto pela febre, foi normal. O resultado do hemograma completo mostrou hematócrito de 40%, 8.500 leucócitos/mm3 , 45% de neutrófilos, 2% de bastonetes, 2% de eosinófilos, 1% de basófilos, 45% de linfócitos, 5% de monócitos. O exame de urina apresentou os seguintes resultados: três hemácias/campo, quinze piócitos/campo, uma célula epitelial/campo, ausência de proteínas e de glicose, nitrito positivo e ausência de cilindros.
No que diz respeito a esse caso clínico, julgue os itens seguintes.


Se, no terceiro dia após o atendimento dessa criança, o resultado da cultura de urina colhida de jato médio, após higienização correta, mostrar crescimento de 110.000 ufc/mL de uma única bactéria, então estará confirmado o diagnóstico de infecção do trato urinário, de modo que essa criança deverá ser submetida imediatamente ao exame de uretrocistografia miccional a fim de se verificar a presença de refluxo vesico-ureteral.
 

Provas

Questão presente nas seguintes provas
606271 Ano: 2015
Disciplina: Medicina
Banca: CESPE / CEBRASPE
Orgão: STJ
Com relação aos marcos do desenvolvimento esperado para uma criança na faixa etária de dois meses de vida, julgue o item a seguir.
Nessa idade, a criança deve conseguir juntar as mãos na linha média.
 

Provas

Questão presente nas seguintes provas
606270 Ano: 2015
Disciplina: Medicina
Banca: CESPE / CEBRASPE
Orgão: STJ
Com relação aos tumores primários do sistema nervoso central, que são a segunda neoplasia mais frequente na infância e na adolescência, julgue o item seguinte.
Na avaliação dos tumores cerebrais, a ressonância magnética deve ser a neuroimagem de escolha.
 

Provas

Questão presente nas seguintes provas
606269 Ano: 2015
Disciplina: Medicina
Banca: CESPE / CEBRASPE
Orgão: STJ
Uma menina de dez anos de idade foi levada pela mãe a uma emergência pediátrica com inchaço havia trinta dias. A mãe relatou que não percebeu mudanças na cor e no volume urinário, bem como não referiu infecção de pele ou de vias aéreas superiores nesse período de tempo. Ao exame físico, a criança apresentou pressão arterial de 110 mm Hg x 75 mm Hg (percentil 85 da curva pressão arterial por altura); frequência cardíaca de 85 bpm; frequência respiratória de 20 irpm; palidez 1+/4, adinâmica, ritmos cardíaco e respiratório regulares, sem maiores achados à ausculta cardíaca e respiratória, hepatomegalia e edema generalizado. Os exame de urina mostrou duas células epiteliais/campo, seis hemácias/campo, seis leucócitos/campo, ausência de glicose, ausência de bilirrubinas, proteínas +++, ausência de nitritos, cilindros hemáticos ausentes, cilindros leucocitários ausentes, cilindros epiteliais ausentes, cilindros gordurosos presentes. Além do exame de urina, o médico solicitou outros exames.

Com base nesse caso clínico, julgue os itens subsecutivos.


A etiologia desse caso é lesão glomerular mínima.
 

Provas

Questão presente nas seguintes provas
606268 Ano: 2015
Disciplina: Medicina
Banca: CESPE / CEBRASPE
Orgão: STJ
Com relação aos distúrbios cardiológicos em crianças, julgue o próximo item.
Situação hipotética: Um adolescente de doze anos de idade, com insuficiência mitral por doença reumática, apresentou-se na emergência de um hospital com febre havia quinze dias, mal-estar geral e anemia. O médico, após examiná-lo, suspeitou de endocardite bacteriana e solicitou um ecocardiograma, o qual mostrou vegetações em válvula mitral. Assertiva: Nessa situação clínica, deve-se iniciar o tratamento empírico com penicilina associada a um aminoglicosídeo.
 

Provas

Questão presente nas seguintes provas