Foram encontradas 20 questões.
Paciente do sexo masculino, com 62 anos de idade, sem comorbidades, apresenta exame digital da próstata normal e PSA: 6,0 ng/mL. Foi submetido, portanto, a biópsiatransretal da próstata, que evidenciou NlPde alto grau focal em apenas um fragmento da amostra. Sobre esse caso, é correto afirmar que a rebiópsia:
Provas
Com relação à vascularização do rim, sabe-se que a artéria renal:
Provas
Paciente do sexo masculino, com 65 anos de idade, é submetido a penectomia parcial devido a carcinoma de pênis. Durante a análise da peça cirúrgica, verifica-se invasão da uretra. Diante do exposto, pode-se afirmar que o estadiamento da doença é:
Provas
A condição que mais amiúde causa estenose do meato uretral é:
Provas
Paciente do sexo masculino, com 13 anos de idade, apresenta hematoma na bolsa testicular após trauma contuso no local. Foi realizada uitrassonografia que evidencia hematocele e solução de continuidade na túnica albugínea do lado direito. Testículo esquerdo sem anormalidades e fluxo vascular preservado bilateralmente. A melhor conduta a ser instituída, nesse caso, é:
Provas
Durante um procedimento de vasovasostomia, a vasoepididimostomia está indicada quando se verifica fluido proveniente do coto distai do dueto deferente com o seguinte aspecto:
Provas
Para a realização de uma nefrectomia videolaparoscópica transperitoneal, habitualmente são realizados, na seguinte ordem, os tempos cirúrgicos:
Provas
O tratamento de escolha para pacientes que apresentam angiomiolipoma renal com sangramento agudo é:
Provas
Para a realização de litotripsia endoscópica do sistema urinário, a fonte de energia utilizada que apresenta a vantagem de combinar a fragmentação do cálculo com a aspiração dos fragmentos é:
Provas
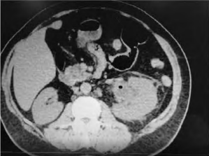
Paciente do sexo feminino, com 59 anos de idade, diabética e hipertensa, apresenta-se à emergência com dor lombar do lado esquerdo e febre, associadas a náuseas e vômitos. Foi realizada a tomografia de abdome e pelve, sem contraste, que é apresentada a seguir:

Fonte: Arquivo Pessoal.
O diagnóstico que se impõe nesse caso é:
Provas
Caderno Container