Foram encontradas 3.880 questões.
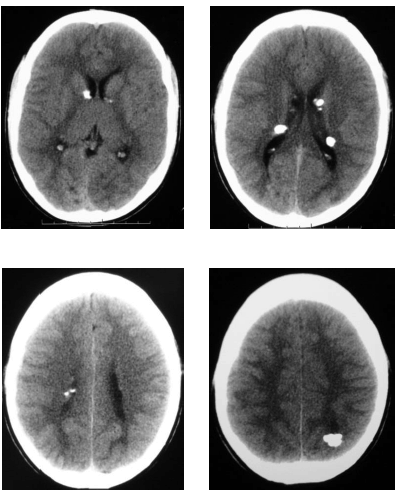
Paciente com 11 anos de idade, do sexo masculino, apresenta moderada deficiência intelectual e crises convulsivas, além de lesões cutâneas do tipo adenoma sebáceo, sem outras queixas ou outras patologias conhecidas. Realizou uma tomografia computadorizada cujas imagens são mostradas a seguir.

Em relação à patologia desse paciente, julgue o item a seguir.
O diagnóstico mais provável é da Síndrome de Sturge-Weber, sendo as calcificações subependimárias a sua manifestação de imagem mais típica na tomografia computadorizada.
Provas

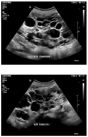
Paciente de 40 anos de idade, que não necessita de hemodiálise, apresenta as alterações identificadas nas imagens precedentes.
Com base nesse quadro clínico, julgue o item seguinte.
Os pacientes acometidos pela doença em questão apresentam maior risco de carcinoma de células renais, mesmo que não tenham a necessidade de realizar diálise.
Provas

Paciente de 40 anos de idade, que não necessita de hemodiálise, apresenta as alterações identificadas nas imagens precedentes.
Com base nesse quadro clínico, julgue o item seguinte.
Pacientes que apresentam as alterações mostradas nessas imagens raramente evoluem para quadros de insuficiência renal com necessidade de diálise, sendo essa doença responsável por menos de 1% dos pacientes dialíticos.
Provas

Paciente de 40 anos de idade, que não necessita de hemodiálise, apresenta as alterações identificadas nas imagens precedentes.
Com base nesse quadro clínico, julgue o item seguinte.
Os achados são típicos da doença renal policística autossômica recessiva.
Provas

Paciente de 40 anos de idade, que não necessita de hemodiálise, apresenta as alterações identificadas nas imagens precedentes.
Com base nesse quadro clínico, julgue o item seguinte.
As imagens mostram múltiplos cistos renais bilateralmente e, portanto, o paciente não demanda acompanhamento específico, pois as alterações observadas são benignas e sem significado clínico.
Provas

Paciente de 40 anos de idade, que não necessita de hemodiálise, apresenta as alterações identificadas nas imagens precedentes.
Com base nesse quadro clínico, julgue o item seguinte.
Anomalias associadas à doença em tela incluem aneurismas cerebrais, aneurismas da aorta abdominal e divertículos nos cólons.
Provas

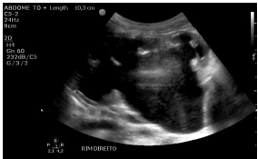
Paciente do sexo masculino realizou exame do aparelho urinário, cujo resultado é mostrado na imagem precedente.
Considerando esse caso clínico, julgue o próximo item.
Em se tratando de uma criança, a primeira hipótese diagnóstica para a imagem corresponde provavelmente ao quadro de megacálices congênitos associado à pelve extrarrenal.
Provas

Paciente do sexo masculino realizou exame do aparelho urinário, cujo resultado é mostrado na imagem precedente.
Considerando esse caso clínico, julgue o próximo item.
Os diagnósticos diferenciais para essa imagem devem incluir, entre outras possibilidades, estenose da junção ureteropélvica e refluxo vesicoureteral; o calibre do ureter ajuda na diferenciação das duas condições.
Provas

Paciente do sexo masculino realizou exame do aparelho urinário, cujo resultado é mostrado na imagem precedente.
Considerando esse caso clínico, julgue o próximo item.
A imagem apresentada pode ser identificada tanto em criança quanto em adultos, sintomáticos ou assintomáticos, congênita ou adquirida; no público infantil, pode estar associada ainda a malformações no rim contralateral, como rim multicístico displásico.
Provas

Considerando o diagnóstico evidenciado nas imagens precedentes, julgue o item a seguir.
Segundo a regra de Weigert-Meyer, em casos de duplicação completa do sistema coletor, o ureter que drena a porção superior do rim está mais sujeito a refluxo vesicoureteral, enquanto o ureter que drena a porção inferior do rim está mais sujeito a estenose.
Provas
Caderno Container