Foram encontradas 80 questões.
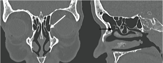
A estrutura apontada pela seta corresponde a:

Provas
Assinale a alternativa que apresenta qual porção do nervo facial que pode ter impregnação fisiológica pelo meio de contraste em um estudo de ressonância magnética.
Provas
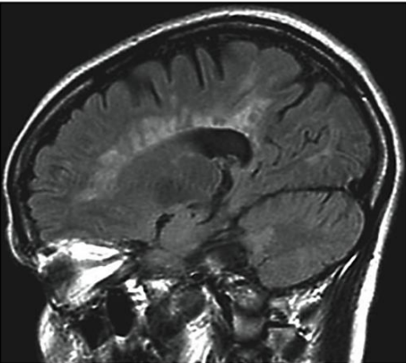
A imagem a seguir corresponde mais provavelmente a:

Provas
Uma das principais características dos craniofaringiomas é:
Provas
Fazem parte do diagnóstico de hidrocefalia de pressão normal os seguintes itens, exceto:
Provas
A imagem a seguir está relacionada a:

Provas
Sobre a neurocisticercose assinale a alternativa incorreta.
Provas
Sobre as meningites bacterianas, assinale a alternativa correta.
Provas
Assinale a alternativa que apresenta uma das características que permitem diferenciar LEMP (Leucoencefalopatia Multifocal Progressiva) e encefalite pelo HIV (Vírus da Imunodeficiência Humana).
Provas
Sobre os tumores neuroendócrinos pancreáticos assinale a alternativa incorreta.
Provas
Caderno Container