Foram encontradas 80 questões.
O achado de imagem a seguir corresponde a:

Provas
Sobre o pâncreas divisum, assinale a alternativa correta.
Provas
Em relação aos pólipos da vesícula biliar, assinale a alternativa incorreta.
Provas
Sobre a aspergilose pulmonar, assinale a alternativa incorreta.
Provas
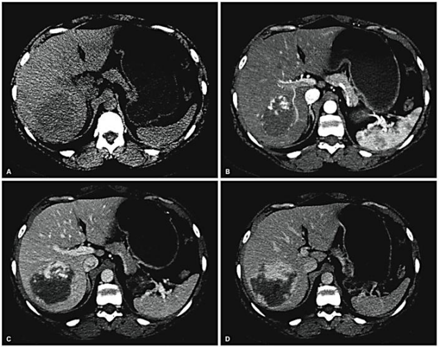
Assinale a alternativa que apresenta qual o provável diagnóstico da lesão hepática abaixo representada.

Provas
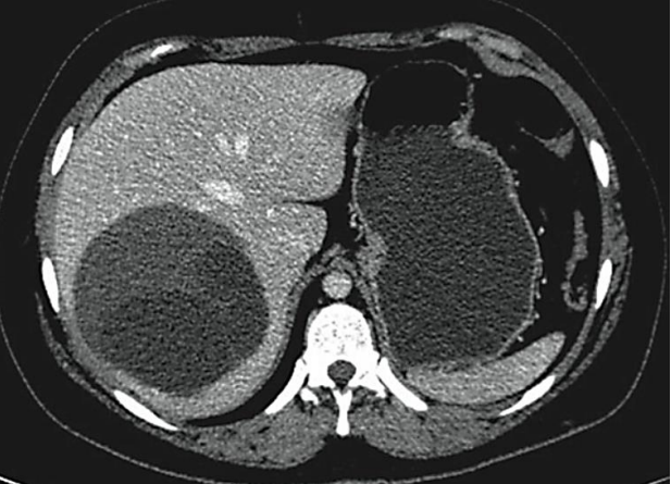
Analise a imagem a seguir.

Assinale a alternativa que apresenta qual hipótese diagnóstica está relacionada ao achado da imagem.
Provas
Assinale a alternativa que apresenta qual o sinal representado no estudo de radiografia simples do abdome abaixo.

Provas
Assinale a alternativa que apresenta o que é esperado na fase crônica da doença de Crohn.
Provas
Imagem de um esofagograma em incidência lateral oblíqua evidencia a seguinte imagem, que corresponde a:

Provas
Em um cenário de tromboembolismo pulmonar agudo (TEP), correspondem aos achados de sobrecarga do ventrículo direito, exceto:
Provas
Caderno Container