Magna Concursos

Foram encontradas 600 questões.

3986156 Ano: 2025
Disciplina: Medicina
Banca: VUNESP
Orgão: SES-SP
Em relação aos linfomas cutâneos de células T (LCCT), é correto afirmar:
 

Provas

Questão presente nas seguintes provas
3986155 Ano: 2025
Disciplina: Medicina
Banca: VUNESP
Orgão: SES-SP
A trombofilia pode ocorrer por mutações ou deficiências na produção dos fatores de coagulação e pode ser hereditária ou adquirida. As trombofilias hereditárias constituem um grupo heterogêneo de alterações na coagulação sanguínea, que aumentam a predisposição ao desenvolvimento de fenômenos tromboembólicos e manifestam-se, em geral, na presença de outros fatores de risco.

Em relação às trombofilias, é correto afirmar:
 

Provas

Questão presente nas seguintes provas
3986154 Ano: 2025
Disciplina: Medicina
Banca: VUNESP
Orgão: SES-SP
O diagnóstico de mielofibrose primária requer todos os 3 critérios maiores e pelo menos um critério menor.

Desses critérios, fazem parte:
 

Provas

Questão presente nas seguintes provas
3986153 Ano: 2025
Disciplina: Medicina
Banca: VUNESP
Orgão: SES-SP
No que diz respeito aos critérios de resposta na leucemia mieloide crônica, assinale a alternativa correta.
 

Provas

Questão presente nas seguintes provas
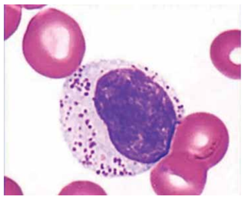
3986152 Ano: 2025
Disciplina: Medicina
Banca: VUNESP
Orgão: SES-SP
Observe a imagem a seguir:

Enunciado 4918605-1
(Arquivo pessoal; imagem usada com autorização)

Em relação à leucemia de grandes linfócitos granulares (LGL), é correto afirmar:
 

Provas

Questão presente nas seguintes provas
3986151 Ano: 2025
Disciplina: Medicina
Banca: VUNESP
Orgão: SES-SP
Em relação às alterações nos leucócitos, assinale a alternativa correta.
 

Provas

Questão presente nas seguintes provas
3986150 Ano: 2025
Disciplina: Medicina
Banca: VUNESP
Orgão: SES-SP
Em relação às formas hereditárias da anemia sideroblástica, é correto afirmar:
 

Provas

Questão presente nas seguintes provas
3986149 Ano: 2025
Disciplina: Medicina
Banca: VUNESP
Orgão: SES-SP
Sexo feminino, 81 anos, antecedentes de acidente vascular isquémico extenso, epilepsia e demência. Medicada com fenitoína e varfarina com início sete dias antes por tromboembolismo pulmonar. Recorre ao serviço de urgência por febre e alteração do estado de consciência. Apresentava, lesões de pele com áreas eritematosas e necróticas extensas. Os exames complementares revelaram leucocitose com neutrofilia e INR de 12,9. Observe a imagem a seguir:

Áreas extensas de necrose cutânea grave

Enunciado 4918602-1
(Arquivo pessoal; imagem usada com autorização)

Em relação ao exposto, é correto afirmar:
 

Provas

Questão presente nas seguintes provas
3986148 Ano: 2025
Disciplina: Medicina
Banca: VUNESP
Orgão: SES-SP
Paciente masculino, 85 anos, evoluiu com bicitopenia – anemia leve com Hb 11,0 g/dL e plaquetopenia grave – 20.000/mm3 . Realizou estudo medular, que mostrou displasia moderada nas três séries associada a 20% de sideroblastos em anel e cariótipo com del 20q11.2 em 14 das 20 metáfases analisadas.

Em relação à patologia, é correto afirmar:
 

Provas

Questão presente nas seguintes provas
3986147 Ano: 2025
Disciplina: Medicina
Banca: VUNESP
Orgão: SES-SP
Observe a imagem a seguir:
Enunciado 4918600-1
(Arquivo pessoal; imagem usada com autorização)

Em relação à alteração apresentada nessa imagem, é correto afirmar:
 

Provas

Questão presente nas seguintes provas