Foram encontradas 600 questões.
Assinale a alternativa correta em relação às alterações
hemodinâmicas observadas em um paciente com cirrose
hepática?
Provas
Questão presente nas seguintes provas
Em um paciente, durante a ultrassonografia venosa do
membro inferior direito, foi identificada uma imagem cística bem delimitada na fossa poplítea, apresentando comunicação com a cavidade articular do joelho, achado
compatível com cisto poplíteo (cisto de Baker).
Considerando a anatomia muscular local, é correto afirmar que as estruturas nas quais esse achado se localiza, tipicamente, é entre os músculos
Considerando a anatomia muscular local, é correto afirmar que as estruturas nas quais esse achado se localiza, tipicamente, é entre os músculos
Provas
Questão presente nas seguintes provas
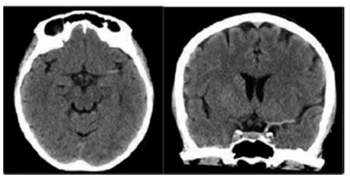
Considere o seguinte caso para responder à questão.
Um paciente do sexo masculino, 63 anos, é trazido ao pronto
-socorro pelos familiares, apresentando afasia e diminuição
da força no membro superior direito, com início dos sintomas
há cerca de 2 horas. Realizou tomografia computadorizada
(TC) de crânio cuja imagem está demonstrada a seguir.

(Arquivo pessoal; imagem usada com autorização)
Provas
Questão presente nas seguintes provas
Considere o seguinte caso para responder à questão.
Um paciente do sexo masculino, 63 anos, é trazido ao pronto
-socorro pelos familiares, apresentando afasia e diminuição
da força no membro superior direito, com início dos sintomas
há cerca de 2 horas. Realizou tomografia computadorizada
(TC) de crânio cuja imagem está demonstrada a seguir.

(Arquivo pessoal; imagem usada com autorização)
Provas
Questão presente nas seguintes provas
Durante uma mamografia de rastreamento em uma paciente de 43 anos, assintomática, identifica-se na mama
esquerda, um nódulo de contornos circunscritos, localizado no quadrante superolateral da mama, medindo 1,5 cm.
Diante do exposto, assinale a alternativa que apresenta corretamente a classificação BI-RADS e a conduta adequada.
Diante do exposto, assinale a alternativa que apresenta corretamente a classificação BI-RADS e a conduta adequada.
Provas
Questão presente nas seguintes provas
Durante a realização de um exame de rotina, identifica-se
um nódulo sólido na parótida direita, ovalado, bem delimitado, com ecotextura homogênea e hipocogenicidade leve, apresentando fluxo vascular interno discreto ao
doppler colorido. O paciente é uma mulher de 45 anos,
sem história prévia de neoplasia.
Em face do exposto, qual é o diagnóstico mais provável?
Em face do exposto, qual é o diagnóstico mais provável?
Provas
Questão presente nas seguintes provas
Durante a avaliação ultrassonográfica de um nódulo
tireoidiano, observa-se uma lesão sólida, isoecoica, com
margens mal definidas, mais larga do que alta e com
calcificação periférica. De acordo com o sistema ACR
TI-RADS (2017), a categoria mais provável e a conduta
recomendada são:
Provas
Questão presente nas seguintes provas
Paciente masculino, 58 anos, realiza ultrassonografia de
carótidas e vertebrais como parte de check-up. Durante
o exame, refere tontura, episódios de síncope e parestesia com fraqueza no membro superior esquerdo durante
atividade física.
Em face do exposto, assinale a alternativa correta.
Em face do exposto, assinale a alternativa correta.
Provas
Questão presente nas seguintes provas
Durante um exame de ultrassonografia de abdome,
observa-se uma duplicação aparente da vesícula biliar,
com uma imagem espelhada acima do diafragma. Esse
achado corresponde a qual tipo de artefato, e qual o principal mecanismo físico envolvido?
Provas
Questão presente nas seguintes provas
Paciente submetido a ponte femoropoplítea supra-articular com prótese de PTFE há vinte dias dá entrada no
pronto-socorro com queixa de febre e hiperemia na região da ferida operatória, tendo sido admitido para investigação e tratamento.
Assinale a alternativa correta quanto às investigações diagnósticas e às decisões terapêuticas.
Assinale a alternativa correta quanto às investigações diagnósticas e às decisões terapêuticas.
Provas
Questão presente nas seguintes provas
Cadernos
Caderno Container