Foram encontradas 600 questões.
Analise o caso clínico a seguir para responder à questão:
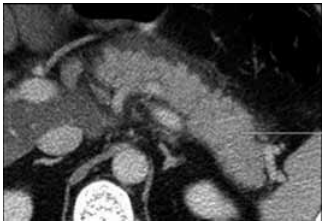
Paciente do sexo masculino, de 52 anos, IMC igual a
41 kg/m2, portador de diabetes mellitus tipo 2, em uso de
semaglutida 2,4 mg/semana há três meses e rosuvastatina
20 mg/dia, é admitido na UTI com dor epigástrica intensa
irradiada para dorso, taquipneia e oligúria há dezoito horas.
Relata náuseas e vômitos persistentes, sem etilismo recente
há 32 horas. Ao exame físico: PA: 88 × 54 mmHg; FC: 124 bpm;
FR: 32 irpm; SpO2
91% em O2
nasal: 3 L/min; T: 38,7 °C.
Abdome distendido, doloroso difusamente, sem defesa
peritoneal franca. Exames laboratoriais iniciais: leucócitos:
22.300/mm3; amilase: 1.040 U/L; lipase: 1.350 U/L; creatinina: 2,2 mg/dL (prévia: 0,9 mg/dL); lactato: 3,8 mmol/L;
PCR: 42 mg/dL; triglicerídeos: 210 mg/dL; AST/ALT: discretamente elevadas; pH: 7,28; HCO3–: 18; PaO2: 62 mmHg;
FiO2: 0,4. TC de abdome com contraste mostrado a seguir:

(Arquivo pessoal; imagem usada com autorização)
Provas
Questão presente nas seguintes provas
Analise o caso clínico a seguir para responder à questão:
Paciente do sexo masculino, de 52 anos, IMC igual a
41 kg/m2, portador de diabetes mellitus tipo 2, em uso de
semaglutida 2,4 mg/semana há três meses e rosuvastatina
20 mg/dia, é admitido na UTI com dor epigástrica intensa
irradiada para dorso, taquipneia e oligúria há dezoito horas.
Relata náuseas e vômitos persistentes, sem etilismo recente
há 32 horas. Ao exame físico: PA: 88 × 54 mmHg; FC: 124 bpm;
FR: 32 irpm; SpO2
91% em O2
nasal: 3 L/min; T: 38,7 °C.
Abdome distendido, doloroso difusamente, sem defesa
peritoneal franca. Exames laboratoriais iniciais: leucócitos:
22.300/mm3; amilase: 1.040 U/L; lipase: 1.350 U/L; creatinina: 2,2 mg/dL (prévia: 0,9 mg/dL); lactato: 3,8 mmol/L;
PCR: 42 mg/dL; triglicerídeos: 210 mg/dL; AST/ALT: discretamente elevadas; pH: 7,28; HCO3–: 18; PaO2: 62 mmHg;
FiO2: 0,4. TC de abdome com contraste mostrado a seguir:

(Arquivo pessoal; imagem usada com autorização)
Provas
Questão presente nas seguintes provas
Paciente do sexo feminino, de 76 anos, portadora de hipertensão arterial e diabetes mellitus do tipo 2, é admitida
na UTI por dispneia intensa e edema agudo de pulmão. O
ecocardiograma à beira do leito mostra fração de ejeção
do ventrículo esquerdo (FEVE) de 60%, hipertrofia concêntrica e átrio esquerdo dilatado. A monitorização invasiva com cateter de artéria pulmonar evidencia:
• pressão capilar pulmonar de oclusão (PCP): 26 mmHg;
• pressão arterial pulmonar média (PAPm): 35 mmHg;
• índice cardíaco (IC): 2,2 L/min/m2;
• pressão venosa central (PVC): 12 mmHg;
• resistência vascular sistêmica (RVS): 1.700 dinas/seg/cm5.
Apesar da congestão, a paciente mantém lactato sérico de 1,6 mmol/L e saturação venosa central (ScvO2) de 70%.
Com base na fisiopatologia micro-hemodinâmica da ICFEP descompensada, assinale a alternativa correta.
• pressão capilar pulmonar de oclusão (PCP): 26 mmHg;
• pressão arterial pulmonar média (PAPm): 35 mmHg;
• índice cardíaco (IC): 2,2 L/min/m2;
• pressão venosa central (PVC): 12 mmHg;
• resistência vascular sistêmica (RVS): 1.700 dinas/seg/cm5.
Apesar da congestão, a paciente mantém lactato sérico de 1,6 mmol/L e saturação venosa central (ScvO2) de 70%.
Com base na fisiopatologia micro-hemodinâmica da ICFEP descompensada, assinale a alternativa correta.
Provas
Questão presente nas seguintes provas
Analise o caso clínico a seguir para responder à questão:
Paciente de 72 anos, do sexo masculino, ex-tabagista de
40 anos-maço, encontra-se internado na UTI por piora aguda da dispneia em contexto de infecção respiratória. Relata
que, há cerca de cinco anos, apresenta dispneia progressiva,
tosse crônica produtiva com escarro esbranquiçado e limitação funcional importante, com acentuada piora no último ano.
Teve duas exacerbações no último ano, uma delas tratada
com corticoide oral, sem necessidade de internação prévia.
Na UTI, o exame físico revela expiração prolongada, roncos
difusos e leve cianose labial. A espirometria prévia confirma
DPOC obstrutiva grave e mostra: VEF1: 40% do previsto;
VEF1/CVF: < 0,7. Escalas de avaliação antes da internação:
mMRC: 3, CAT: 18.
Qual é a intervenção inicial recomendada na UTI para manejo da exacerbação aguda desse paciente?
Provas
Questão presente nas seguintes provas
Analise o caso clínico a seguir para responder à questão:
Paciente de 72 anos, do sexo masculino, ex-tabagista de
40 anos-maço, encontra-se internado na UTI por piora aguda da dispneia em contexto de infecção respiratória. Relata
que, há cerca de cinco anos, apresenta dispneia progressiva,
tosse crônica produtiva com escarro esbranquiçado e limitação funcional importante, com acentuada piora no último ano.
Teve duas exacerbações no último ano, uma delas tratada
com corticoide oral, sem necessidade de internação prévia.
Na UTI, o exame físico revela expiração prolongada, roncos
difusos e leve cianose labial. A espirometria prévia confirma
DPOC obstrutiva grave e mostra: VEF1: 40% do previsto;
VEF1/CVF: < 0,7. Escalas de avaliação antes da internação:
mMRC: 3, CAT: 18.
Provas
Questão presente nas seguintes provas
Durante a internação em UTI, o reconhecimento de
padrões cognitivos e motores prévios é essencial para o
diagnóstico diferencial de delirium.
Considerando uma doença neurodegenerativa que cursa com flutuações cognitivas marcantes, alucinações visuais recorrentes e parkinsonismo, assinale a alternativa que descreve corretamente suas bases fisiopatológicas e manifestações clínicas.
Considerando uma doença neurodegenerativa que cursa com flutuações cognitivas marcantes, alucinações visuais recorrentes e parkinsonismo, assinale a alternativa que descreve corretamente suas bases fisiopatológicas e manifestações clínicas.
Provas
Questão presente nas seguintes provas
Analise o caso clínico a seguir para responder à questão:
Paciente do sexo feminino, de 62 anos, portadora de diabetes mellitus do tipo 2 há quinze anos, com histórico de hipertensão arterial e dislipidemia, comparece ao pronto-socorro
com fraqueza progressiva, náuseas e sonolência nas últimas
24 horas. Refere poliúria intensa há dias e ingestão hídrica
aumentada. Em uso domiciliar de metformina 2.000 mg/dia;
dapagliflozina 10 mg/dia; linagliptina 5 mg/dia; losartana
100 mg/dia e rosuvastatina 20 mg/dia. Ao exame: sonolenta,
desidratada, PA: 92 × 60 mmHg, FC: 122 bpm, FR: 28 irpm,
SpO2: 96% em ar ambiente. Ritmo cardíaco regular, sopro sistólico em foco aórtico +/6+, murmúrio vesicular presente com
discreta diminuição em bases pulmonares. Exames complementares: glicemia: 488 mg/dL; pH: 7,12; HCO3–: 10 mEq/L;
lactato: 1,8 mmol/L; Na+: 134 mEq/L; K+: 4,9 mEq/L. Osmolaridade plasmática: 314 mOsm/kg. Cetonas séricas: fortemente
positivas.
Provas
Questão presente nas seguintes provas
Analise o caso clínico a seguir para responder à questão:
Paciente do sexo feminino, de 62 anos, portadora de diabetes mellitus do tipo 2 há quinze anos, com histórico de hipertensão arterial e dislipidemia, comparece ao pronto-socorro
com fraqueza progressiva, náuseas e sonolência nas últimas
24 horas. Refere poliúria intensa há dias e ingestão hídrica
aumentada. Em uso domiciliar de metformina 2.000 mg/dia;
dapagliflozina 10 mg/dia; linagliptina 5 mg/dia; losartana
100 mg/dia e rosuvastatina 20 mg/dia. Ao exame: sonolenta,
desidratada, PA: 92 × 60 mmHg, FC: 122 bpm, FR: 28 irpm,
SpO2: 96% em ar ambiente. Ritmo cardíaco regular, sopro sistólico em foco aórtico +/6+, murmúrio vesicular presente com
discreta diminuição em bases pulmonares. Exames complementares: glicemia: 488 mg/dL; pH: 7,12; HCO3–: 10 mEq/L;
lactato: 1,8 mmol/L; Na+: 134 mEq/L; K+: 4,9 mEq/L. Osmolaridade plasmática: 314 mOsm/kg. Cetonas séricas: fortemente
positivas.
Provas
Questão presente nas seguintes provas
Analise o caso clínico a seguir para responder à questão:
Paciente do sexo feminino, de 12 anos, portadora de
lúpus eritematoso sistêmico com nefrite lúpica classe IV confirmada há seis meses, é internada na UTI pediátrica com
febre alta, hipotensão, confusão mental e pancitopenia. Os
exames laboratoriais mostram: Hb: 8,1 g/dL; leucócitos:
1.800/mm3; plaquetas: 60.000/mm3; ferritina: 12.000 ng/mL;
triglicerídeos: 450 mg/dL; fibrinogênio: 90 mg/dL. A PCR está
moderadamente aumentada, e as culturas são negativas.
Provas
Questão presente nas seguintes provas
Analise o caso clínico a seguir para responder à questão:
Paciente do sexo feminino, de 12 anos, portadora de
lúpus eritematoso sistêmico com nefrite lúpica classe IV confirmada há seis meses, é internada na UTI pediátrica com
febre alta, hipotensão, confusão mental e pancitopenia. Os
exames laboratoriais mostram: Hb: 8,1 g/dL; leucócitos:
1.800/mm3; plaquetas: 60.000/mm3; ferritina: 12.000 ng/mL;
triglicerídeos: 450 mg/dL; fibrinogênio: 90 mg/dL. A PCR está
moderadamente aumentada, e as culturas são negativas.
Provas
Questão presente nas seguintes provas
Cadernos
Caderno Container