Foram encontradas 648 questões.
Assinale a alternativa que apresenta as afecções
relacionadas ao papiloma vírus humano (HPV) que podem
ser tratadas clinicamente antes de uma eventual cirurgia.
I Condiloma acuminado
II Papulose bowenoide
III Doença de Bowen
IV Tumor de Buschke-Lowenstein
V Carcinoma espinocelular do canal anal
I Condiloma acuminado
II Papulose bowenoide
III Doença de Bowen
IV Tumor de Buschke-Lowenstein
V Carcinoma espinocelular do canal anal
Provas
Questão presente nas seguintes provas
A colocação de sedenho nas fístulas perianais na doença de
Crohn tem por objetivo
Provas
Questão presente nas seguintes provas
Em relação à circulação colorretal, assinale a alternativa
correta.
Provas
Questão presente nas seguintes provas
Um paciente de 85 anos de idade, diabético
controlado, chegou ao pronto-socorro febril, confuso
associado a distensão abdominal e diarreia. Familiares
informaram internação recente por infecção urinária
tratada com ciprofloxacina. Ao exame, constatou-se
abdome distendido, timpânico, sem sinais de irritação
peritoneal. Toque retal não indicou alterações. Contagem
de leucócitos: 16.000; e creatinina de 1,6. Raios X de
abdome com distensão difusa do cólon sem ponto
obstrutivo. O paciente respondeu às medidas iniciais
de hidratação.
Com base nessa situação hipotética, assinale a alternativa que apresenta, respectivamente, a hipótese diagnóstica, o exame complementar e a terapêutica.
Com base nessa situação hipotética, assinale a alternativa que apresenta, respectivamente, a hipótese diagnóstica, o exame complementar e a terapêutica.
Provas
Questão presente nas seguintes provas
Quais dos itens abaixo respeitam os princípios técnicos
para o tratamento da doença hemorroidária
I Ligadura vascular com fio inabsorvível.
II Deixar pontes mucocutâneas entre as feridas da hemorroidectomia.
III Nas hemorroidopexias com grampeador, deve-se realizar o grampeamento ao nível da linha pectínea.
IV A ligadura elástica é um procedimento ambulatorial sem anestesia.
V A hemorroidectomia com laser proporciona menos dor no pós-operatório, quando comparado com as outras técnicas.
I Ligadura vascular com fio inabsorvível.
II Deixar pontes mucocutâneas entre as feridas da hemorroidectomia.
III Nas hemorroidopexias com grampeador, deve-se realizar o grampeamento ao nível da linha pectínea.
IV A ligadura elástica é um procedimento ambulatorial sem anestesia.
V A hemorroidectomia com laser proporciona menos dor no pós-operatório, quando comparado com as outras técnicas.
Provas
Questão presente nas seguintes provas
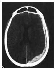
Considere-se esta imagem de uma lesão cerebral.

Com base nessa imagem, assinale a alternativa correta.
Provas
Questão presente nas seguintes provas
São corretas as afirmações sobre as grandes hérnias
incisionais
I Pneumoperitônio progressivo e enfaixamento abdominal são medidas pré-operatórias que podem ser utilizadas.
II A vantagem da colocação da tela intraperitoneal é tornar desnecessária a dissecção extensa do subcutâneo e do tecido musculoaponeurótico.
III Manobra relaxadora dos músculos retos (técnica de Gibbons) e secção da aponeurose do músculo oblíquo externo junto à borda lateral do músculo reto (técnica de Ramirez modificada) são manobras para aumentar a cavidade abdominal.
IV Existem três opções com relação à localização da prótese: pré-musculoaponeurótica (onlay); retromusculoaponeurótica (underlay ou sublay) ou retromuscular; e intraperitoneal (inlay).
V A drenagem permanece enquanto for elevada (100 a 150 ml/dia), sendo retirado o dreno quando se reduz a 20 ou 30 ml/dia.
I Pneumoperitônio progressivo e enfaixamento abdominal são medidas pré-operatórias que podem ser utilizadas.
II A vantagem da colocação da tela intraperitoneal é tornar desnecessária a dissecção extensa do subcutâneo e do tecido musculoaponeurótico.
III Manobra relaxadora dos músculos retos (técnica de Gibbons) e secção da aponeurose do músculo oblíquo externo junto à borda lateral do músculo reto (técnica de Ramirez modificada) são manobras para aumentar a cavidade abdominal.
IV Existem três opções com relação à localização da prótese: pré-musculoaponeurótica (onlay); retromusculoaponeurótica (underlay ou sublay) ou retromuscular; e intraperitoneal (inlay).
V A drenagem permanece enquanto for elevada (100 a 150 ml/dia), sendo retirado o dreno quando se reduz a 20 ou 30 ml/dia.
Provas
Questão presente nas seguintes provas
Considerando os exames de imagem para o diagnóstico de
câncer de próstata (CaP), assinale a alternativa incorreta.
Provas
Questão presente nas seguintes provas
Considerando o antígeno prostático específico (PSA) e
câncer de próstata (CaP), assinale a alternativa correta.
Provas
Questão presente nas seguintes provas
A respeito da indicação do enema opaco, é correto
afirmar que
Provas
Questão presente nas seguintes provas
Cadernos
Caderno Container