Foram encontradas 648 questões.
Um paciente, 7 anos de idade, previamente hígido,
com história de dor torácica súbita deu entrada no PSI.
Peso 30 kg. Exame físico: o menino está agitado; acianótico;
anictérico; afebril; taquicárdico; e taquipneico. Ausculta
pulmonar sem alterações; frequência respiratória de
55 ipm, sat 91% AA; frequência cardíaca de 195 bpm;
pressão arterial de 82 x 58 mmHg, abdome RH + sem
alterações. O monitor a seguir apresenta o ritmo
apresentado pelo paciente.
Com base nessa situação hipotética, e no quadro ilustrado, a conduta a ser realizada nesse caso, em um primeiro momento, é a
Com base nessa situação hipotética, e no quadro ilustrado, a conduta a ser realizada nesse caso, em um primeiro momento, é a
Provas
Questão presente nas seguintes provas
Caso clínico hipotético para a questão.
Uma paciente de 55 anos de idade, hipertensa, diabética e tabagista, foi ao pronto-socorro com dispneia, edema de
membros inferiores, estase jugular e estertores bibasais. O quadro iniciou-se junto com disúria, polaciúria e dor lombar, há
três dias. Na admissão: FC de 122 bpm; PA de 83 x 44 mmHg; FR de 24 irpm; sat. a 89 % em ar ambiente; TEC de 4 segundos;
temperatura 38,7 °C; e Giordano positivo à direita.
Com base na situação hipotética apresentada e nas imagens resultantes da realização do POCUS, assinale a alternativa correta.
Provas
Questão presente nas seguintes provas
Caso clínico hipotético para a questão.
Uma paciente de 55 anos de idade, hipertensa, diabética e tabagista, foi ao pronto-socorro com dispneia, edema de
membros inferiores, estase jugular e estertores bibasais. O quadro iniciou-se junto com disúria, polaciúria e dor lombar, há
três dias. Na admissão: FC de 122 bpm; PA de 83 x 44 mmHg; FR de 24 irpm; sat. a 89 % em ar ambiente; TEC de 4 segundos;
temperatura 38,7 °C; e Giordano positivo à direita.
Provas
Questão presente nas seguintes provas
Situação hipotética para a questão.
Um paciente de 48 anos de idade, com doença
renal crônica, hipertensão arterial sistêmica e insuficiência
cardíaca, seguia em tratamento ambulatorial conservador,
sem necessidade de dialises prévias, em estágio III da
doença renal. Foi internado devido à congestão pulmonar
e à dispneia, após abuso de líquidos no final de semana.
Estava em uso domiciliar de carvedilol, espironolactona,
losartana e anlodipino. Recebeu, também, 40 mg de
furosemida EV, de 8 em 8 horas.
Provas
Questão presente nas seguintes provas
Situação hipotética para a questão.
Um paciente de 48 anos de idade, com doença
renal crônica, hipertensão arterial sistêmica e insuficiência
cardíaca, seguia em tratamento ambulatorial conservador,
sem necessidade de dialises prévias, em estágio III da
doença renal. Foi internado devido à congestão pulmonar
e à dispneia, após abuso de líquidos no final de semana.
Estava em uso domiciliar de carvedilol, espironolactona,
losartana e anlodipino. Recebeu, também, 40 mg de
furosemida EV, de 8 em 8 horas.
Provas
Questão presente nas seguintes provas
O exame a seguir trata de uma cintilografia de tireoide, com iodo radioativo.

A partir dos resultados obtidos nessa cintilografia, assinale a alternativa que apresenta o exame esperado para o caso de doença de Graves.
Provas
Questão presente nas seguintes provas
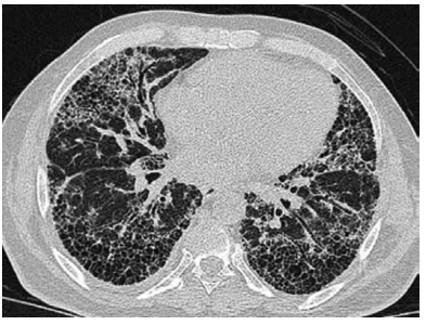
Um homem de 57 anos de idade, tabagista com
35 anos/maço, apresentou quadro de dispneia durante
realização de esforços, com evolução progressiva nos
últimos meses. A tomografia computadorizada de tórax
está disponibilizada a seguir
Com base nessa situação hipotética, assinale a alternativa que apresenta o diagnóstico, o resultado da espirometria e do exame físico, respectivamente,
Com base nessa situação hipotética, assinale a alternativa que apresenta o diagnóstico, o resultado da espirometria e do exame físico, respectivamente,
Provas
Questão presente nas seguintes provas
Assinale a alternativa que apresenta uma etiologia
associada à insuficiência adrenal secundária.
Provas
Questão presente nas seguintes provas
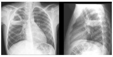
Situação hipotética para a questão.
Um idoso de 76 anos de idade, em reabilitação neurológica devido a um hematoma subdural, após sofrer queda da
própria altura, em uso de gastrostomia (passada em internação prolongada recente há menos de uma semana), dirigiu-se ao
pronto-socorro, trazido pela família e proveniente de instituição de reabilitação para idosos. O paciente foi trazido devido a um
quadro de febre, à confusão mental e à dispneia já há três dias. Foi realizada radiografia de tórax na admissão, cujas imagens
estão dispostas a seguir.

Provas
Questão presente nas seguintes provas
Situação hipotética para a questão.
Um idoso de 76 anos de idade, em reabilitação neurológica devido a um hematoma subdural, após sofrer queda da
própria altura, em uso de gastrostomia (passada em internação prolongada recente há menos de uma semana), dirigiu-se ao
pronto-socorro, trazido pela família e proveniente de instituição de reabilitação para idosos. O paciente foi trazido devido a um
quadro de febre, à confusão mental e à dispneia já há três dias. Foi realizada radiografia de tórax na admissão, cujas imagens
estão dispostas a seguir.

Provas
Questão presente nas seguintes provas
Cadernos
Caderno Container