Foram encontradas 648 questões.
Os pacientes portadores de megaesôfago avançado podem
ser tratados com cardiomiotomia laparoscópica à Heller
com fundoplicatura (CLHF), com segurança. Tal modalidade
cirúrgica (CLHF) apresenta elevadas taxas de resolução de
sintomas e baixos índices de complicações. Associado a
isso, os resultados tardios da CLHF são melhores que os das
cirurgias maiores. Apesar disso, as cirurgias maiores, como
a esofagectomia ou a mucosectomia, não deixam de ter
significativa participação no tratamento dessa patologia,
mas com significativas taxas de morbimortalidade. No
contexto atual, não é possível determinar qual o melhor
perfil de pacientes portadores de megaesôfago avançado
indicados para cirurgias maiores, no entanto, estima-se
que seja a menor parcela destes. Considerando essas
informações, assinale a alternativa que apresenta o
trecho do texto que não coincide com a literatura sobre o
tratamento do megaesôfago chagásico.
Provas
Questão presente nas seguintes provas
Em relação ao tratamento da trombose venosa
profunda (TVP), assinale a alternativa correta.
Provas
Questão presente nas seguintes provas
Assinale a alternativa que apresenta a técnica adequada
para apendicectomia que possui o menor índice de
complicações, supondo-se que todas foram realizadas em
pacientes com o mesmo grau de apendicite.
Provas
Questão presente nas seguintes provas
Considerando as condições intra-operatórias que
apresentam indicação de drenagem, julgue os itens
a seguir.
I peritonite purulenta e(ou) estercoral
II abscesso localizado
III lesão de bexiga
IV anastomoses do trato digestivo com risco de deiscência
V grandes descolamentos intra-abdominais
Assinale a alternativa correta.
I peritonite purulenta e(ou) estercoral
II abscesso localizado
III lesão de bexiga
IV anastomoses do trato digestivo com risco de deiscência
V grandes descolamentos intra-abdominais
Assinale a alternativa correta.
Provas
Questão presente nas seguintes provas
A respeito do risco de infecção na cirurgia cardíaca, é
correto afirmar que
Provas
Questão presente nas seguintes provas
Assinale a alternativa que apresenta a prescrição
pós-operatória adequada de uma colecistectomia
videolaparoscópica eletiva por colelitíase sem
colangiografia intraoperatória.
Provas
Questão presente nas seguintes provas
Paciente de 76 anos de idade, masculino,
hipertenso e diabético com antecedente recente de infarto
agudo do miocárdio, chega ao PS com choque séptico com
a tomografia de abdome compatível com abdome agudo
vascular. No intraoperatório foi observado isquemia de
20 cm do íleo a 1 m da válvula ileocecal sem perfuração
da alça.
Qual a melhor conduta após a realização da enterectomia?
Qual a melhor conduta após a realização da enterectomia?
Provas
Questão presente nas seguintes provas
Assinale a alternativa que apresenta a ordem correta
no sentido crânio-caudal dos principais ramos da
aorta abdominal.
Provas
Questão presente nas seguintes provas
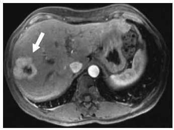
Considerem-se a descrição a seguir e a imagem.
RM: ressonância magnética / TC: tomografia
A lesão é definida como nódulo composto de hepatócitos de aparência normal e que ocorre em fígado com aspecto histológico normal. Ocorre predominantemente no sexo feminino (8:1) e em pacientes jovens. O tumor é geralmente assintomático e, nesses casos, não requer tratamento. É comumente um achado incidental em exames de imagem. Na US, possui um padrão inespecífico e é mal visualizada. É caracterizada com grande eficácia pela TC e pela RM, sendo possível a identificação da cicatriz central, que se apresenta com maior sinal que o restante da lesão. Tanto na RM como na TC quando essas características são presentes, a especificidade diagnóstica atinge 98%.
Assinale a alternativa que apresenta com qual lesão hepática benigna as características descritas e a imagem são compatíveis.
RM: ressonância magnética / TC: tomografia
A lesão é definida como nódulo composto de hepatócitos de aparência normal e que ocorre em fígado com aspecto histológico normal. Ocorre predominantemente no sexo feminino (8:1) e em pacientes jovens. O tumor é geralmente assintomático e, nesses casos, não requer tratamento. É comumente um achado incidental em exames de imagem. Na US, possui um padrão inespecífico e é mal visualizada. É caracterizada com grande eficácia pela TC e pela RM, sendo possível a identificação da cicatriz central, que se apresenta com maior sinal que o restante da lesão. Tanto na RM como na TC quando essas características são presentes, a especificidade diagnóstica atinge 98%.
Assinale a alternativa que apresenta com qual lesão hepática benigna as características descritas e a imagem são compatíveis.
Provas
Questão presente nas seguintes provas
Um homem de 51 anos de idade, tabagista há 30
anos, realizou uma tomografia de tórax com a presença de
nódulo sólido de 7 mm na base do pulmão direito. Negou
antecedente de doença pulmonar.
Com base nessa situação hipotética, assinale a alternativa que apresenta a conduta adequada em relação ao nódulo.
Com base nessa situação hipotética, assinale a alternativa que apresenta a conduta adequada em relação ao nódulo.
Provas
Questão presente nas seguintes provas
Cadernos
Caderno Container