Magna Concursos

Foram encontradas 648 questões.

3530717 Ano: 2024
Disciplina: Medicina
Banca: QUADRIX
Orgão: SES-SP
Paciente, 22 anos de idade, iniciou quadro clínico de neurite óptica bilateral e síndrome de área postrema, sendo investigada quanto à etiologia pela equipe do pronto-socorro. Entre os exames de investigação, foram excluídas causas infecciosas, neoplásicas e reumatológicas. Foram solicitados, então, exames para rastreio de autoimunidade que verificaram um estudo do líquor por punção lombar com bandas oligoclonais ausentes, e dosagem sérica de anti-aquaporina-4 reagente em altos títulos e anti-MOG negativo.

Com base nessa situação hipotética, o diagnóstico realizado foi de
 

Provas

Questão presente nas seguintes provas
3530716 Ano: 2024
Disciplina: Medicina
Banca: QUADRIX
Orgão: SES-SP
Ao avaliar uma paciente, 48 anos de idade, com diagnóstico de lúpus e fraqueza à direita, o residente de clínica médica verificou que ela apresentava uma hemiparesia completa e proporcionada à direita. Ao estímulo plantar à esquerda, realizado com um objeto de ponta-romba, passando pela borda externa, desde o calcanhar até a porção média do coxim dos metatarsianos e terminando antes da base do hálux, verificou que ocorreu a flexão plantar, do hálux e dos demais dedos, de forma suave e transitória.

Com base nessa situação hipotética, verificou-se, nesse membro, a resposta denominada
 

Provas

Questão presente nas seguintes provas
3530715 Ano: 2024
Disciplina: Medicina
Banca: QUADRIX
Orgão: SES-SP
Um paciente de 77 anos de idade, hipertenso e diabético, deu entrada no pronto-socorro devido a um quadro súbito de alteração visual. O paciente foi levado ao oftalmologista, que suspeitou de acidente vascular encefálico devido à queixa de sintomas visuais caracterizados por persistência ou recorrência de uma imagem mesmo após o estímulo ter sido removido.

Com base nessa situação hipotética, esse sintoma é descrito como
 

Provas

Questão presente nas seguintes provas
3530714 Ano: 2024
Disciplina: Medicina
Banca: QUADRIX
Orgão: SES-SP
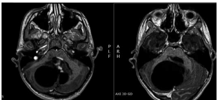
Um jovem de 14 anos de idade deu entrada no pronto-socorro com queixa de cefaleia persistente. A anamnese evidenciou que a cefaleia era matinal, com dois meses de evolução e obtinha alívio após vômitos. O paciente apresentou dificuldades de equilíbrio e de coordenação motora. Ele estava consciente, orientada, com marcha atáxica. O paciente apresentava incoordenação do membro superior ao realizar a prova índice-nariz. Foi realizada a ressonância do encéfalo com contraste, conforme ilustra a imagem a seguir.


Enunciado 4131012-1
Ressonância magnética axial 3d com contraste.

Com base nessa situação hipotética, e em relação à lesão apresentada acima, é correto afirmar que se trata de um
 

Provas

Questão presente nas seguintes provas
3530713 Ano: 2024
Disciplina: Medicina
Banca: QUADRIX
Orgão: SES-SP
Uma paciente de 54 anos de idade, após quadro súbito de cefaleia de forte intensidade e de perda momentânea da consciência há uma semana, procurou o pronto-socorro devido à persistência da cefaleia. Ela foi diagnosticada com hemorragia subaracanóidea espontânea por rotura de aneurisma cerebral. No dia seguinte ao da internação, a paciente desenvolveu sonolência, letargia e hemiparesia esquerda. Nessa oportunidade, foi repetida a tomografia computadorizada cranioencefálica, que mostrou não ter ocorrido ressangramento do aneurisma ou hidrocefalia aguda.

Com base nessa situação hipotética, para conduzir o caso, e seguir com a investigação a respeito da piora clínica, o exame apropriado é o(a)
 

Provas

Questão presente nas seguintes provas
3530712 Ano: 2024
Disciplina: Medicina
Banca: QUADRIX
Orgão: SES-SP
As fraturas de base de crânio geralmente ocorrem em traumas de alta energia e frequentemente passam despercebidas às radiografias simples, exceto quando realizamos estudos radiológicos pormenorizados ou tomografias computadorizadas. O sinal de Battle está entre os sinais clínicos comumente encontrados. Com base nessas informações, assinale a alternativa correta.
 

Provas

Questão presente nas seguintes provas
3530711 Ano: 2024
Disciplina: Medicina
Banca: QUADRIX
Orgão: SES-SP
Um paciente de 45 anos de idade foi vítima de acidente automobilístico de alto impacto, tendo apresentado traumatismo cranioencefálico. Durante o transporte realizado pelo SAMU, ele apresentou uma nítida piora do nível de consciência. O paciente deu entrada no pronto-socorro inconsciente e foi avaliado com oito pontos na escala de coma de Glasgow. Os sinais vitais mostravam pressão arterial de 160/100 mmHg e frequência cardíaca de 55 batimentos por minuto. Ao exame de tomografia computadorizada cranioencefálica, havia edema cerebral difuso e sinais de desvio da linha mediana. Após intubação orotraqueal, foi solicitado ao plantonista intervenção de medidas urgentes no sentido de controlar a pressão intracraniana, enquanto aguardava a chegada do neurocirurgião.

Com base nessa situação hipotética, no manejo inicial da pressão intracraniana, é recomendado
 

Provas

Questão presente nas seguintes provas
3530710 Ano: 2024
Disciplina: Medicina
Banca: QUADRIX
Orgão: SES-SP
A punção lombar para coleta do líquido cefalorraquidiano (líquor) é um procedimento realizado com diferentes finalidades diagnósticas e terapêuticas. Esse procedimento é bastante utilizado na prática clínica, principalmente em casos com suspeita de meningite. A respeito desse procedimento, assinale a alternativa correta.
 

Provas

Questão presente nas seguintes provas
3530709 Ano: 2024
Disciplina: Medicina
Banca: QUADRIX
Orgão: SES-SP
Um homem, 78 anos de idade, com diabete mellitus tipo II, sofreu um acidente vascular cerebral (AVC) há 3 meses. O paciente compareceu ao consultório apresentando quadro de hemiplegia espástica à direita. Ele também se queixou de dor no ombro direito e de uma diminuição na amplitude de movimento. O sinal do cachecol (scarf sign) é positivo. Observou-se que esse paciente apresentou uma importante diminuição da amplitude de movimento em todos os planos, além de bastante dor durante a mobilização passiva do ombro direito e dificuldades ao tentar realizar a mobilização ativa do ombro D. Ele não apresentou alterações durante a inspeção estática.

Com base nessa situação hipotética, o diagnóstico é
 

Provas

Questão presente nas seguintes provas
3530708 Ano: 2024
Disciplina: Medicina
Banca: QUADRIX
Orgão: SES-SP
Um homem, 44 anos de idade, apresenta-se com sobrepeso e trabalha como auxiliar de carga e descarga em uma empresa que realiza mudanças (faz uso de faixa para apoio lombar). O paciente alegou sentir dormência e dor em uma área bem delimitada na face anterolateral da coxa. Esses sintomas são exacerbados ao caminhar ou ao estender o quadril. Não há fraqueza no membro inferior.

Com base nessa situação hipotética, trata-se de um diagnóstico de
 

Provas

Questão presente nas seguintes provas