Foram encontradas 386 questões.
No pronto-socorro de um hospital, o médico de plantão atende um menino de doze anos de idade, que caiu e bateu a cabeça durante um jogo de futebol. No atendimento inicial, ele se mostrava estável do ponto de vista ventilatório e circulatório, mas tinha 8 pontos na escala de coma de Glasgow, o que motivou o médico a intubá-lo. Foi realizada uma tomografia de crânio, que mostrava um hematoma extradural com desvio de linha média. A equipe de neurocirurgia está operando um caso grave e estará disponível em cerca de uma hora.
Com base nesse caso hipotético, assinale a alternativa que apresenta a melhor conduta.
Provas
Uma mulher de vinte anos de idade foi levada ao pronto-socorro após ser atropelada por um ônibus. Foi intubada, no local, pela equipe de atendimento pré-hospitalar, por rebaixamento do nível de consciência. Na avaliação inicial, constatou-se que a cânula orotraqueal estava adequada e foi colocado o colar cervical. Seu tórax expandia bilateralmente e a ausculta era normal (murmúrios vesiculares presentes bilateralmente). Os pulsos periféricos não eram palpáveis e o femoral tinha uma frequência de 140 bpm, fino e rápido. A paciente estava descorada e muito mal perfundida (tempo de enchimento capilar maior que 3 segundos). Havia fratura com desvio da perna e da coxa direitas.
Com base nesse caso hipotético, assinale a alternativa que apresenta as prováveis fontes para o choque da paciente.
Provas
Após receber uma facada no hemitórax direito, sobre o mamilo, um homem de cerca de cinquenta anos de idade foi levado ao hospital. Chegou lá em franca insuficiência respiratória. Ele conseguia respirar sem ruídos, mas tinha frequência respiratória de 50 ipm, murmúrio vesicular abolido do lado direito (percussão timpânica) e o oxímetro de pulso apontava saturação de 72%.
Com base nesse caso hipotético, assinale a alternativa que apresenta a conduta a ser realizada primeiro.
Provas
Um homem de trinta anos de idade foi levado ao pronto-socorro após ser agredido, com uma paulada na cabeça. Ele falava e respirava sem ruído. Foi colocado o colar cervical, estava eupneico, com ausculta e expansibilidade pulmonar preservadas, tinha uma frequência cardíaca de 72 bpm e pulso radial amplo e cheio, estava corado e com perfusão periférica normal. Como havia um ferimento cortocontuso no couro cabeludo, foi feito um curativo compressivo e solicitado o material para sutura. Enquanto era aguardado o material, a enfermagem acionou a equipe médica para reavaliar o paciente, pois ele estava arresponsivo.
Com base nesse caso hipotético, assinale a alternativa que apresenta a melhor conduta nesse momento.
Provas
Uma mulher de 25 anos de idade foi ao ginecologista, relatando dor no baixo ventre desde ontem. Tem atraso menstrual e sua idade gestacional é de seis semanas. Ao exame físico, ela se mostra em bom estado geral, consciente, orientada, eupneica, hidratada e descorada 2+/4+. Seu abdome é doloroso no terço inferior, onde há defesa à palpação. Foi realizada uma ultrassonografia, que mostrou moderada quantidade de líquido livre na cavidade e uma imagem sugestiva de saco gestacional no anexo do lado direito. Os exames laboratoriais apontaram anemia e beta-hCG positivo.
Com base nesse caso hipotético, assinale a alternativa que apresenta o diagnóstico mais provável.
Provas
Um homem de cinquenta anos de idade, etilista e tabagista, chega ao pronto-socorro por dor abdominal difusa iniciada há cerca de 30 minutos. Ele foi levado pelo médico da unidade básica de saúde, que fez o primeiro atendimento. Esse médico, além das informações clínicas sobre o caso, levou consigo uma radiografia de abdome, que mostrava uma lâmina aérea entre o fígado e o diafragma.
Com base nesse caso hipotético, assinale a alternativa que apresenta a melhor conduta para o paciente.
Provas
Uma mulher de 45 anos de idade, sem comorbidades, chegou ao pronto-socorro com dor e distensão abdominal há cerca de cinco dias. Ontem, passou a apresentar vômitos fecaloides. Ao exame físico, apresentava-se em regular estado geral, desidratada, descorada +/4+, eupneica, com frequência cardíaca de 90 bpm e pressão arterial de 110 x 70 mmHg. O exame do abdome revelava distensão e dor difusa, mas sem sinais de peritonite. Não apresentava alterações na gasometria arterial nem leucocitose.
Com base nesse caso hipotético, assinale a alternativa que apresenta a descrição correta dessa obstrução intestinal.
Provas
Um homem de 78 anos de idade, hipertenso e tabagista, com antecedente de infarto agudo do miocárdio há cinco anos, tratado por angioplastia, chegou ao pronto-socorro com dor abdominal difusa de início há uma hora. Ao exame físico, apresentava-se em regular estado geral, muito ansioso, consciente, orientado, com frequência cardíaca de 110 bpm, pressão arterial de 160 x 100 mmHg e tempo de enchimento capilar de 2 s. À palpação, o abdome mostrava-se doloroso difusamente, mas sem sinais de peritonite.
Com base nesse caso hipotético, assinale a alternativa que apresenta o diagnóstico mais provável.
Provas
Uma mulher de sessenta anos de idade, com antecedente de diabetes e hipertensão arterial sistêmica, procurou atendimento médico por dor na fossa ilíaca esquerda, associada à febre, há quatro dias. Apresentava-se em bom estado geral, sem sinais de sepse, e com abdome com defesa na fossa ilíaca esquerda. Realizou tomografia computadorizada de abdome, que evidenciou cólon sigmoide com divertículos com espessamento e borramento da gordura adjacente.
Com base nesse caso hipotético, assinale a alternativa que apresenta a conduta imediata mais adequada.
Provas
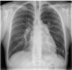
Um homem de 62 anos de idade, previamente hipertenso, refere que estava compensado e assintomático quando começou, há cinco meses, com dispneia aos esforços, após uma sensação de opressão no tórax, que melhorava parcialmente com o repouso e que perdurou cerca de cinco dias. Ele não procurou o serviço médico na época. Nega tosse, expectoração ou chiado. Nega tabagismo. Exame físico: PA de 140 x 76 mmHg; FC de 86 bpm; e saturação de O2 (ar ambiente) de 91%. Ausculta cardíaca: hiperfonese e desdobramento de segunda bulha em foco pulmonar. Turgência jugular bilateral. Presença de estertores bibasais e de edema de membros inferiores. Exames laboratoriais: hemoglobina 12,2 g/dL; leucócitos 8.500/mm3; e plaquetas 152.000/mm3. Realizou, também, a radiografia de tórax reproduzida a seguir.

Com base nesse caso hipotético, é correto afirmar que o exame indicado para se iniciar a investigação da dispneia do paciente é o(a)
Provas
Caderno Container