Foram encontradas 386 questões.
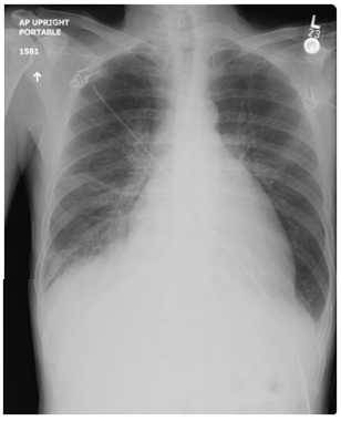
Um homem de 64 anos de idade, com história de infarto agudo do miocárdio extenso em parede anterior, com colocação de stent farmacológico há seis semanas, retornou ao consultório médico com queixa de dor precordial, em opressão, ventilatório-dependente, melhorando com decúbito. Refere uso correto de medicações. Ao exame: PA de 120 x 70 mmHg, bilateral; FC de 61 bpm; FR de 21 ipm; temperatura de 38,6 ⁰C; BRNF em 2T, sem sopros audíveis; presença de atrito pericárdico e pleural, sem edemas. No exame laboratorial: hemoglobina 14,8 mg/dL; leucócitos 10.200; plaquetas 420.000; troponina < 0,001; PCR 19; e VHS 50 mm/h.


Com base nesse caso hipotético, assinale a alternativa que apresenta o melhor manejo no momento.
Provas
Um homem de oitenta anos de idade foi levado ao pronto-socorro por dispneia em repouso e tontura há algumas horas. Hipertenso, em uso irregular de medicações, ao exame físico: regular estado geral; descorado +/4+; taquidispneico; acianótico; frequência cardíaca de 28 bpm; frequência respiratória de 34 irpm; pressão arterial de 78 x 62 mmHg; bulhas rítmicas e normofonéticas, sem sopros; murmúrios vesiculares, presentes com estertores finos até os terços médios, bilateralmente; e saturação de oxigênio de 89% em ar ambiente. Realizou, ainda, o eletrocardiograma mostrado a seguir.

Com base nesse caso hipotético, assinale a alternativa que apresenta a conduta mais adequada.
Provas
Uma lactente com nove meses de vida foi levada ao serviço de emergência devido a desvio de comissura labial esquerda e movimentos clônicos em membro superior esquerdo há dez minutos. Sua mãe refere que ela estava apresentando febre de até 38,7 °C, há um dia, e dificuldade para se alimentar, devido a lesões vesiculares dolorosas no lábio superior. Após a realização de diazepam endovenoso, houve melhora do quadro. Exame físico: regular estado geral; corada; hidratada; 37,9 °C; fontanela anterior plana e normotensa; ausculta cardíaca e pulmonar sem alterações; abdome sem alterações; boa perfusão periférica, sem edema; e pulsos cheios.
Considerando esse caso hipotético, assinale a alternativa correta.
Provas
Um menino de cinco anos de idade foi levado ao serviço de emergência com queixa de cefaleia de forte intensidade, sem melhora com o uso de analgésicos comuns.
Sua mãe refere antecedente de diarreia há cerca de sete dias, acompanhada de dor abdominal, vômitos e sangue nas fezes.
Ao exame físico: descorado; hidratado; com petéquias em tronco; hipertenso; Hb 6 g/dL; Ht 14%; leucócitos 15.660/mm3; plaquetas 40.000/mm3; presença de esquizócitos no sangue periférico; Na 134 mEq/L; K 4,2 mEq/L; e creatinina 2,1 mg/dL.
Considerando esse caso hipotético, assinale a alternativa que apresenta o diagnóstico mais provável para o paciente.
Provas
Um menino de nove anos de idade foi internado em enfermaria para tratamento de pneumonia e broncoespasmo. No segundo dia de antibioticoterapia com penicilina cristalina, em uso de beta-2-agonista e corticosteroide, evoluiu, subitamente, com queixa de dor torácica. Na avaliação, o paciente apresenta-se afebril, sonolento, com FR de 200 bpm, FR de 40 ipm, PA de 80 x 50 mmHg, tempo de enchimento capilar lentificado e pulsos finos. Após monitorizar o paciente, que já possui acesso venoso, o traçado eletrocardiográfico encontra-se conforme na figura abaixo.

Com base nesse caso hipotético, assinale a alternativa que apresenta o tratamento mais indicado para o paciente.
Provas
A síndrome da lise tumoral é uma emergência oncológica.
Quando ela ocorre, uma série de alterações clínicas e laboratoriais pode ocorrer. Nesses casos, considerando-se os distúrbios que podem estar presentes, não faz parte do arsenal terapêutico o(a)
Provas
Uma menina de seis anos de idade foi levada ao serviço de emergência com relato de dor, dificuldade para andar e quedas frequentes há dois dias. A mãe relata que a paciente nunca apresentou quadro semelhante previamente e que só costuma ir ao pronto-socorro devido a quadros de “resfriados”, sendo que o último quadro gripal da paciente aconteceu há cerca de um mês. Ao exame, a paciente apresenta fraqueza simétrica e parestesia de membros inferiores, com arreflexia nessa região.
Com base nesse caso hipotético, assinale a alternativa que apresenta o exame que deverá ser solicitado para a confirmação diagnóstica.
Provas
Quanto à síndrome de Turner, assinale a alternativa incorreta.
Provas
Com relação à paralisia cerebral, assinale a alternativa correta.
Provas
Uma adolescente de treze anos de idade, previamente hígida, deu entrada no serviço de emergência no fim da tarde de um dia de Natal, com história de dor abdominal de forte intensidade, vômitos (seis episódios) e sonolência há duas horas. Sua mãe nega outras queixas. Ao exame: regular estado geral; afebril; desidratada; FR de 30 ipm; FC de 120 bpm; PA de 90 x 60 mmHg; ausculta pulmonar sem ruídos adventícios; ausculta cardíaca com bulhas rítmicas, em dois tempos e sem sopros; abdome sem visceromegalias, DB negativo; e tempo de enchimento capilar de 3 segundos. Exames admissionais: pH 7,18; pCO2 24 mmHg; bic 10 mEq/L; glicemia 370 mg/dL; Na 134 mEq/L; K 3,4 mEq/L; ureia 48; creatinina 0,6; e urina I com 2+ de corpos cetônicos.
Com base nesse caso hipotético, assinale a alternativa correta.
Provas
Caderno Container