Foram encontradas 386 questões.
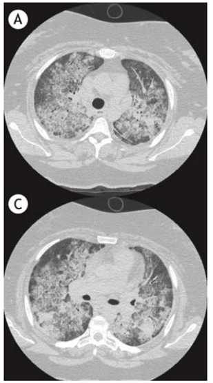
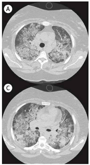
Um homem de 44 anos de idade, portador de IC há dez anos, em uso regular de furosemida (40 mg por dia), espironolactona (25 mg por dia), losartana (50 mg por dia) e amiodarona (400 mg por dia), em razão de episódio de taquicardia ventricular sustentada há três anos, ao exame físico, mostrava-se em estado geral regular, com tosse não produtiva, dispneia e ausência de febre, FR de 18 irpm, sat. de O2 de 97% em ar ambiente, FC de 54 bpm e PA de 130 x 90 mmHg, bilateralmente. Foi iniciado um tratamento para insuficiência cardíaca descompensada e introduziu-se ceftriaxone para a infecção pulmonar. Não houve melhora com essas condutas. Realizou-se um estudo tomográfico (mostrado a seguir) e uma biópsia transbrônquica, que mostrou pneumonia intersticial crônica não específica, com moderado infiltrado inflamatório mononuclear no septo alveolar e abundante número de macrófagos nos espaços alveolares.

Com base nesse caso hipotético, assinale a alternativa que apresenta o diagnóstico mais provável.
Provas
Um homem de 29 anos de idade, a princípio sem antecedentes, procurou o serviço de pneumologia com relato de dispneia progressiva, tosse seca, sensação de febre ao final da tarde e dor para deglutir. Relatou ter feito sexo desprotegido mais de uma vez no passado. Ao exame físico: lúcido e orientado em tempo e espaço; afebril; acianótico; anictérico; hidratado; taquipneico; FR de 30 irpm; FC de 60 bpm; PA de 112 × 80 mmHg; sat. de O₂ de 92% em ar ambiente; e oroscopia com placas esbranquiçadas e base eritematosa em cavidade oral. Exames complementares: Hb 13 g/dL; 15.900 leucócitos, com 7% de linfócitos e 70% de neutrófilos, com desvio à esquerda; 264.000 plaquetas; escarro com BAAR negativo; e DHL 900 U/L. Gasometria: pH 7,44; PO2 62 mmHg; PCO2 22 mmHg; e BIC 26.

Com base nesse caso hipotético, assinale a alternativa que apresenta o manejo no momento.
Provas
Um homem de 36 anos de idade, cabeleireiro, tabagista (cinco anos/maço), evoluiu progressivamente, durante o último ano, com dispneia e “sensação de afogamento”. Procurou diversos serviços durante esse período, tendo sido diagnosticado com síndrome respiratória gripal por covid duas vezes, devido aos achados tomográficos, porém com sorologia e PCR negativos em ambos os momentos. Realizou, também, testes para tuberculose e pneumocistose, ambos negativos. No momento, sem queixas ao repouso e saturando 94% em ar ambiente.

Com base nesse caso hipotético, assinale a alternativa que apresenta o próximo passo na investigação.
Provas
Uma mulher de 52 anos de idade, gerente comercial, compareceu ao ambulatório com queixa de dor limitada à região lombar e às nádegas, sem irradiações, de forte intensidade, pior pela manhã e acompanhada de escoliose antálgica. Refere que já teve esse quadro doloroso anteriormente, com duração média de três a quatro dias. Após esse tempo, volta à completa normalidade. Refere, ainda, pele mais ressecada, queda de cabelo e unhas fracas. Ao exame físico: lúcida; orientada; dor à palpação de região lombar de pequena intensidade, sem abaulamentos; e retrações ou alterações cutâneas. A paciente levou consigo os seguintes exames: Hb 15,1 mg/dL; leucócitos 3.400; plaquetas 348.000; VHS 2; PCR < 0,5; FAN e FR negativos; TSH 8,7 mU/L; e T4 livre 0,48 ng/dl.
Com base nesse caso hipotético, assinale a alternativa que apresenta o manejo correto do quadro álgico.
Provas
Um homem de 32 anos de idade, com diagnóstico prévio de síndrome do anticorpo antifosfolípide, com anticorpos anti-beta-2-glicoproteína I em baixas doses positivo, deu entrada no setor de emergência devido à síncope e à hemoptise, associadas à dispneia. Na investigação, foi realizada uma angiotomografia, que evidenciou tromboembolismo pulmonar, sem repercussões hemodinâmicas.
Com base nesse caso hipotético, assinale a alternativa correta.
Provas
Uma mulher de 24 anos de idade, previamente hígida, apresenta quadro de cerca de seis meses de dor nas articulações, de caráter migratório, simétrico, com piora ao acordar, que permanece por até 30 minutos, sem deformação articular, associada a calor, a rubor e a edema local, de caráter não aditivo. Relata, também, o aparecimento de lesões circulares avermelhadas em tórax e face e queda de cabelo, que não está crescendo novamente, o que a incomoda esteticamente. Nega febre, perda de peso ou astenia.
Com base nesse caso hipotético, assinale a alternativa correta.
Provas
Segundo a última diretriz da sociedade brasileira de diabetes, a automonitorização da glicemia capilar é efetuada com uma gota de sangue capilar em uma fita biossensora descartável que contém um reagente acoplado a um dispositivo médico, o glicosímetro. Acerca desse tema, assinale a alternativa correta.
Provas
Um homem de 26 anos de idade, com relato de febre ao final do dia e tosse seca, associada a dores no corpo e a cansaço progressivo há dois meses, com hipotensão “ao se levantar” e vertigem de início semelhante, ao exame físico, encontra-se em bom estado geral, alerta, vigil e orientado em espaço e tempo. Pele e mucosas hiperpigmentadas. FC de 74 bpm, FR de 14 ipm, PA deitado de 130 x 70 mmHg e em pé de 100 x 60 mmHg e temperatura igual a 37,5 ⁰C. Exames laboratoriais: HB 14 g/dL; leucócitos 5.000; plaquetas 490.000; Na 129; K 5,4; cortisol basal 2,7 ug/dL; cortisol 60 min. pós-ACTH 5,3 ug/dL; e ACTH 866 pg/dL.
Com base nesse caso hipotético, é correto afirmar que a conduta no momento consiste em
Provas
Uma mulher de 79 anos de idade foi internada, em leito de enfermaria, por quadro de delirium secundário à pneumonia adquirida na comunidade. A paciente é hipertensa, em uso de anlodipino, e tem quadro de neuralgia do trigêmeo, em uso dipirona e carbamazepina para controle álgico. Exames de controle diário de rotina revelaram: hiponatremia 130 (valores normais: 135 a 145 mEq/L); e sódio e osmolalidade urinária elevadas; sem outros achados clínicos ou laboratoriais relacionados.
Com base nesse caso hipotético, assinale a alternativa que apresenta a medida mais adequada para o controle hidroeletrolítico no momento.
Provas
Um homem de 37 anos de idade, com antecedente de ansiedade controlada sem medicamentos, entre outros, refere que, há cerca de duas horas da entrada no serviço médico, iniciou dispneia ao repouso de baixa intensidade, associada à dor em hemitórax direito ventilatório-dependente de baixa intensidade, sem nenhum outro achado associado. Ao exame físico: lúcido; orientado; ansioso; PA de 140 x 80 mmHg; FC de 84 bpm; FR de 19 ipm; sat. de O2 de 97% em ar ambiente; BRNF em 2T sem sopros audíveis; MV presente bilateralmente, sem ruídos adventícios; e sem edema ou cianose de membros.

Com base nesse caso hipotético, assinale a alternativa que apresenta a melhor conduta no momento.
Provas
Caderno Container