Foram encontradas 386 questões.
Uma mulher de 62 anos de idade foi admitida no pronto-socorro e teve o diagnóstico de IAMcSSST confirmado, sendo submetida à angioplastia primária. Após o procedimento, refere estar muito bem e solicita alta hospitalar.
O médico tenta convencer a paciente a permanecer hospitalizada, pelo risco da complicação mais frequente, que é a de
Provas
Em relação ao infarto agudo do miocárdio, assinale a alternativa correta.
Provas
Segundo as diretrizes SBC, de 2018, assinale a alternativa que não apresenta uma recomendação da classe I.
Provas
Uma mulher de 56 anos de idade deu entrada no pronto-socorro, referindo dispneia e palpitações, com início há cerca de dois dias. Tem antecedente de HAS, DM e obesidade e está em uso de enalapril 40 mg/dia, clorana 25 mg/dia e metformina 850 mg/dia. Ao exame: REG; corada; hidratada; FR de 22 ipm; sat. de O₂ de 98%; FC de 160 bpm; PA de 90 x 40 mmHg; e MV+, com estertores bibasais. Ap. CV: RCI 2T, sem sopro. Abdome inocente e extremidades com presença de edema +/4+ e pulsos normais e simétricos. ECG: presença de FA sem alterações do segmento ST, com sinais de sobrecarga de VE.
Com base nesse caso hipotético, assinale a alternativa correta em relação à solicitação de ecotransesofágico (ETE) pré-cardioversão elétrica (CVE).
Provas
Deve-se investigar o hiperaldosteronismo primário como causa de hipertensão arterial quando houver
Provas
Uma mulher de 68 anos de idade deu entrada no pronto-socorro com queixa de palpitação diária há uma semana. Relata que, há seis horas, a palpitação ficou mais rápida, sendo associada a cansaço respiratório aos esforços moderados, sem outras queixas. Exame físico: FC de 160 bpm, irregular; PA de 105 x 70 mmHg; presença de bulhas arrítmicas normofonéticas; pulmões MV+, sem ruídos adventícios; ausência de visceromegalias; e edema de membros inferiores +/++++. Antecedentes pessoais: HAS; e DM. Medicações em uso: olmesartana 20 mg/dia e metformina 2 g/dia. Realizou o ECG mostrado a seguir.

Com base nesse caso hipotético, assinale a alternativa correta.
Provas
Uma adolescente de doze anos de idade, asiática, refere, em consulta de rotina, dor muscular em MID há três meses, induzida por atividade física. Exame físico: BEG; pulsos arteriais assimétricos em MMII; FC de 80 bpm; e PA de 140 x 100 mmHg.
Com base nesse caso hipotético, assinale a alternativa que apresenta o exame que deverá ser solicitado.
Provas
Um menino de três anos de idade foi levado ao pronto-socorro infantil com queixa de edema periorbitário há quatro dias. Sua mãe nega alergias. Exame físico: BEG; sinais vitais normais; e edema periorbitário e de extremidades. Exame de urina com proteinúria 4+/4+. PA: normotenso.
Com base nesse caso hipotético, assinale a alternativa que apresenta, correta e respectivamente, o diagnóstico mais provável e o exame que corrobora para o diagnóstico.
Provas
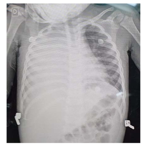
Um menino de onze anos de idade, portador de anemia falciforme, deu entrada no pronto-socorro com tosse, coriza e febre há 24 horas. Refere dor torácica à direita e cansaço. Exame físico: MV+, com estertores em base esquerda; taquipneia leve; sat. de O2 de 91% em ar ambiente; FC de 110 bpm; e PA de 130 x 80 mmHg. Exames laboratoriais: Hb 7 g/dl (Hb basal 9 g/dl/0); leucócitos 17 mil, sem desvio; plaquetas 220 mil; e PCR 8 mg/dl.
Com base nesse caso hipotético, assinale a alternativa que apresenta, correta e respectivamente, o diagnóstico mais provável e a conduta mais adequada.
Provas
Uma menina de um ano e sete meses de idade foi levada ao pronto-socorro com queixa de dor abdominal, vômitos e febre (39 ⁰C) há dois dias. Sua mãe referia resfriado há dez dias, com piora há três dias. Exame físico: REG; descorada 2 +/4+; anictérica; acianótica; afebril; taquipneica; FR de 50 irpm; FC de 140 bpm; PA de 85 x 50 mmHg; sat. de O2 de 91% em ar ambiente; MV+, abolido em 2/3 inferiores do hemitórax direito; broncofonia diminuída em base direita; e tiragem subcostal. Exames: Hb 9.5 g/dl; Ht 27%; leucócitos 26.500, com desvio à esquerda; e PCR 25 mg/dl.

Com base nesse caso hipotético, assinale a alternativa incorreta.
Provas
Caderno Container