Magna Concursos

Foram encontradas 2.016 questões.

2886378 Ano: 2022
Disciplina: Medicina
Banca: UFRGS
Orgão: SES-RS
Provas:

Sobre a avaliação por imagem do paciente com colecistite aguda, assinale a alternativa correta.

 

Provas

Questão presente nas seguintes provas
2886377 Ano: 2022
Disciplina: Medicina
Banca: UFRGS
Orgão: SES-RS
Provas:

Sobre as lesões tumorais do ângulo pontocerebelar, assinale a alternativa correta.

 

Provas

Questão presente nas seguintes provas
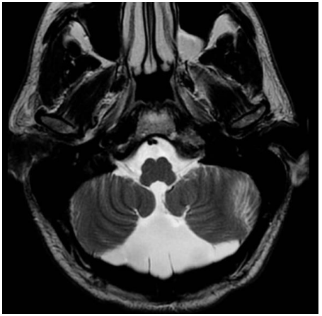
2886376 Ano: 2022
Disciplina: Medicina
Banca: UFRGS
Orgão: SES-RS
Provas:

Paciente masculino, de 14 anos, vem realizar ressonância magnética do encéfalo, que apresentou imagem típica de Megacisterna magna. Sobre esse diagnóstico, assinale a alternativa correta.

Axial T2

Enunciado 3173388-1

 

Provas

Questão presente nas seguintes provas
2886375 Ano: 2022
Disciplina: Medicina
Banca: UFRGS
Orgão: SES-RS
Provas:

Sobre os principais sinais radiológicos da doença de Crohn, de sua atividade inflamatória e de suas complicações na tomografia computadorizada de abdome, assinale a alternativa correta.

 

Provas

Questão presente nas seguintes provas
2886374 Ano: 2022
Disciplina: Medicina
Banca: UFRGS
Orgão: SES-RS
Provas:

Em relação ao RX para avaliação de pneumoperitônio (vide imagem abaixo), qual é a melhor incidência?

Enunciado 3173385-1

Radiografia do tórax em posição ortostática demonstrando pequeno pneumoperitônio (seta).

 

Provas

Questão presente nas seguintes provas
2886373 Ano: 2022
Disciplina: Medicina
Banca: UFRGS
Orgão: SES-RS
Provas:

Assinale a alternativa correta em relação à avaliação por imagem da apendicite aguda.

 

Provas

Questão presente nas seguintes provas
2886372 Ano: 2022
Disciplina: Medicina
Banca: UFRGS
Orgão: SES-RS
Provas:

Em relação às lesões hepáticas focais, assinale a alternativa correta.

 

Provas

Questão presente nas seguintes provas
2886371 Ano: 2022
Disciplina: Medicina
Banca: UFRGS
Orgão: SES-RS
Provas:

Conforme a avaliação do AVC agudo por tomografia computadorizada, qual dos seguintes achados é característico de evento agudo?

 

Provas

Questão presente nas seguintes provas
2886370 Ano: 2022
Disciplina: Medicina
Banca: UFRGS
Orgão: SES-RS
Provas:

Quanto ao método de imagem de escolha no screening pré-tratamento trombolítico, na avaliação do AVC isquêmico agudo, assinale a alternativa correta.

 

Provas

Questão presente nas seguintes provas
2886369 Ano: 2022
Disciplina: Medicina
Banca: UFRGS
Orgão: SES-RS
Provas:

Sobre o uso da tomografia computadorizada na avaliação do AVC agudo, assinale a alternativa correta.

 

Provas

Questão presente nas seguintes provas