Foram encontradas 1.784 questões.
Um paciente de 68 anos, com histórico de fibrilação atrial permanente e escore CHA₂DS₂-VASc de 4, faz uso crônico
de varfarina (Marevan) para prevenção de AVC isquêmico, mantendo INR alvo entre 2,0 e 3,0. Ele está agendado
para uma hernioplastia inguinal eletiva. O médico responsável pelo pré-operatório planeja a suspensão da varfarina
e a introdução de uma terapia ponte. Qual é a conduta perioperatória mais adequada e baseada em evidências para
o manejo do anticoagulante neste caso, visando equilibrar os riscos de trombose e sangramento cirúrgico?
Provas
Questão presente nas seguintes provas
Um paciente de 70 anos, diabético tipo 2 e obeso, é admitido no pronto-socorro com dor abdominal intensa em
hipocôndrio direito, febre (39°C), calafrios, leucocitose acentuada e sinal de Murphy positivo. A ultrassonografia de
urgência revela vesícula biliar distendida, parede espessada e a presença de conteúdo ecogênico. O paciente é levado
imediatamente ao centro cirúrgico para uma colecistectomia de urgência. Durante o procedimento, é confirmado o
empiema, com drenagem de grande quantidade de pus do interior da vesícula biliar, mas sem perfuração ou
contaminação grosseira do peritônio além do local da inflamação. A ferida operatória principal é fechada
primariamente.
De acordo com a classificação de feridas cirúrgicas do Centers for Disease Control and Prevention (CDC) e os critérios estabelecidos para a vigilância de infecções hospitalares no Brasil (Portaria GM/MS nº 2.616/98), em qual categoria a ferida cirúrgica deve ser classificada?
De acordo com a classificação de feridas cirúrgicas do Centers for Disease Control and Prevention (CDC) e os critérios estabelecidos para a vigilância de infecções hospitalares no Brasil (Portaria GM/MS nº 2.616/98), em qual categoria a ferida cirúrgica deve ser classificada?
Provas
Questão presente nas seguintes provas
Um paciente de 55 anos, com histórico epidemiológico positivo para doença de Chagas na infância e disfagia
progressiva para sólidos e líquidos há 3 anos, realiza uma manometria de alta resolução (HRM) como parte da
investigação diagnóstica. O exame revela: Pressão de Relaxamento Integrada (IRP) consistentemente elevada (> 15
mmHg). 100% de falha peristáltica (ausência de contrações esofágicas normais). Pressurização panesofágica
(pressurização simultânea de todo o esôfago) em 30% das deglutições avaliadas.
Com base na Classificação de Chicago versão 4.0 e na apresentação clínica típica de um megaesôfago chagásico,
qual é o tipo de acalasia e a conduta clínica inicial mais apropriada para esse caso?
Provas
Questão presente nas seguintes provas
Em relação ao tratamento do pneumotórax, qual das condutas abaixo NÃO está de acordo com o ATLS 11º edição
2025?
Provas
Questão presente nas seguintes provas
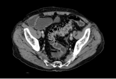
Homem, previamente hígido, 52 anos. Admitido na emergência com mal-estar e dor em FIE há 48h. Nega febre.
Leucócitos 9.800. Realizou TC de abdome abaixo.
Após parecer da cirurgia geral, qual o diagnóstico e a conduta que devemos implementar?


Provas
Questão presente nas seguintes provas
Na REMIT, Resposta Endócrino-Metabólica-Imunológica ao Trauma, incluindo os hormônios envolvidos, qual das
substâncias abaixo NÃO causa lipólise?
Provas
Questão presente nas seguintes provas
Abaixo podemos analisar a colangioressonância do caso acima.

Abaixo podemos analisar a colangioressonância do caso acima.
Provas
Questão presente nas seguintes provas
Homem 24 anos, portador de esferocitose hereditária. Encaminhado ao ambulatório de cirurgia pela hematologista
com indicação de esplenectomia. Ictérico e descorado, traz os seguintes exames laboratoriais: Hemoglobina 7,9 g/dl,
bilirrubina total de 12.2 mg/dl, bilirrubina indireta de 11 mg/dl, Gama GT 47 U/l. USG de abdome total mostra
esplenomegalia importante e colellitíase. Na consulta, o cirurgião identifica que o paciente é assintomátco da doença
biliar e solicita uma colangioressonância. Nessa situação, qual a conduta mais adequada?
Provas
Questão presente nas seguintes provas
A técnica TAR (Transversus Abdominis Release) é usada no tratamento de hérnias ventrais complexas e grandes
defeitos da parede abdominal. Em relação a esse procedimento, podemos afirmar que
Provas
Questão presente nas seguintes provas
Em qual das situações clínicas abaixo, NÃO está indicada a neoadjuvância com FLOT nos tumores gástricos e de
junção-esofagogástrica?
Provas
Questão presente nas seguintes provas
Cadernos
Caderno Container