Magna Concursos

Foram encontradas 493 questões.

3900039 Ano: 2024
Disciplina: Medicina
Banca: UPENET/IAUPE
Orgão: SES-PE
Paciente, 31 anos, quartigesta, na 6ª semana de gravidez com queixa de sangramento genital há 20 dias, com piora há 12 horas. Ao exame encontrava-se com estado geral bom, hipocorada (+/4+), acianótica, consciente e orientada. Pressão arterial de 120 x 80 mmHg. Frequência cardíaca de 98 bpm. Abdome plano depressível e indolor, sem massas palpáveis e ausência de sinais de irritação peritoneal. Submetida a exame ultrassonográfico transvaginal com a imagem abaixo, revelando saco gestacional dentro de cavidade uterina, de contorno regular, em topografia de istmocele.

Assinale a alternativa que representa um fator de risco para a hipótese diagnóstica.
 

Provas

Questão presente nas seguintes provas
3900038 Ano: 2024
Disciplina: Medicina
Banca: UPENET/IAUPE
Orgão: SES-PE
Assinale a alternativa que representa a mais frequente e principal característica do estreito superior da bacia ginecoide.
 

Provas

Questão presente nas seguintes provas
3900037 Ano: 2024
Disciplina: Medicina
Banca: UPENET/IAUPE
Orgão: SES-PE
No cuidado peri-operatório, é importante entender a distribuição e volumes dos líquidos corporais. Num paciente de 70 kg, qual o volume de água extracelular no espaço intersticial (fora dos vasos)?
 

Provas

Questão presente nas seguintes provas
3900036 Ano: 2024
Disciplina: Medicina
Banca: UPENET/IAUPE
Orgão: SES-PE
Em qual das situações de trauma abaixo, devemos indicar a aposição cirúrgica de uma bolsa de Bogotá? Fratura de múltiplas costelas
 

Provas

Questão presente nas seguintes provas
3900035 Ano: 2024
Disciplina: Medicina
Banca: UPENET/IAUPE
Orgão: SES-PE
Na avaliação cirúrgica de um paciente com doença do refluxo, qual dos sintomas abaixo NÃO se configura um sinal de alerta?
 

Provas

Questão presente nas seguintes provas
3900034 Ano: 2024
Disciplina: Medicina
Banca: UPENET/IAUPE
Orgão: SES-PE
Em qual dos tumores abaixo, é necessário solicitar a pesquisa do CD 117 para escolher o melhor tratamento?
 

Provas

Questão presente nas seguintes provas
3900033 Ano: 2024
Disciplina: Medicina
Banca: UPENET/IAUPE
Orgão: SES-PE
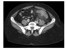
Homem 66 anos, dor em abdome inferior e febre. Leuco – 17.100. Analisando a TC de abdome abaixo, podemos identificar 

Enunciado 4728801-1
 

Provas

Questão presente nas seguintes provas
3900032 Ano: 2024
Disciplina: Medicina
Banca: UPENET/IAUPE
Orgão: SES-PE
Em relação ao tratamento cirúrgico dos carcinomas escamosos de canal anal, podemos afirmar que
 

Provas

Questão presente nas seguintes provas
3900031 Ano: 2024
Disciplina: Medicina
Banca: UPENET/IAUPE
Orgão: SES-PE
Ainda sobre os hepatocarcinomas, qual das assertivas abaixo NÃO faz parte dos critérios de Milão para indicação de transplante nesses pacientes?
 

Provas

Questão presente nas seguintes provas
3900030 Ano: 2024
Disciplina: Medicina
Banca: UPENET/IAUPE
Orgão: SES-PE
Qual é o paciente ideal para a ressecção de um hepatocarcinoma?
 

Provas

Questão presente nas seguintes provas