Foram encontradas 50 questões.
Paciente 30 anos, na 38ª semana, secundigesta (uma cesariana anterior), chega na emergência obstétrica referindo perda de líquido há 1 hora de forma súbita de um liquido transparente, cheirando a água sanitária, escorrendo pelas pernas e se acumulando do chão. Negava outras queixas. Ao exame clínico, temperatura axilar de 36,5oC e frequência cardíaca materna de 78 bpm. Ao exame obstétrico: batimentos cardio fetais de 136bpm (sem desacelerações), dinâmica uterina ausente, toque vaginal com colo uterino amolecido e central com 1 cm de dilatação, 70% de esvaecimento cervical, bolsa rota com líquido amniótico claro com grumos e no III plano de Hodge.
Assinale a alternativa CORRETA referente a conduta mais provavelmente indicada.
Provas
Paciente 28 anos, na 28ª semana, secundigesta e um aborto anterior, chega na emergência obstétrica referindo perda de líquido há 19 horas. Após anamnese detalhada do médico assistente, a paciente refere que a perda foi súbita de um liquido transparente, cheirando a água sanitária, escorrendo pelas pernas e se acumulando do chão. Negava outras queixas. Ao exame clínico, temperatura axilar de 36,5oC e frequência cardíaca materna de 68 bpm. Ao exame obstétrico: batimentos cardio fetais de 136bpm, dinâmica uterina ausente, toque vaginal não realizado no momento e ausente líquido amniótico pelo exame especular, porém a manobra de valsava foi positiva.
Das alternativas abaixo, assinale a que representa a melhor conduta a ser realizada.
Provas
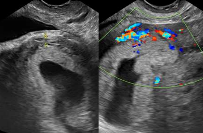
Paciente, 32 anos, secundigesta (cesariana anterior), na 6ª semana de gravidez com queixa de sangramento genital há 20 dias, com piora há 12 horas. Ao exame encontrava-se com estado geral bom, hipocorada (+/4+), acianótica, consciente e orientada. Pressão arterial de 120 x 80 mmHg. Frequência cardíaca de 98 bpm. Abdome plano depressível e indolor, sem massas palpáveis e ausência de sinais de irritação peritoneal.
Submetida a exame ultrassonográfico transvaginal com a imagem abaixo, revelando saco gestacional dentro de cavidade uterina, de contorno regular, em topografia de istmocele.

Assinale a alternativa a qual sugere possível complicações relacionada a principal diagnóstica:
Provas
Assinale a alternativa que menos apresenta relevância sobre o mecanismo do parto cefálico de vértice.
Provas
O escore de risco de Caprini tem sido validado como uma boa ferramenta para profilaxia da trombose venosa no contexto cirúrgico.
Qual das condições abaixo mais pontua nessa escala?
Provas
Segundo o ATLS, existem as lesões torácicas que ameaçam imediatamente a vida e aquelas que potencialmente ameaçam vida.
Dentre as abaixo, identifique aquela que pertence ao segundo grupo(potencialmente).
Provas
O risco de IAM de um paciente que vai fazer uma cirurgia abdominal de grande porte é máximo
Provas
Paciente de 40 anos na 7ª semana de gravidez, chega a emergência referindo intenso mal-estar, náuseas e vômitos. Refere uso de ansiolíticos. Após questionamento do médico residente, referiu que, nas últimas 24 horas, ficou, em média, por 12 horas nauseada, apresentou três episódios de vômitos e que fica salivando/cuspindo o todo tempo. Ao exame, a paciente encontrava-se com estado geral regular, pressão arterial de 110 x 60 mmHg, frequência cardíaca de 77 bpm, ausculta cardíaca e pulmonar normal e leve dor à palpação profunda em epigástrio.
Assinale a alternativa CORRETA referente à gravidade do quadro de náusea e vômitos.
Provas
Paciente 35 anos, primigesta e na 39ª semana de gravidez, sendo acompanhada no pré-natal de alto risco. Durante a consulta foi observada as curvas de altura de fundo de útero pela idade gestacional e a de peso fetal estimado por meio da ultrassonografia pela idade gestacional abaixo. A dopplervelocimetria das artérias uterinas, umbilicais e cerebral média foi > 95º percentil, < 95º percentil e > 5º percentil, respectivamente.
Observe a imagem a seguir:


Assinale a alternativa CORRETA, conforme os critérios atuais para avaliação do crescimento fetal.
Provas
NÃO faz parte das manifestações clínicas da síndrome de abstinência à opiáceos:
Provas
Caderno Container