Magna Concursos

Foram encontradas 100 questões.

3127350 Ano: 2023
Disciplina: Medicina
Banca: UPENET/IAUPE
Orgão: SES-PE

Paciente 26 anos, na 30ª semana, secundigesta (um aborto), chega à emergência obstétrica referindo perda de líquido há 19 horas. Após anamnese detalhada do médico assistente, a paciente refere que a perda foi súbita de um liquido transparente, cheirando a água sanitária, escorrendo pelas pernas e se acumulando do chão. Negava outras queixas. Ao exame clínico, temperatura axilar de 36,5ºC e frequência cardíaca materna de 78 bpm. Ao exame obstétrico: batimentos cardiofetais de 136bpm, dinâmica uterina ausente, toque vaginal não realizado no momento e ausente líquido amniótico pelo exame especular e manobra de valsava.

Assinale a alternativa CORRETA referente ao exame que melhor tem acurácia para confirmar ou afastar a principal hipótese diagnóstica.

 

Provas

Questão presente nas seguintes provas
3127349 Ano: 2023
Disciplina: Medicina
Banca: UPENET/IAUPE
Orgão: SES-PE

Paciente, 32 anos, secundigesta (cesariana anterior), na 6ª semana de gravidez com queixa de sangramento genital há 20 dias, com piora há 12 horas. Ao exame, encontrava-se com estado geral bom, hipocorada (+/4+), acianótica, consciente e orientada. Pressão arterial de 120 x 80 mmHg. Frequência cardíaca de 98 bpm. Abdome plano depressível e indolor, sem massas palpáveis e ausência de sinais de irritação peritoneal. Submetida a exame ultrassonográfico transvaginal, que revelou saco gestacional dentro de cavidade uterina, medindo 41,0 x 21,0 x 5,0 mm, de contorno regular, em topografia de istmocele, além da presença de hematoma subcoriônico de 27,0 x 17,0 mm em topografia adjacente ao saco gestacional, vesícula vitelínica visualizada com 3,5 mm e embrião com comprimento cabeça nádega de 10,6 mm, batimento cardíaco de 136 bpm e comprimento cervical de 40,0 mm. Assinale a alternativa que sugere a principal hipótese diagnóstica.

 

Provas

Questão presente nas seguintes provas
3127348 Ano: 2023
Disciplina: Medicina
Banca: UPENET/IAUPE
Orgão: SES-PE

Gestante 35 anos de idade, primigesta e na 39ª semana de gravidez. Na emergência obstétrica, queixou-se de dor em baixo ventre. Ao exame, batimentos cardiofetais de 140 bpm, dinâmica uterina de 2 contrações / 10 minutos / 35 e 45 segundos. Ao toque vaginal, encontrava-se com 5 cm de dilatação, 80% de esvaecimento cervical, bolsa das águas íntegras e cefálico. Observe o partograma abaixo:

Enunciado 3531515-1

Assinale a alternativa que indica a estrutura anatômica menos relevante sobre o mecanismo do parto dessa paciente.

 

Provas

Questão presente nas seguintes provas
3127347 Ano: 2023
Disciplina: Medicina
Banca: UPENET/IAUPE
Orgão: SES-PE

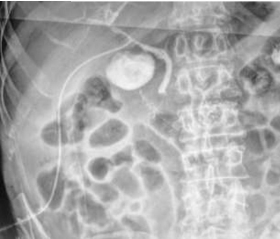
MJS. 29 anos. Submetida a procedimento cirúrgico hepatobiliar há 1 semana. Submetida à imagem complementar abaixo:

Enunciado 3531514-1

Qual exame foi realizado?

 

Provas

Questão presente nas seguintes provas
3127346 Ano: 2023
Disciplina: Medicina
Banca: UPENET/IAUPE
Orgão: SES-PE

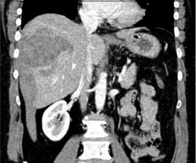
ACDC, 38 anos, sexo feminino, dá entrada no serviço de urgência, com quadro de dor abdominal em hipocôndrio direito que irradia para as costas, de forte intensidade, sudorese e taquicardia. Foi solicitada uma ultrassonografia, e, durante o exame, o radiologista optou por complementar com uma tomografia com contraste, com o seguinte achado:

Enunciado 3531513-1

Qual a principal hipótese diagnóstica para o quadro em questão?

 

Provas

Questão presente nas seguintes provas
3127345 Ano: 2023
Disciplina: Medicina
Banca: UPENET/IAUPE
Orgão: SES-PE

JFS, 67 anos, sexo masculino, tabagista e alcoolista, história de perda de peso não intencional e disfagia para sólidos com início há um mês. Realizou endoscopia que evidenciou lesão vegetante ulcerada há 25cm da ADS, intransponível ao aparelho.

Qual dos sinais e sintomas abaixo NÃO está relacionado com irressecabilidade desse tumor?

 

Provas

Questão presente nas seguintes provas
3127344 Ano: 2023
Disciplina: Medicina
Banca: UPENET/IAUPE
Orgão: SES-PE

VMJS, 19 anos, sexo masculino, chega ao serviço de pronto atendimento trazido por amigos, vítima de perfuração por arma branca no 6º espaço intercostal direito, com o seguinte exame físico: sonolento, pouco responsivo, taquidispneico, hipocorado (++/4+), FC 120bpm, FR 35 ipm, PA: 80x60mmHg .RCR, 2T, BNF, SSFAo (+++/6+)

MV abolidos em HTD, mantidos em HTE, s/RA. ABD plano, tenso, doloroso à palpação difusa, sem sinais de irritação peritonial. Abre os olhos ao estímuloso doloroso, emite sons incompreensíveis e realiza flexão ao estímuloso doloroso.

Ainda sobre VMJS (caso acima), após as medidas iniciais e estabilização do paciente, qual a melhor conduta para o caso em questão?

 

Provas

Questão presente nas seguintes provas
3127342 Ano: 2023
Disciplina: Medicina
Banca: UPENET/IAUPE
Orgão: SES-PE

VMJS, 19 anos, sexo masculino, chega ao serviço de pronto atendimento trazido por amigos, vítima de perfuração por arma branca no 6º espaço intercostal direito, com o seguinte exame físico: sonolento, pouco responsivo, taquidispneico, hipocorado (++/4+), FC 120bpm, FR 35 ipm, PA: 80x60mmHg .RCR, 2T, BNF, SSFAo (+++/6+)

MV abolidos em HTD, mantidos em HTE, s/RA. ABD plano, tenso, doloroso à palpação difusa, sem sinais de irritação peritonial. Abre os olhos ao estímuloso doloroso, emite sons incompreensíveis e realiza flexão ao estímuloso doloroso. Qual das condutas abaixo NÃO é necessária de imediato?

 

Provas

Questão presente nas seguintes provas
3127340 Ano: 2023
Disciplina: Medicina
Banca: UPENET/IAUPE
Orgão: SES-PE

PDR, 22 anos, sexo masculino, sem sintomas ou comorbidades, realiza bateria de exames para check-up. Dentre eles, fez o exame de CA 19.9 cujo resultado deu 52 U/mL (valor de referência: 37 U/mL). Levando em consideração que a sensibilidade e especificidade desse marcador para o câncer de pâncreas é, respectivamente, 85% e 90%, e este câncer possui uma incidência de 5,29/100mil homens, é CORRETO afirmar que

 

Provas

Questão presente nas seguintes provas
3127337 Ano: 2023
Disciplina: Medicina
Banca: UPENET/IAUPE
Orgão: SES-PE

JMS, 52 anos, sexo masculino, submetido à gastrectomia subtotal com linfadenectomia a D2, devido a uma neoplasia gástrica. A cirurgia ocorreu de maneira eletiva e sem intercorrências.

Levando em consideração os preceitos do projeto ACERTO, qual conduta é a mais adequada para o pós-operatório?

 

Provas

Questão presente nas seguintes provas