Foram encontradas 1.282 questões.
Paciente de 75 anos, portador de valva aórtica mecânica, questiona a você, no ambulatório, se pode tomar alguma das vacinas que são oferecidas pelas campanhas do governo.
Sobre esse caso, assinale a alternativa INCORRETA.
Provas
Paciente de 50 anos, em pós-operatório imediato de implante de marcapasso definitivo, evoluiu com dispneia, hipotensão, extremidades frias e bulhas cardíacas hipofonéticas, com ausculta pulmonar normal. É levantada a hipótese de tamponamento cardíaco.
Sobre esse caso, assinale a alternativa INCORRETA.
Provas
Paciente de 80 anos é internada com quadro de insuficiência cardíaca congestiva, perfil B. Ecocardiograma mostrou fração de ejeção de 70%, uma valva aórtica calcificada, com um gradiente médio aórtico de 31mmHg, uma área valvar aórtica indexada de 0.47 cm2/m2, volume sistólico de via de saída do VE indexado de 32mL/m2. Tomados em conjunto, foi definido que a paciente teria uma estenose aórtica importante de baixo gradiente paradoxal.
Assinale a alternativa que indica o próximo passo na condução dessa paciente.
Provas
Paciente de 74 anos, obeso e hipertenso, chega à emergência, com quadro de edema agudo de pulmão hipertensivo. Na investigação etiológica, o ecocardiograma no primeiro dia de internamento mostrou insuficiência aórtica severa, com fração de ejeção preservada e disfunção segmentar do ventrículo esquerdo, com câmaras cardíacas de volumes normais. Houve dúvida sobre a gravidade de sua insuficiência aórtica, com o ecocardiograma transesofágico mostrando insuficiência aórtica moderada e imagem duvidosa de endocardite da valva, com fração de ejeção preservada e volume das câmaras preservados, associado à disfunção segmentar do ventrículo esquerdo, e o cateterismo cardíaco mostrando lesão de 80% em terço proximal da artéria descendente anterior e lesão suboclusiva no terço médio da artéria coronária direita, e aortograma compatível com insuficiência aórtica grave. Marcadores de necrose miocárdica negativos, e paciente dependente de drogas vasoativas (nitroglicerina e dobutamina), com difícil desmame.
Qual a melhor conduta entre as citadas abaixo?
Provas
Paciente de 89 anos chega à emergência, com história de cefaleia intensa após queda de própria altura. Tomografia de crânio demonstra hemorragia intracraniana. História de implante de stent farmacológico 15 dias antes desse trauma, eletivamente. Estava em uso de aspirina e clopidogrel.
Sobre esse caso, assinale a alternativa CORRETA.
Provas
Assinale a alternativa INCORRETA em relação ao infarto agudo do miocárdio na gestante.
Provas
Em relação à Comunicação interatrial no adulto, assinale a alternativa INCORRETA.
Provas
Qual sinal semiológico abaixo NÃO é característico da insuficiência valvar aórtica?
Provas
Sopro diastólico em decrescendo-crescendo, mais audível em focos apicais, é o sopro característico da
Provas
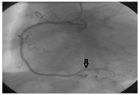
Qual o nome da estrutura anatômica indicada na seguinte imagem do cateterismo cardíaco?

Provas
Caderno Container