Foram encontradas 1.282 questões.
CASO 3.

Considerando o tratamento endovascular das lesões vasculares cerebrais, assinale a alternativa INCORRETA.
Provas
Provas
Ainda em relação ao caso 2, assinale a alternativa INCORRETA.
Provas
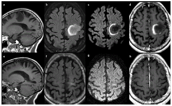
CASO 1. Mulher de 40 anos deu entrada em urgência devido a crises convulsivas e déficit motor. Durante acompanhamento médico, teve as seguintes imagens no diagnóstico e 1 ano após diagnóstico, sem ter sido submetida a qualquer tratamento específico.

a: sagital T1; b: axial t2 flair; c: axial difusão; d: axial T1 contrastada. e, f, g, h: são as imagens correspondentes às superiores 1 ano após.
Em relação ao caso, assinale a alternativa CORRETA.
Provas
Provas
Assinale a alternativa INCORRETA.
Provas
Sobre os enxertos sintéticos, analise as afirmativas abaixo:
I. Uma prótese ideal deve ter dilatação significativa ao passar do tempo.
II. Deve ser passível de esterilização, mesmo que o processo altere sua estrutura.
III. A porosidade do material não é importante para uma boa integração da prótese ao organismo.
IV. Próteses de Dácron e PTFE têm muita compliância.
Está CORRETO o que se afirma em
Provas
Sobre os agentes esclerosantes, assinale a alternativa INCORRETA.
Provas
Sobre a Síndrome de May-Thurner, analise os itens abaixo:
I A compressão da veia ilíaca comum direita pela artéria ilíaca comum direita.
II. Sintomas de edema, presença de varizes unilaterais, aumento injustificado do diâmetro do membro.
III. A flebografia traz informações diretas e objetivas do fluxo, do segmento à ilíaca comum esquerda.
IV. Há 7 tipos diferentes de compressão pela flebografia.
Estão CORRETOS
Provas
São testes flebológicos todos os abaixo citados, EXCETO:
Provas
Caderno Container