Foram encontradas 683 questões.
Leia o caso a seguir.
Paciente 65 anos tabagista (enfisematoso), histórico de IAM e revascularização de miocárdio, vem em consulta com achado incidental em US abdominal de AAA 7,5 cm infrarrenal. Teve evento de anafilaxia ao uso de contraste iodado no passado.
Diante do caso apresentado, qual exame deverá ser realizado com a finalidade de confirmar o diagnóstico e de programar um tratamento com a conduta mais indicada?
Paciente 65 anos tabagista (enfisematoso), histórico de IAM e revascularização de miocárdio, vem em consulta com achado incidental em US abdominal de AAA 7,5 cm infrarrenal. Teve evento de anafilaxia ao uso de contraste iodado no passado.
Diante do caso apresentado, qual exame deverá ser realizado com a finalidade de confirmar o diagnóstico e de programar um tratamento com a conduta mais indicada?
Provas
Questão presente nas seguintes provas
Leia o caso a seguir.
Após procedimento de implante de cateter venoso central (CVC), o médico não fez a retirada do guia metálico que inadvertidamente foi embolizado em sua totalidade. O Rx de controle mostra localização de extremidade distal provavelmente em Veia Subclávia esquerda.
A conduta ideal nesse caso é
Após procedimento de implante de cateter venoso central (CVC), o médico não fez a retirada do guia metálico que inadvertidamente foi embolizado em sua totalidade. O Rx de controle mostra localização de extremidade distal provavelmente em Veia Subclávia esquerda.
A conduta ideal nesse caso é
Provas
Questão presente nas seguintes provas
Os vasos frequentemente envolvidos na síndrome de
Nutcracker ou quebra-nozes são:
Provas
Questão presente nas seguintes provas
Caso Clínico 1
Paciente feminina, relativamente jovem e magra, apresentou
edema unilateral de membro inferior esquerdo (principalmente
em coxa) após viagem longa, com alimentação fora de seus
padrões normais.
Provas
Questão presente nas seguintes provas
Caso Clínico 1
Paciente feminina, relativamente jovem e magra, apresentou
edema unilateral de membro inferior esquerdo (principalmente
em coxa) após viagem longa, com alimentação fora de seus
padrões normais.
Provas
Questão presente nas seguintes provas
Leia o caso a seguir.
Paciente de 72 anos, diabético, hipertenso e tabagista deu entrada em pronto socorro com história de dor súbita em membro inferior esquerdo de evolução de 48 horas, com frialdade, palidez proximal, cianose não fixa distal, ausência de pulsos nesse membro, com parestesia e alteração de motricidade, além de dor refratária a medicação venosa.
O provável diagnóstico e o tratamento adequado são:
Paciente de 72 anos, diabético, hipertenso e tabagista deu entrada em pronto socorro com história de dor súbita em membro inferior esquerdo de evolução de 48 horas, com frialdade, palidez proximal, cianose não fixa distal, ausência de pulsos nesse membro, com parestesia e alteração de motricidade, além de dor refratária a medicação venosa.
O provável diagnóstico e o tratamento adequado são:
Provas
Questão presente nas seguintes provas
Em um caso de oclusão arterial aguda de membro inferior,
qual é a causa mais comum da origem embólica?
Provas
Questão presente nas seguintes provas
A arcada Riolan é conhecida por frequentemente realizar
conexão entre os seguintes vasos:
Provas
Questão presente nas seguintes provas
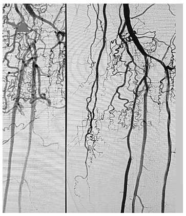
Observe a imagem a seguir.

A imagem acima corresponde a uma angiografia digital demonstrando o pré e pós procedimento de angioplastia de membro inferior esquerdo. Qual é a estrutura anatômica assinalada em seta?
Provas
Questão presente nas seguintes provas
Leia o caso a seguir.
R.B., 65 anos, tabagista com carga tabágica de 30 anos-maço, foi diagnosticado com nódulo pulmonar suspeito para neoplasia de 3,5 cm no lobo médio. Foi submetido à biópsia transtorácica com diagnóstico de adenocarcinoma acinar e estadiamento não invasivo do mediastino com PET-CT e RM do crânio, demonstrando hipercaptação na lesão com SUV de 7,4 e ausência de sinais de metástases linfonodais e à distância.
Considerando o caso descrito acima e o tratamento contemporâneo do carcinoma de pulmão não pequenas células, a próxima medida a ser tomada é
R.B., 65 anos, tabagista com carga tabágica de 30 anos-maço, foi diagnosticado com nódulo pulmonar suspeito para neoplasia de 3,5 cm no lobo médio. Foi submetido à biópsia transtorácica com diagnóstico de adenocarcinoma acinar e estadiamento não invasivo do mediastino com PET-CT e RM do crânio, demonstrando hipercaptação na lesão com SUV de 7,4 e ausência de sinais de metástases linfonodais e à distância.
Considerando o caso descrito acima e o tratamento contemporâneo do carcinoma de pulmão não pequenas células, a próxima medida a ser tomada é
Provas
Questão presente nas seguintes provas
Cadernos
Caderno Container