Foram encontradas 683 questões.
Diante de um episódio de infecção urinária baixa, em mulher
no menacme, a conduta mais adequada é
Provas
Questão presente nas seguintes provas
A acantose nigricans, encontrada em muitas mulheres com
a síndrome dos ovários policísticos, decorre da ação, na
pele, do hormônio
Provas
Questão presente nas seguintes provas
Leia o caso a seguir.
Mulher de 35 anos de idade procura atendimento com sintomas e sinais de vaginose de repetição há cerca de três anos. Em consultas anteriores, já foram feitas as orientações gerais a respeito dos fatores de risco e as formas de evitar as recidivas, além de vários tratamentos com metronidazol em clindamicina, via oral e via vaginal, porém o quadro volta a se repetir em período menores do que dois meses.
Diante desse quadro, a medida terapêutica indicada é
Mulher de 35 anos de idade procura atendimento com sintomas e sinais de vaginose de repetição há cerca de três anos. Em consultas anteriores, já foram feitas as orientações gerais a respeito dos fatores de risco e as formas de evitar as recidivas, além de vários tratamentos com metronidazol em clindamicina, via oral e via vaginal, porém o quadro volta a se repetir em período menores do que dois meses.
Diante desse quadro, a medida terapêutica indicada é
Provas
Questão presente nas seguintes provas
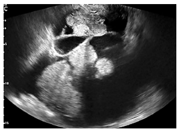
Analise a imagem a seguir.

Com uma tumoração com essas características, em ultrassonografia endovaginal de uma mulher com 65 anos de idade é possível fazer a hipótese diagnóstica de
Provas
Questão presente nas seguintes provas
Gestante com fator de risco para incompetência
istmocervical com o colo ≥ 30 mm em ultrassonografia
endovaginal com 14 semanas, deverá ser submetida
Provas
Questão presente nas seguintes provas
A hemorragia puerperal ainda é uma das principais causas
de morte materna em nosso meio e a conduta ativa no
secundamento é a maneira mais efetiva de evitá-la. Em uma
parturiente hipertensa, com feto em apresentação cefálica,
a conduta ativa é caracterizada pela administração de
Provas
Questão presente nas seguintes provas
Dentre as diferentes formas de apresentação fetais ao parto,
a que menos está sujeita às complicações do mecanismo
do parto é a com feto em apresentação
Provas
Questão presente nas seguintes provas
As várias alterações endometriais resultantes da adaptação
dos tecidos maternos à implantação são conhecidas como
Provas
Questão presente nas seguintes provas
A fase crítica do desenvolvimento embrionário, na qual
podem surgir diversas malformações congênitas quando o
embrião é exposto a agentes teratogênicos (fármacos,
infecções, radiações etc.) ocorre no período entre as
semanas de
Provas
Questão presente nas seguintes provas
Qual é o tratamento tópico de escolha para escabiose em
menores de 2 meses?
Provas
Questão presente nas seguintes provas
Cadernos
Caderno Container