Foram encontradas 272 questões.
De acordo com o Plano de Ações Estratégicas para o Enfrentamento das Doenças Crônicas e Agravos Não Transmissíveis no Brasil, 2021 – 2030, do Ministério da Saúde, a
Provas
Os indicadores de acidentes de trabalho geram indícios para a determinação de níveis de periculosidade por área profissional e são relevantes para a avaliação das doenças profissionais. Qual, dentre eles, é o mais acurado para medir a ocorrência de acidentes de trabalho, pois leva em conta o número de horas/homem trabalhadas?
Provas
Leia o caso clínico.
Um médico da atenção primária recebe um paciente com um ano de idade que apresenta quadro clínico que se encaixa, de acordo com o Ministério da Saúde, na seguinte definição de caso suspeito: “todo indivíduo que, independentemente do estado vacinal, apresente tosse de qualquer tipo, há 14 dias ou mais, associada a um ou mais dos seguintes sintomas: tosse paroxística; guincho inspiratório; vômitos pós tosse”.
Nesse caso, qual deve ser a conduta médica?
Provas
De acordo com a publicação do Ministério da Saúde intitulada Declaração de Óbito – Manual de Instruções para Preenchimento (2022), o médico
Provas
A injeção dos chamados agentes de preenchimento na submucosa da uretra é um método minimamente invasivo, disponível para tratar mulheres com
Provas
Leia o cas9 clínico que segue para responder às questões 72 a 74.
Um jovem previamente hígido de 22 anos dá entrada na emergência com dor em pontada no hemitórax esquerdo e febre após 3 dias de um quadro de gastroenterocolite aguda. Ao exame físico, apresentava com FC = 70bpm, PA 100x60mmHg e Temp. 37,8°. A dosagem laboratorial de troponina foi de 2.000ng/ml (VR < 0,04ng/ml) e o eletrocardiograma foi o seguinte:

Nesse caso, o tratamento adequado é o da indicação de
Provas
Leia o cas9 clínico que segue para responder às questões 72 a 74.
Um jovem previamente hígido de 22 anos dá entrada na emergência com dor em pontada no hemitórax esquerdo e febre após 3 dias de um quadro de gastroenterocolite aguda. Ao exame físico, apresentava com FC = 70bpm, PA 100x60mmHg e Temp. 37,8°. A dosagem laboratorial de troponina foi de 2.000ng/ml (VR < 0,04ng/ml) e o eletrocardiograma foi o seguinte:

Qual dos exames a seguir deverá ser solicitado nesse caso?
Provas
Leia o cas9 clínico que segue para responder às questões 72 a 74.
Um jovem previamente hígido de 22 anos dá entrada na emergência com dor em pontada no hemitórax esquerdo e febre após 3 dias de um quadro de gastroenterocolite aguda. Ao exame físico, apresentava com FC = 70bpm, PA 100x60mmHg e Temp. 37,8°. A dosagem laboratorial de troponina foi de 2.000ng/ml (VR < 0,04ng/ml) e o eletrocardiograma foi o seguinte:

O quadro clínico apresentado sugere como diagnóstico:
Provas
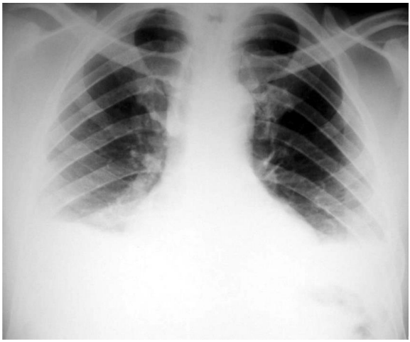
Leia o caso que segue para responder às questões 21 e 22.
Paciente do sexo masculino, 67 anos de idade, refere, há cerca de 3 meses, dispneia progressiva até moderados esforços, associada com tosse seca, ortopneia, dispneia paroxística noturna e edema de membros inferiores bilaterais. Nega febre, escarro e chiado no peito. Refere ter HAS (hipertensão arterial sistêmica), mas faz uso irregular de anti-hipertensivos. Ex-tabagista 20 maços/ano, abandonou o vício há 15 anos. Nega patologias pulmonares prévias. Ao exame está em regular estado geral, eupneico, saturação periférica de oxigênio 92% em ar ambiente, FC: 90bpm, FR: 20 irm, PA: 180x100mmHg; ausculta pulmonar: estertores finos bibasais; ausculta cardíaca: ritmo cardíaco regular, 2 tempos; membros edema bilateral simétrico de membros inferiores 3+/6+.
Vem na consulta com os seguintes resultados de exames:
Espirometria:
Pré-broncodilatador: CVF 3,30 (85%)-VEF1 3,20 (80%) – VEF1/CVF 88%
Pós-broncodilatador: CVF 3,40 (86%)- VEF1 3,22 (82%) -VEF1/CVF 85%
Raio-X de tórax

Qual deve ser a conduta inicial para esse paciente?
Provas
Leia o caso que segue para responder às questões 21 e 22.
Paciente do sexo masculino, 67 anos de idade, refere, há cerca de 3 meses, dispneia progressiva até moderados esforços, associada com tosse seca, ortopneia, dispneia paroxística noturna e edema de membros inferiores bilaterais. Nega febre, escarro e chiado no peito. Refere ter HAS (hipertensão arterial sistêmica), mas faz uso irregular de anti-hipertensivos. Ex-tabagista 20 maços/ano, abandonou o vício há 15 anos. Nega patologias pulmonares prévias. Ao exame está em regular estado geral, eupneico, saturação periférica de oxigênio 92% em ar ambiente, FC: 90bpm, FR: 20 irm, PA: 180x100mmHg; ausculta pulmonar: estertores finos bibasais; ausculta cardíaca: ritmo cardíaco regular, 2 tempos; membros edema bilateral simétrico de membros inferiores 3+/6+.
Vem na consulta com os seguintes resultados de exames:
Espirometria:
Pré-broncodilatador: CVF 3,30 (85%)-VEF1 3,20 (80%) – VEF1/CVF 88%
Pós-broncodilatador: CVF 3,40 (86%)- VEF1 3,22 (82%) -VEF1/CVF 85%
Raio-X de tórax

O diagnóstico mais provável para esse caso é de
Provas
Caderno Container