Foram encontradas 1.980 questões.
Segundo a norma regulamentadora 9-NR-9, o nível de ação para a avaliação da exposição ocupacional diária à vibração em mãos e braços corresponde a um valor de aceleração resultante de exposição normalizada (aren) de m/s²
Assinale a alternativa que preencha corretamente a lacuna.
Provas
Em relação às anomalias da região inguinal na criança, assinale a alternativa que apresenta uma conduta que seja atualmente recomendada.
Provas
São considerados sugestivos de Perda Auditiva Induzida por Níveis de Pressão Sonora Elevados (PAINPSE) os casos cujos audiogramas, nas frequências de 3.000 e/ou 4.000 e/ou 6.000 Hz, apresentem limiares auditivos acima de dB e mais elevados do que nas outras frequências testadas, estando estas comprometidas ou não, tanto no teste da via aérea quanto da via óssea, em um ou em ambos os lados.
Assinale a alternativa que preencha corretamente a lacuna.
Provas
Considerando as recomendações do Ministério da Saúde acerca da antibioticoterapia para casos de doença meningocócica, assinale a alternativa correta que contém o esquema proposto para adultos.
Provas
Em relação aos aspectos gerais da Gota, assinale a alternativa correta.
Provas
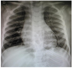
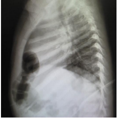
Menina de 1 ano apresenta tosse e coriza nasal hialina há 5 dias, sem febre. Exame físico: bom estado geral, frequência cardíaca de 120 bpm, frequência respiratória de 38 irpm, murmúrios vesiculares presentes e simétricos, com roncos transmitidos de vias aéreas superiores difusos. Antecedentes pessoais: 2 episódios de pneumonias tratadas ambulatorialmente, com 6 meses e 9 meses de idade. Raio x de tórax: imagens a seguir:


Assinale a alternativa que apresenta a principal hipótese diagnóstica.
Provas
A fibromialgia se caracteriza por síndrome de dor crônica generalizada, associada a etiologia e fisiopatologia complexas e não completamente compreendidas, com consequente alterações nas vias de modulação e processamento da dor, levando à sua sensibilização e amplificação, além de diversas outras interações biopsicossociais, com consequente prejuízo global da qualidade de vida, absenteísmo e menor produtividade no trabalho, além de maiores gastos com saúde, em relação à população normal. Logo, seu conhecimento e correto diagnóstico e manejo são fundamentais. Sobre o diagnóstico da fibromialgia, assinale a alternativa correta.
Provas
Considere os Indicadores Biológicos de Exposição Excessiva (IBE/EE) que constam na norma regulamentadora 7 – NR7. O indicador previsto na norma para a exposição ocupacional ao benzeno (CAS 71-43-2) é .
Assinale a alternativa que preencha corretamente a lacuna.
Provas
Sobre o tratamento da fibromialgia, assinale a alternativa correta.
Provas
Menina de 3 anos apresenta cisto na linha média cervical observado pela mãe há 1 ano. Nega episódios de infecção local e saída de secreção. Exame físico: cisto em linha média cervical, de localização infra-hioide, com aproximadamente 2 cm de diâmetro e que não se move com a protrusão da língua. Assinale a alternativa que apresenta a conduta mais adequada neste momento.
Provas
Caderno Container