Magna Concursos

Foram encontradas 1.980 questões.

2264519 Ano: 2022
Disciplina: Medicina
Banca: IBFC
Orgão: SES-DF

Sobre os pólipos da vesícula biliar, assinale a alternativa incorreta.

 

Provas

Questão presente nas seguintes provas
2264518 Ano: 2022
Disciplina: Medicina
Banca: IBFC
Orgão: SES-DF
Provas:

Sobre a avaliação nutricional na doença renal crônica, assinale a alternativa incorreta.

 

Provas

Questão presente nas seguintes provas
2264517 Ano: 2022
Disciplina: Medicina
Banca: IBFC
Orgão: SES-DF

Com base no caso clínico abaixo, responda as questões 70,71 e 72.

__Paciente de 4 anos com encefalopatia anóxica não progressiva, apresenta sialorréia importante. Você é chamado para avaliá-lo quanto às terapêuticas a serem instituídas.

O mesmo paciente foi avaliado por você e você verifica que ela se sente no chão quando colocada, mas tem dificuldade de manter alinhamento sem o uso das mãos para apoio. Locomove-se em curtas distâncias engatinhando. Assinale a alternativa correta quanto a sua classificação GMFCS (Gross Motor Function Scale).

 

Provas

Questão presente nas seguintes provas
2264516 Ano: 2022
Disciplina: Medicina
Banca: IBFC
Orgão: SES-DF

Assinale a alternativa que melhor descreve os achados tomográficos do acometimento hepático pela sarcoidose.

 

Provas

Questão presente nas seguintes provas
2264515 Ano: 2022
Disciplina: Medicina
Banca: IBFC
Orgão: SES-DF

Com base no caso clínico abaixo, responda as questões 70,71 e 72.

__Paciente de 4 anos com encefalopatia anóxica não progressiva, apresenta sialorréia importante. Você é chamado para avaliá-lo quanto às terapêuticas a serem instituídas.

Dentre as várias medidas possíveis de tratamento, analise as afirmativas abaixo e dê valores Verdadeiro (V) ou Falso (F).

( ) Amitriptilina.

( ) Escopolamina transdérmica.

( ) Atropina.

( ) Toxina botulínica do tipo A.

Assinale a alternativa que apresenta a sequência correta de cima para baixo.

 

Provas

Questão presente nas seguintes provas
2264514 Ano: 2022
Disciplina: Medicina
Banca: IBFC
Orgão: SES-DF

Assinale a alternativa que apresenta a tríade clássica da hemoglobinúria paroxística noturna.

 

Provas

Questão presente nas seguintes provas
2264513 Ano: 2022
Disciplina: Medicina
Banca: IBFC
Orgão: SES-DF
Provas:

Sobre suplementação vitamínica na doença renal crônica, analise as afirmativas abaixo. Considere as mais recentes diretrizes do Kidney Disease Outcomes Quality Initiative (KDOQI).

I. Em adultos com DRC 1-5D ou pós-transplante que têm em risco de deficiência de vitamina C, é razoável considerar a suplementação para atender à ingestão recomendada de pelo menos 90 mg/d para homens e 75 mg/d para mulheres.

II. Em adultos com DRC 3-5D ou pós-transplante que têm hiperomocisteinemia associada à doença renal, recomenda-se suplementar rotineiramente o folato.

III. Recomenda-se não suplementar rotineiramente vitaminas do complexo B, uma vez que não há evidências que demonstrem redução de desfechos adversos.

Estão corretas as afirmativas:

 

Provas

Questão presente nas seguintes provas
2264512 Ano: 2022
Disciplina: Medicina
Banca: IBFC
Orgão: SES-DF

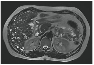
Analise a imagem de ressonância magnética ponderada em T2 e assinale o diagnóstico mais provável:

Enunciado 3406655-1

 

Provas

Questão presente nas seguintes provas
2264511 Ano: 2022
Disciplina: Medicina
Banca: IBFC
Orgão: SES-DF

Assinale a alternativa que apresenta o mecanismo de ação do anticoagulante dabigatrana.

 

Provas

Questão presente nas seguintes provas
2264510 Ano: 2022
Disciplina: Medicina
Banca: IBFC
Orgão: SES-DF
Provas:

As doses alvo diárias das medicações para tratamento efetivo de Demência da Doença de Alzheimer em fase moderada são:

 

Provas

Questão presente nas seguintes provas