Foram encontradas 100 questões.
Caso clínico para responder à questão.

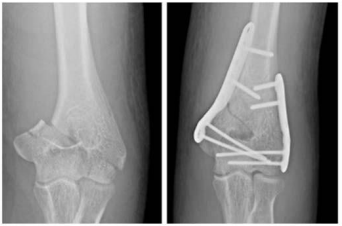
Um paciente de 30 anos de idade foi vítima de queda de árvore há cerca de um dia, sofrendo trauma no cotovelo esquerdo. Foi atendido no pronto-socorro e solicitadas as radiografias retratadas nas figuras.
Provas
Caso clínico para responder à questão.

Um paciente de 30 anos de idade foi vítima de queda de árvore há cerca de um dia, sofrendo trauma no cotovelo esquerdo. Foi atendido no pronto-socorro e solicitadas as radiografias retratadas nas figuras.
Provas
Caso clínico para responder à questão.

Um paciente de 30 anos de idade foi vítima de queda de árvore há cerca de um dia, sofrendo trauma no cotovelo esquerdo. Foi atendido no pronto-socorro e solicitadas as radiografias retratadas nas figuras.
Provas
Caso clínico para responder à questão.

Um paciente de 30 anos de idade foi vítima de queda de árvore há cerca de um dia, sofrendo trauma no cotovelo esquerdo. Foi atendido no pronto-socorro e solicitadas as radiografias retratadas nas figuras.
Provas
Caso clínico para responder à questão.

Um paciente de 30 anos de idade foi vítima de queda de árvore há cerca de um dia, sofrendo trauma no cotovelo esquerdo. Foi atendido no pronto-socorro e solicitadas as radiografias retratadas nas figuras.
Provas
Caso clínico para responder à questão.

Um paciente de 30 anos de idade foi vítima de queda de árvore há cerca de um dia, sofrendo trauma no cotovelo esquerdo. Foi atendido no pronto-socorro e solicitadas as radiografias retratadas nas figuras.
Provas
Caso clínico para responder à questão.

Um paciente de 30 anos de idade foi vítima de queda de árvore há cerca de um dia, sofrendo trauma no cotovelo esquerdo. Foi atendido no pronto-socorro e solicitadas as radiografias retratadas nas figuras.
Provas
Caso clínico para responder à questão.

Um paciente de 30 anos de idade foi vítima de queda de árvore há cerca de um dia, sofrendo trauma no cotovelo esquerdo. Foi atendido no pronto-socorro e solicitadas as radiografias retratadas nas figuras.
Provas
Caso clínico para responder à questão.

Um paciente de 30 anos de idade foi vítima de queda de árvore há cerca de um dia, sofrendo trauma no cotovelo esquerdo. Foi atendido no pronto-socorro e solicitadas as radiografias retratadas nas figuras.
Provas
Caso clínico para responder à questão.

Um paciente de 30 anos de idade foi vítima de queda de árvore há cerca de um dia, sofrendo trauma no cotovelo esquerdo. Foi atendido no pronto-socorro e solicitadas as radiografias retratadas nas figuras.
Provas
Caderno Container